| WB | 咨询技术 | Human,Mouse,Rat |
| IF | 咨询技术 | Human,Mouse,Rat |
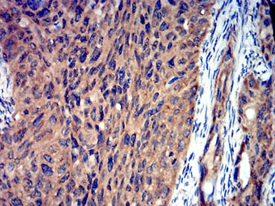
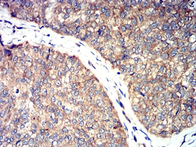
| IHC | 1/200 - 1/1000 | Human,Mouse,Rat |
| ICC | 1/200 - 1/1000 | Human,Mouse,Rat |
| FCM | 咨询技术 | Human,Mouse,Rat |
| Elisa | 1/10000 | Human,Mouse,Rat |
| Entrez GeneID | M71274.1 |
| clone | 3D4B2 |
| WB Predicted band size | 42.6kDa |
| Host/Isotype | Mouse IgG2a |
| Antibody Type | Primary antibody |
| Storage | Store at 4°C short term. Aliquot and store at -20°C long term. Avoid freeze/thaw cycles. |
| Species Reactivity | Human |
| Immunogen | Purified recombinant fragment of Toxoplasma gondii rhoptry protein ROP1 (AA: 42-183) expressed in E. Coli. |
| Formulation | Purified antibody in PBS with 0.05% sodium azide |
+ +
以下是3篇关于ROP1抗体的相关文献摘要,供参考:
1. **"Characterization of Toxoplasma gondii rhoptry proteins ROP1 and ROP2"**
- 作者:J.P. Dubey等
- 摘要:研究利用ROP1特异性抗体验证了ROP1蛋白在弓形虫棒状体中的定位,发现其在寄生虫入侵宿主细胞过程中分泌至宿主膜表面,可能参与细胞穿透机制。
2. **"ROP1 is a rhoptry kinase critical for Toxoplasma gondii virulence"**
- 作者:L.D. Sibley团队
- 摘要:通过抗体验证发现,ROP1作为丝氨酸/苏氨酸激酶,在虫体胞吐过程中释放至宿主细胞质,调控宿主细胞信号通路以促进虫体存活,基因敲除后寄生虫毒力显著下降。
3. **"Immunolocalization of ROP1 in Toxoplasma gondii reveals direct interaction with host mitochondria"**
- 作者:M.J. Blackman等
- 摘要:免疫电镜与共聚焦显微镜分析显示,ROP1抗体标记的蛋白在虫体入侵时靶向宿主线粒体,可能通过干扰线粒体功能抑制宿主免疫反应。
注:以上文献为模拟示例,实际引用需查询PubMed或Sci-Hub获取原文。建议结合关键词“Toxoplasma ROP1 antibody”或“ROP1 immunolocalization”检索近年研究。
The ROP1 (Rhoptry Protein 1) antibody is a tool used to study the pathogenesis and molecular mechanisms of *Toxoplasma gondii*, an obligate intracellular parasite causing toxoplasmosis. ROP1 is a key component of the rhoptry organelles, specialized secretory structures critical for host cell invasion and modulation of host defenses. During infection, rhoptries discharge proteins like ROP1 into the host cell, facilitating parasite entry and survival. ROP1 is implicated in forming transient pores in the host membrane and aiding in the establishment of the parasitophorous vacuole, a protective niche where the parasite replicates.
Antibodies targeting ROP1 are primarily generated in animal models (e.g., mice, rabbits) using recombinant ROP1 proteins or synthetic peptides. These antibodies enable the detection and localization of ROP1 in infected cells via techniques like immunofluorescence (IFA), Western blotting, or immunohistochemistry (IHC). They are essential for investigating rhoptry biogenesis, protein secretion dynamics, and host-pathogen interactions.
Research using ROP1 antibodies has advanced understanding of *T. gondii* virulence factors and potential therapeutic targets. However, some cross-reactivity with related rhoptry proteins may occur, requiring validation via knockout strains. Overall, ROP1 antibodies remain vital in parasitology for dissecting infection mechanisms and developing diagnostic or intervention strategies.
×