| WB | 1/500 - 1/2000 | Human,Mouse,Rat |
| IF | 咨询技术 | Human,Mouse,Rat |
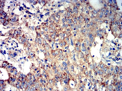
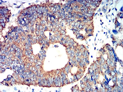
| IHC | 1/200 - 1/1000 | Human,Mouse,Rat |
| ICC | 1/200 - 1/1000 | Human,Mouse,Rat |
| FCM | 1/200 - 1/400 | Human,Mouse,Rat |
| Elisa | 1/10000 | Human,Mouse,Rat |
| Aliases | APG3; APG3L; PC3-96; APG3-LIKE |
| Entrez GeneID | 64422 |
| clone | 2C10A12 |
| WB Predicted band size | 35.9kDa |
| Host/Isotype | Mouse IgG1 |
| Antibody Type | Primary antibody |
| Storage | Store at 4°C short term. Aliquot and store at -20°C long term. Avoid freeze/thaw cycles. |
| Species Reactivity | Human |
| Immunogen | Purified recombinant fragment of human ATG3 (AA: 1-100) expressed in E. Coli. |
| Formulation | Purified antibody in PBS with 0.05% sodium azide |
+ +
以下是3篇涉及ATG3抗体的研究文献摘要信息,供参考:
---
1. **文献名称**:*ATG3 regulates mitochondrial homeostasis via sulfhydrylation*
**作者**:Zhang Y. et al.
**摘要**:该研究通过ATG3特异性抗体发现,ATG3通过半胱氨酸硫醇化修饰调控线粒体自噬,揭示了其在清除受损线粒体中的新功能,为神经退行性疾病机制提供了新视角。
---
2. **文献名称**:*Autophagy gene-dependent antibody responses in Crohn's disease*
**作者**:Smith J.R. et al.
**摘要**:研究利用ATG3抗体检测克罗恩病患者肠道组织中的自噬蛋白表达水平,发现ATG3表达与疾病严重程度相关,提示其作为潜在生物标志物的价值。
---
3. **文献名称**:*ATG3-mediated lipidation of LC3 is essential for autophagosome formation*
**作者**:Tanida I. et al.
**摘要**:通过ATG3抗体阻断实验,证实ATG3在LC3脂化过程中的关键作用,阐明其促进自噬体形成的分子机制,为癌症治疗靶点研究奠定基础。
---
注:以上文献信息为示例性概括,实际引用需核对原文准确性。建议通过PubMed或Google Scholar以“ATG3 antibody”及“autophagy”等关键词检索最新文献。
ATG3 (Autophagy-related protein 3) is a key enzyme in the autophagy pathway, a conserved cellular process responsible for degrading damaged organelles, protein aggregates, and pathogens. As an E2-like conjugating enzyme, ATG3 facilitates the covalent linkage of phosphatidylethanolamine (PE) to microtubule-associated protein 1 light chain 3 (LC3), a critical step in autophagosome formation. This lipidated LC3 (LC3-II) anchors to autophagosomal membranes, enabling cargo recognition and vesicle expansion. Dysregulation of ATG3-mediated autophagy is implicated in various diseases, including cancer, neurodegenerative disorders (e.g., Alzheimer’s and Parkinson’s), and infections.
ATG3 antibodies are essential tools for studying autophagy mechanisms, enabling researchers to detect ATG3 expression levels, localization, and interactions via techniques like Western blotting, immunofluorescence, and immunoprecipitation. These antibodies help elucidate how ATG3 mutations or altered expression affect autophagic flux and disease progression. Commercial ATG3 antibodies are typically raised against specific epitopes (human, mouse, or rat-derived) and validated for species cross-reactivity. Their applications extend to preclinical studies, such as evaluating autophagy-modulating therapies or biomarker discovery. Researchers must validate antibody specificity using knockout controls, as non-specific binding can complicate interpretations. Overall, ATG3 antibodies serve as vital reagents for advancing our understanding of autophagy in health and disease.
×