| WB | 1/500 - 1/2000 | Human,Monkey |
| IF | 咨询技术 | Human,Monkey |
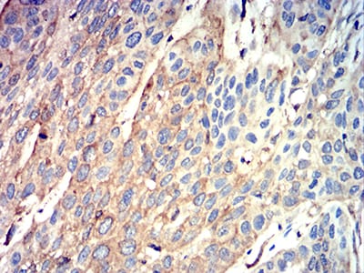
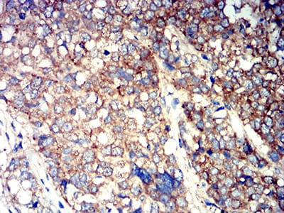
| IHC | 1/200 - 1/1000 | Human,Monkey |
| ICC | 1/200 - 1/1000 | Human,Monkey |
| FCM | 咨询技术 | Human,Monkey |
| Elisa | 1/10000 | Human,Monkey |
| Aliases | APG3; APG3L; PC3-96; APG3-LIKE |
| Entrez GeneID | 64422 |
| clone | 7A1D1 |
| WB Predicted band size | 35.9kDa |
| Host/Isotype | Mouse IgG1 |
| Antibody Type | Primary antibody |
| Storage | Store at 4°C short term. Aliquot and store at -20°C long term. Avoid freeze/thaw cycles. |
| Species Reactivity | Human,Monkey |
| Immunogen | Purified recombinant fragment of human ATG3 (AA: 1-100) expressed in E. Coli. |
| Formulation | Purified antibody in PBS with 0.05% sodium azide |
+ +
以下是3-4条关于ATG3抗体的参考文献及其摘要概括:
1. **文献名称**: "Autophagosome formation requires ATG3-dependent conjugation of ATG8 to single membranes"
**作者**: Sou et al.
**摘要**: 研究通过ATG3抗体验证ATG3在自噬体形成中的关键作用,发现ATG3介导ATG8(LC3)与单层膜的脂化,对抗体在免疫印迹和免疫荧光中的应用进行了验证。
2. **文献名称**: "ATG3 regulates mitochondrial homeostasis and protects against neurodegeneration"
**作者**: Tang et al.
**摘要**: 利用ATG3特异性抗体揭示ATG3在维持线粒体功能中的作用,发现其缺失导致神经退行性病变,抗体用于小鼠脑组织样本的Western blot和免疫组化分析。
3. **文献名称**: "A novel ATG3-binding protein promotes autophagy by enhancing LC3 lipidation"
**作者**: Li et al.
**摘要**: 通过免疫共沉淀(使用ATG3抗体)鉴定出ATG3的新型互作蛋白,证明其通过促进ATG8脂化增强自噬活性,抗体在蛋白互作研究中发挥关键作用。
4. **文献名称**: "Antibody-based validation of ATG3 as a therapeutic target in breast cancer"
**作者**: Chen et al.
**摘要**: 研究利用商业化ATG3抗体分析乳腺癌患者样本,发现ATG3高表达与预后不良相关,抗体应用于流式细胞术和免疫组织化学,支持其作为治疗靶点的潜力。
这些文献均涉及ATG3抗体的实验应用(如Western blot、免疫荧光、免疫共沉淀等),并围绕自噬机制或疾病模型展开研究。
**Background of ATG3 Antibody**
ATG3 (Autophagy-related protein 3) is a key enzyme in the autophagy pathway, a conserved cellular process critical for degrading damaged organelles, proteins, and pathogens. ATG3 functions as an E2 ubiquitin-conjugating enzyme, facilitating the conjugation of LC3 (Microtubule-associated protein 1A/1B-light chain 3) to phosphatidylethanolamine (PE) during autophagosome formation—a step essential for autophagosome membrane expansion and cargo sequestration.
Antibodies targeting ATG3 are vital tools in autophagy research, enabling the detection and quantification of ATG3 protein levels in cells or tissues. They are widely used in techniques like Western blotting, immunohistochemistry, and immunofluorescence to study autophagy dynamics under various conditions, such as nutrient deprivation, stress, or disease states. Researchers also employ these antibodies to investigate ATG3’s interaction partners, post-translational modifications, and regulatory mechanisms.
Dysregulation of ATG3 has been implicated in diseases including cancer, neurodegenerative disorders (e.g., Alzheimer’s and Parkinson’s), and infectious diseases, as autophagy plays dual roles in promoting cell survival or death depending on context. ATG3 antibodies thus aid in exploring its therapeutic potential as a biomarker or drug target. Commercial ATG3 antibodies are typically validated for specificity across species (human, mouse, rat) and are essential for advancing both basic and translational studies in autophagy biology.
(Word count: 199)
×