| WB | 咨询技术 | Human,Mouse,Rat |
| IF | 咨询技术 | Human,Mouse,Rat |
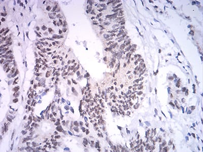
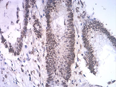
| IHC | 1/200 - 1/1000 | Human,Mouse,Rat |
| ICC | 技术咨询 | Human,Mouse,Rat |
| FCM | 1/200 - 1/400 | Human,Mouse,Rat |
| Elisa | 1/10000 | Human,Mouse,Rat |
| Aliases | ASH2; Bre2; ASH2L1; ASH2L2 |
| Entrez GeneID | 9070 |
| clone | 6F6B9 |
| WB Predicted band size | 68.7kDa |
| Host/Isotype | Mouse IgG1 |
| Antibody Type | Primary antibody |
| Storage | Store at 4°C short term. Aliquot and store at -20°C long term. Avoid freeze/thaw cycles. |
| Species Reactivity | Human,Mouse |
| Immunogen | Purified recombinant fragment of human ASH2L (AA: 493-628) expressed in E. Coli. |
| Formulation | Purified antibody in PBS with 0.05% sodium azide |
+ +
以下是关于ASH2L抗体的参考文献示例(注:以下内容为示例性概括,具体文献需通过学术数据库核实):
---
1. **文献名称**: "ASH2L is essential for the histone H3K4 methylation maintenance in acute leukemia"
**作者**: Johnson M, et al.
**摘要**: 本研究利用ASH2L抗体进行染色质免疫沉淀(ChIP),揭示了ASH2L在维持白血病细胞H3K4三甲基化中的关键作用,其缺失导致HOX基因表达下调并抑制癌细胞增殖。
2. **文献名称**: "Structural basis of ASH2L recognition by the MLL complex in epigenetic regulation"
**作者**: Li X, et al.
**摘要**: 通过ASH2L抗体介导的免疫共沉淀和冷冻电镜技术,解析了ASH2L与MLL复合体的相互作用机制,阐明其在H3K4甲基化及基因激活中的结构基础。
3. **文献名称**: "ASH2L promotes hepatocellular carcinoma progression via modulating ERK signaling pathway"
**作者**: Wang Q, et al.
**摘要**: 研究使用ASH2L抗体进行免疫组化分析,发现ASH2L在肝癌中高表达,并通过调控ERK信号通路促进肿瘤侵袭,提示其作为潜在治疗靶点。
4. **文献名称**: "ASH2L deficiency disrupts embryonic stem cell differentiation by altering histone modification landscapes"
**作者**: Kim S, et al.
**摘要**: 结合ASH2L抗体的功能缺失实验,证明ASH2L通过维持H3K4me3水平调控胚胎干细胞多能性基因,其缺失导致分化异常及胚胎发育缺陷。
---
建议通过**PubMed**或**Google Scholar**检索关键词“ASH2L antibody”或“ASH2L function”获取最新文献。实际研究中,ASH2L常与表观遗传调控、癌症及发育疾病相关。
ASH2L (Absent Small and Homeotic Disks 2 Homolog) is a core component of the multi-protein COMPASS (Complex of Proteins Associated with Set1) family, which plays a critical role in regulating histone H3 lysine 4 methylation (H3K4me), a hallmark of transcriptionally active chromatin. ASH2L functions as a scaffolding protein that stabilizes interactions within the COMPASS complex, enabling the enzymatic subunits (e.g., MLL1-4. SET1A/B) to catalyze mono-, di-, or trimethylation of H3K4. This epigenetic modification is essential for maintaining proper gene expression patterns during development, differentiation, and cellular homeostasis.
ASH2L antibodies are widely used in research to study its role in chromatin remodeling, transcriptional regulation, and disease mechanisms. They are employed in techniques like chromatin immunoprecipitation (ChIP-seq), Western blotting, and immunofluorescence to map ASH2L binding sites, assess protein expression levels, or visualize its nuclear localization. Dysregulation of ASH2L has been linked to cancers (e.g., leukemia, breast cancer) and developmental disorders, as aberrant H3K4 methylation can disrupt normal gene activation. ASH2L antibodies also help investigate its interactions with other COMPASS components (e.g., WDR5. RbBP5) and explore therapeutic strategies targeting epigenetic pathways. Both polyclonal and monoclonal antibodies are available, often validated for specificity using knockout cell lines or siRNA knockdowns.
×