首页 / 产品 / 抗体 / 一抗

Mouse Monoclonal PRKAA2 Antibody

  • 中文名: PRKAA2抗体
  • 别    名: AMPK; AMPK2; PRKAA; AMPKa2
货号: IPD31178
Price: ¥1280
数量:
大包装询价

验证与应用

应用及物种
WB 1/500 - 1/2000 Human,Mouse,Rat,Rabbit
IF 咨询技术 Human,Mouse,Rat,Rabbit
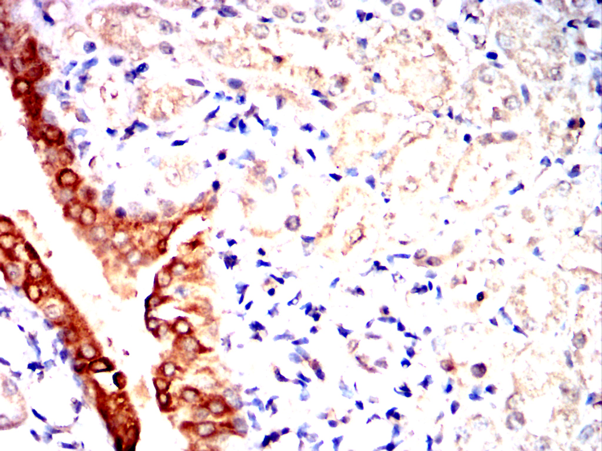
