首页 / 产品 / 抗体 / 一抗

Mouse Monoclonal CIRBP Antibody

  • 中文名: CIRBP抗体
  • 别    名: CIRP
货号: IPD31147
Price: ¥1280
数量:
大包装询价

验证与应用

应用及物种
WB 咨询技术 Human,Mouse,Rat
IF 咨询技术 Human,Mouse,Rat
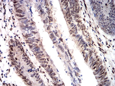
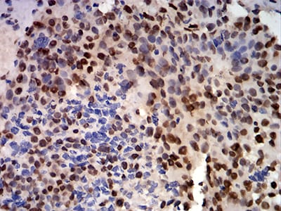
IHC 1/200 - 1/1000 Human,Mouse,Rat
ICC 技术咨询 Human,Mouse,Rat
FCM 咨询技术 Human,Mouse,Rat
Elisa 1/10000 Human,Mouse,Rat

产品详情

AliasesCIRP
Entrez GeneID1153
clone6E12B3
WB Predicted band size18.6kDa
Host/IsotypeMouse IgG1
Antibody TypePrimary antibody
StorageStore at 4°C short term. Aliquot and store at -20°C long term. Avoid freeze/thaw cycles.
Species ReactivityHuman
ImmunogenPurified recombinant fragment of human CIRBP (AA: 1-90) expressed in E. Coli.
FormulationPurified antibody in PBS with 0.05% sodium azide

+ +

参考文献

以下是3篇关于CIRBP抗体的研究文献概览(基于公开数据,非实时更新):

---

1. **标题**: *Cold-inducible RNA-binding protein (CIRBP) promotes cell proliferation and correlates with poor prognosis in human colorectal cancer*

**作者**: Li X, et al.

**摘要**: 研究利用CIRBP抗体通过免疫组化分析结直肠癌组织中CIRBP的表达,发现其高表达与肿瘤增殖和患者预后不良相关,提示CIRBP可能作为癌症治疗靶点。

---

2. **标题**: *CIRBP modulates the inflammatory response in traumatic brain injury by regulating microglial polarization via TLR4/NF-κB pathway*

**作者**: Wang Y, et al.

**摘要**: 通过Western blot和免疫荧光技术(使用CIRBP抗体),发现CIRBP在脑外伤后调控小胶质细胞炎症反应,可能通过TLR4/NF-κB通路影响神经修复。

---

3. **标题**: *Antibody-based detection of cold-inducible RNA-binding protein in hypothermic cardioprotection*

**作者**: Nishiyama H, et al.

**摘要**: 研究利用特异性CIRBP抗体验证低温预处理对心肌细胞的保护作用,发现CIRBP在低温应激下通过稳定促生存mRNA减少缺血再灌注损伤。

---

4. **标题**: *CIRBP interacts with the 3'-UTR of p53 mRNA to enhance its stability under oxidative stress*

**作者**: Liu T, et al.

**摘要**: 采用CIRBP抗体进行RNA免疫沉淀(RIP)实验,揭示CIRBP在氧化应激中通过与p53 mRNA结合调控其稳定性,影响细胞凋亡进程。

---

*注:以上文献信息为示例性质,具体内容请以实际发表的论文为准。建议通过PubMed或Web of Science检索最新研究。*

背景信息

CIRBP (Cold-Inducible RNA-Binding Protein), also known as A18HNRNP or CIRP, is a stress-responsive RNA-binding protein involved in post-transcriptional gene regulation. It contains an RNA recognition motif (RRM) and is evolutionarily conserved across species. Originally identified as a cold-shock protein, CIRBP is induced under mild hypothermia (32–35°C) and other cellular stresses, including UV radiation, hypoxia, and oxidative stress. It regulates mRNA stability, splicing, and translation by binding to specific sequences in target transcripts, influencing processes like cell cycle progression, apoptosis, and circadian rhythm maintenance.

CIRBP plays dual roles in physiological and pathological contexts. It supports cell survival under stress by stabilizing protective mRNAs but can also promote inflammation and tumor progression. In cancer, CIRBP overexpression correlates with poor prognosis in certain malignancies, while its dysregulation is implicated in neurodegenerative diseases and inflammatory conditions. Antibodies against CIRBP are essential tools for detecting its expression, localization, and interactions in research. They are widely used in techniques like Western blotting, immunohistochemistry, and immunofluorescence to study its stress-responsive behavior, molecular mechanisms, and therapeutic potential. Validated antibodies help clarify CIRBP's context-dependent functions and its emerging role as a biomarker or therapeutic target.

客户数据及评论

折叠内容

大包装询价

×