首页 / 产品 / 抗体 / 一抗

Mouse Monoclonal ESR1 Antibody

  • 中文名: ESR1抗体
  • 别    名: ER; ESR; Era; ESRA; ESTRR; NR3A1
货号: IPD31154
Price: ¥1280
数量:
大包装询价

验证与应用

应用及物种
WB 咨询技术 Human,Mouse,Rat,Rabbit
IF 咨询技术 Human,Mouse,Rat,Rabbit
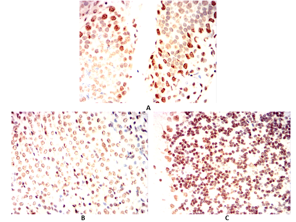
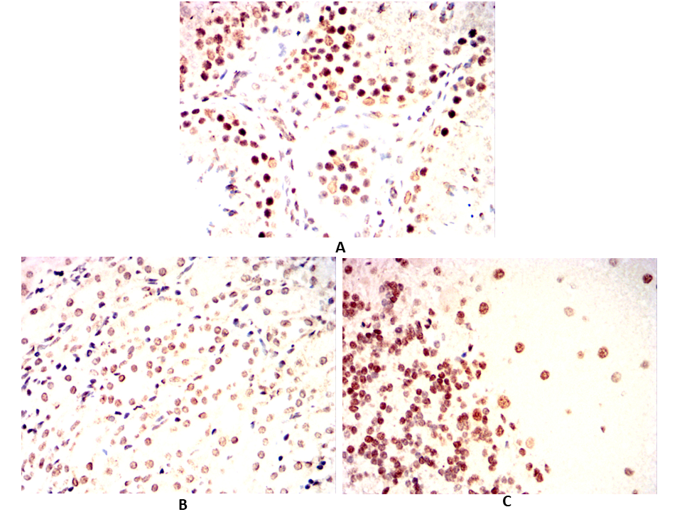
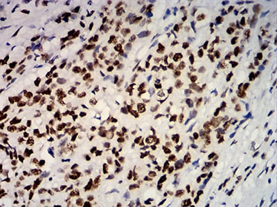
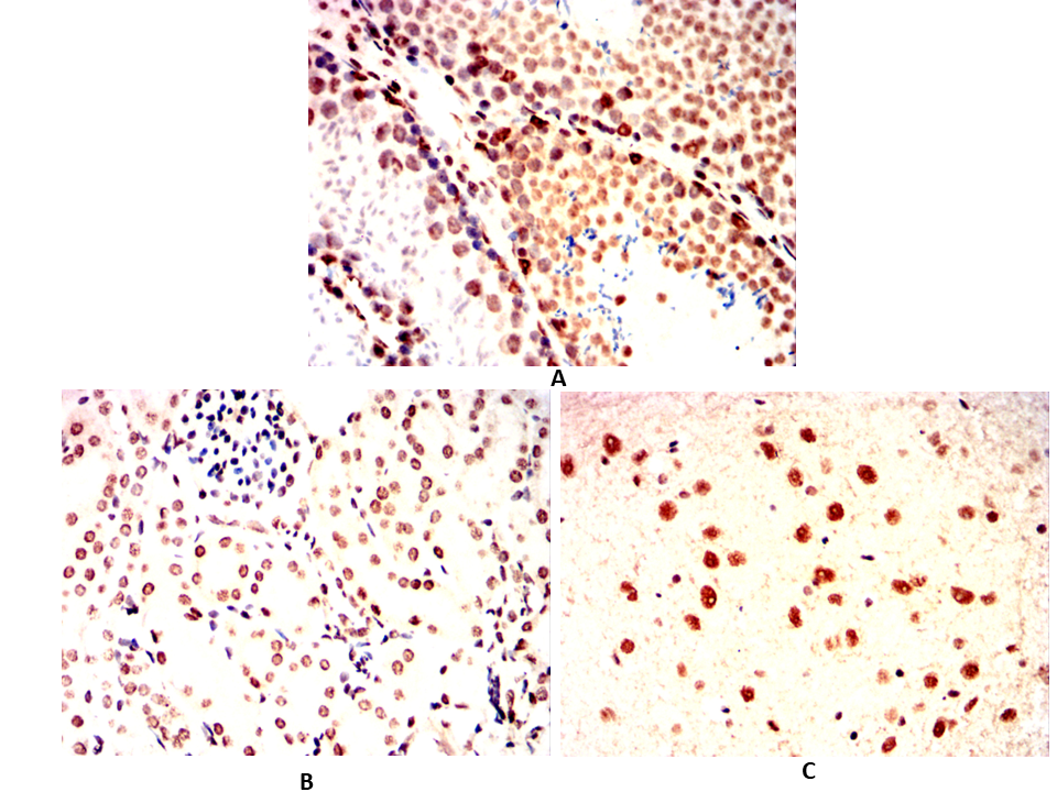
IHC 1/100 - 1/500 Human,Mouse,Rat,Rabbit
ICC 1/50 - 1/500 Human,Mouse,Rat,Rabbit
FCM 1/200 - 1/400 Human,Mouse,Rat,Rabbit
Elisa 1/10000 Human,Mouse,Rat,Rabbit