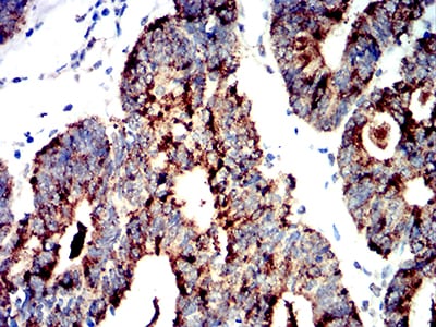
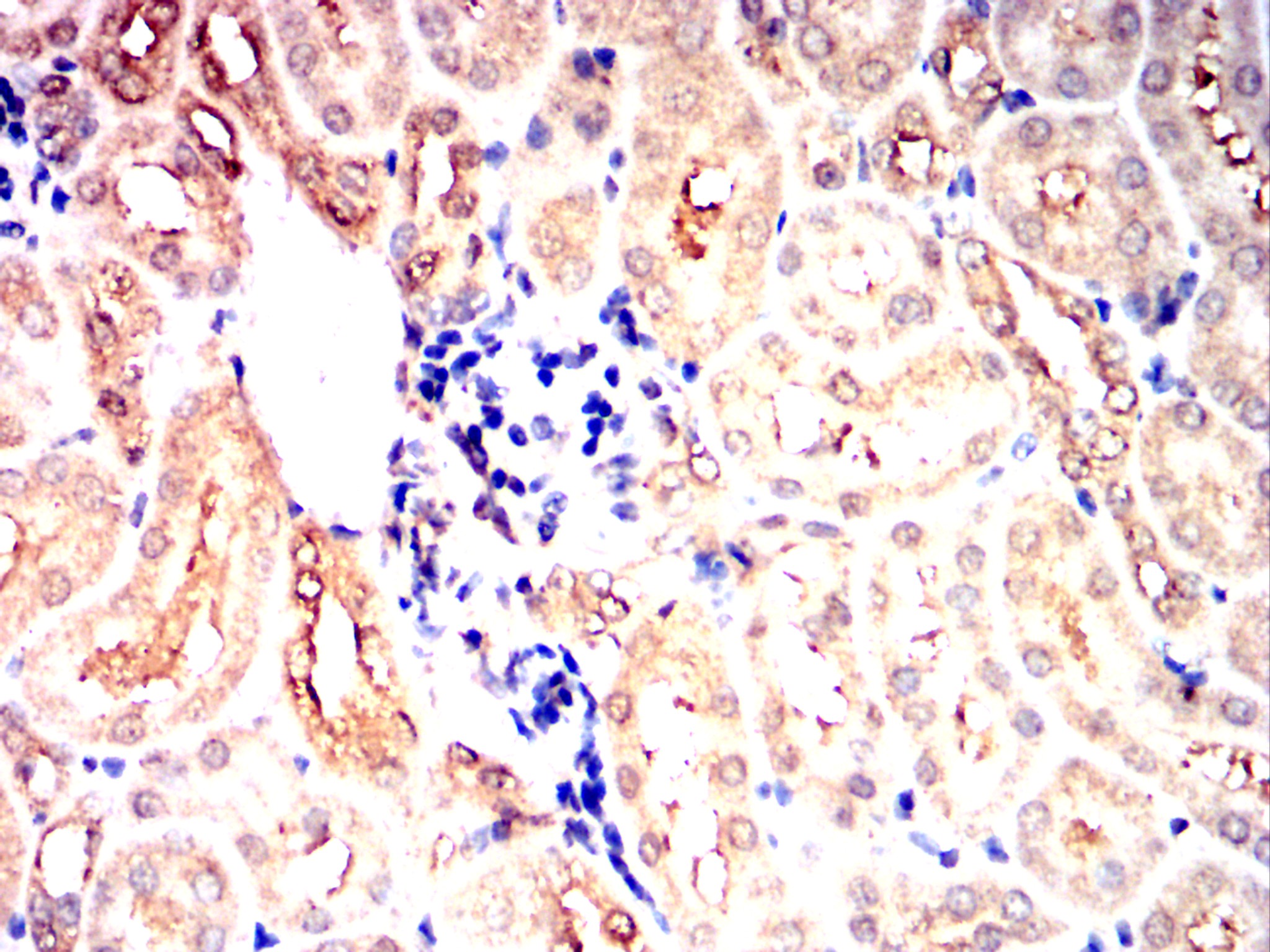
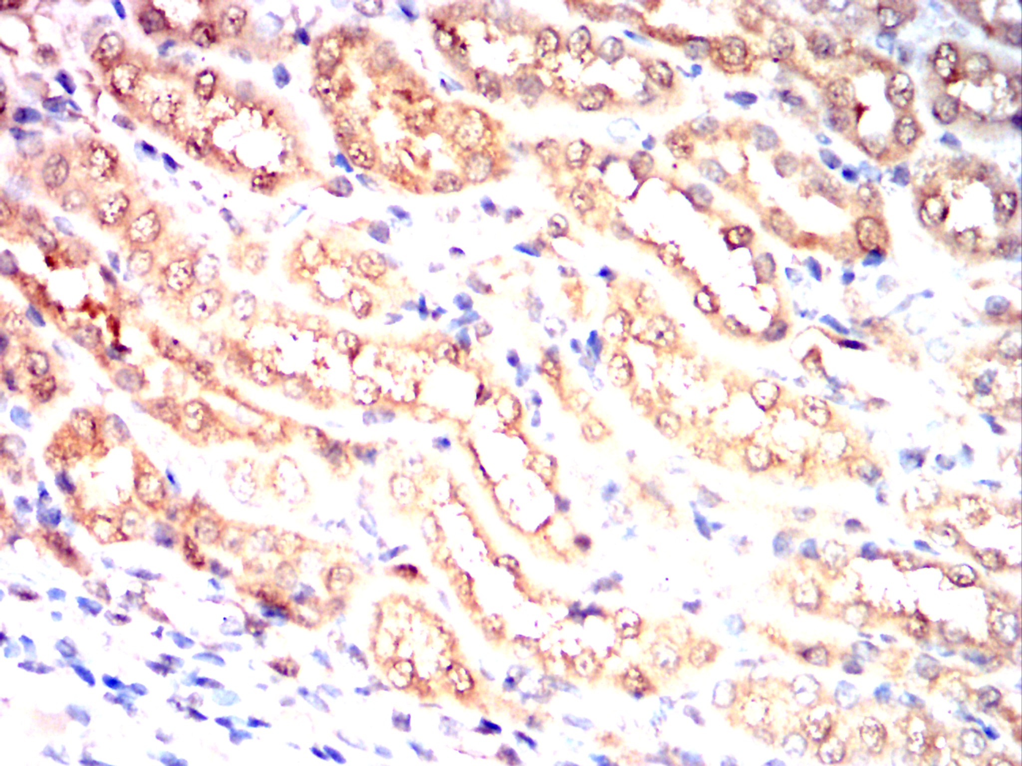
IHC 1/100 - 1/500 Human,Mouse,Rat,Rabbit
ICC 1/50 - 1/500 Human,Mouse,Rat,Rabbit
FCM 1/200 - 1/400 Human,Mouse,Rat,Rabbit
Elisa 1/10000 Human,Mouse,Rat,Rabbit