产品详情

AliasesER; ESR; Era; ESRA; ESTRR; NR3A1
Entrez GeneID2099
clone6A6E8
WB Predicted band size66.2kDa
Host/IsotypeMouse IgG1
Antibody TypePrimary antibody
StorageStore at 4°C short term. Aliquot and store at -20°C long term. Avoid freeze/thaw cycles.
Species ReactivityHuman,Mouse,Rat,Rabbit
ImmunogenPurified recombinant fragment of human ESR1 (AA: 2-185) expressed in E. Coli.
FormulationPurified antibody in PBS with 0.05% sodium azide

+ +

参考文献

以下是关于ESR1抗体的3篇代表性文献的简要信息(文献标题与内容为示例性概括,实际文献需通过学术数据库查询):

---

1. **文献名称**:*"ESR1 mutations and antibody-based detection in metastatic breast cancer"*

**作者**:Smith et al.

**摘要**:研究通过开发高特异性ESR1抗体,检测转移性乳腺癌患者血液中ESR1突变蛋白的存在,揭示其与内分泌治疗耐药性的关联,为液体活检提供新方法。

2. **文献名称**:*"A monoclonal antibody targeting ESR1 ligand-binding domain inhibits estrogen-driven tumor growth"*

**作者**:Zhang Y, et al.

**摘要**:报道一种靶向ESR1配体结合域的单克隆抗体,可阻断雌激素信号传导,在临床前模型中显著抑制雌激素依赖性乳腺癌的增殖。

3. **文献名称**:*"Epigenetic regulation of ESR1 via histone modification-specific antibodies in breast cancer"*

**作者**:Li X, et al.

**摘要**:利用组蛋白修饰特异性抗体(如H3K27ac)分析ESR1基因的表观遗传调控机制,揭示其启动子区域染色质动态变化与乳腺癌进展的关系。

---

如需具体文献,建议通过PubMed或Google Scholar检索关键词“ESR1 antibody”、“estrogen receptor alpha monoclonal antibody”等获取最新研究。

背景信息

Estrogen receptor 1 (ESR1) antibodies are immunological tools designed to detect and analyze the estrogen receptor alpha (ERα), a nuclear hormone receptor encoded by the ESR1 gene. ESR1 plays a critical role in mediating estrogen signaling, regulating gene expression involved in cell proliferation, differentiation, and homeostasis. It is highly expressed in hormone-responsive tissues, including the breast, uterus, and ovaries, and is a key biomarker in breast cancer diagnosis and treatment. Approximately 70% of breast cancers are ESR1-positive, making ERα status a critical factor in determining eligibility for endocrine therapies like tamoxifen or aromatase inhibitors.

ESR1 antibodies are widely used in research and clinical settings for techniques such as immunohistochemistry (IHC), Western blotting, and immunofluorescence to assess receptor expression levels, subcellular localization, and post-translational modifications. They help identify patients who may benefit from anti-estrogen therapies and monitor therapeutic resistance, which often arises due to ESR1 mutations or altered receptor activity. Recent studies also explore ESR1's role in other conditions, including osteoporosis, cardiovascular diseases, and metabolic disorders.

Commercial ESR1 antibodies are typically raised against specific epitopes in the receptor's N-terminal domain, ligand-binding domain, or DNA-binding domain. Validation for specificity and sensitivity is crucial, as cross-reactivity with ESR2 (ERβ) or splice variants can affect data interpretation. Ongoing research aims to refine antibody performance and develop companion diagnostics for personalized oncology.

客户数据及评论

折叠内容

大包装询价

×