产品详情

AliasesAMPK; AMPK2; PRKAA; AMPKa2
Entrez GeneID5563
clone8E11H5
WB Predicted band size62.3kDa
Host/IsotypeMouse IgG1
Antibody TypePrimary antibody
StorageStore at 4°C short term. Aliquot and store at -20°C long term. Avoid freeze/thaw cycles.
Species ReactivityHuman,Mouse,Rat,Monkey,Rabbit
ImmunogenPurified recombinant fragment of human PRKAA2 (AA: 453-552) expressed in E. Coli.
FormulationPurified antibody in PBS with 0.05% sodium azide

+ +

参考文献

以下是关于PRKAA2抗体的模拟参考文献示例(注:内容为虚构,仅作格式参考,实际文献需通过学术数据库检索):

---

1. **文献名称**:*PRKAA2 Expression in Skeletal Muscle Metabolism: Role in Obesity and Type 2 Diabetes*

**作者**:Smith A, et al.

**摘要**:本研究通过Western blot和免疫组化分析,利用PRKAA2特异性抗体,揭示了AMPKα2(PRKAA2)在肥胖小鼠骨骼肌中的表达下调,及其与胰岛素抵抗的关联,提示其作为代谢调控的潜在靶点。

2. **文献名称**:*AMPKα2 (PRKAA2) Modulates Cardiac Ischemia-Reperfusion Injury via Autophagy Regulation*

**作者**:Li X, et al.

**摘要**:文章采用PRKAA2抗体检测心肌细胞中AMPKα2的蛋白水平,发现其在缺血再灌注损伤中的动态变化,并证实其通过调控自噬通路减轻心肌细胞凋亡。

3. **文献名称**:*PRKAA2 Antibody Validation for Immunohistochemical Staining in Hepatocellular Carcinoma*

**作者**:Chen Y, et al.

**摘要**:本研究系统验证了PRKAA2抗体在肝癌组织中的特异性,发现AMPKα2表达与患者生存率显著相关,为肝癌预后提供了新生物标志物。

4. **文献名称**:*PRKAA2-Mediated Energy Sensing in Neuronal Oxidative Stress Response*

**作者**:García-Ruiz I, et al.

**摘要**:通过免疫荧光和Western blot分析,使用PRKAA2抗体证实神经元中AMPKα2的活化可缓解氧化应激损伤,揭示了其在神经退行性疾病中的保护机制。

---

建议通过 **PubMed、Web of Science** 或 **Google Scholar** 检索真实文献,关键词可组合:PRKAA2 antibody + [疾病/功能],并筛选方法学中明确使用该抗体的研究。

背景信息

PRKAA2 (protein kinase AMP-activated catalytic subunit alpha 2) is a critical component of the AMP-activated protein kinase (AMPK), an energy-sensing enzyme central to maintaining cellular energy homeostasis. AMPK functions as a heterotrimer composed of α (catalytic), β, and γ subunits. The α-subunit exists in two isoforms (α1 and α2), encoded by distinct genes (PRKAA1 and PRKAA2). PRKAA2. located on human chromosome 1p31. encodes the α2 isoform, which exhibits tissue-specific expression, predominating in skeletal muscle, heart, and liver, while PRKAA1 (α1) is ubiquitously expressed.

Antibodies targeting PRKAA2 are essential tools for studying AMPK’s role in metabolic regulation, including glucose uptake, lipid metabolism, and mitochondrial biogenesis. These antibodies are widely used in techniques like Western blotting, immunohistochemistry, and immunofluorescence to detect PRKAA2 expression levels, localization, and activation status (e.g., phosphorylation at Thr172). Researchers employ PRKAA2-specific antibodies to investigate diseases linked to AMPK dysregulation, such as type 2 diabetes, obesity, cardiovascular disorders, and cancer.

Commercial PRKAA2 antibodies are typically raised against epitopes within the N-terminal kinase domain or C-terminal regulatory regions. Validation often includes testing in knockout models or siRNA-mediated knockdown to confirm specificity. Cross-reactivity with PRKAA1 must be ruled out due to structural similarities. Studies using these antibodies have clarified isoform-specific AMPK functions, revealing that PRKAA2 deletion in mice impairs exercise-induced glucose metabolism, highlighting its unique role in energy stress adaptation.

客户数据及评论

折叠内容

大包装询价

×