首页 / 产品 / 抗体 / 一抗

Mouse Monoclonal P2RX7 Antibody

  • 中文名: P2RX7抗体
  • 别    名: P2X7
货号: IPD31128
Price: ¥1280
数量:
大包装询价

验证与应用

应用及物种
WB 咨询技术 Human,Mouse,Rabbit
IF 咨询技术 Human,Mouse,Rabbit
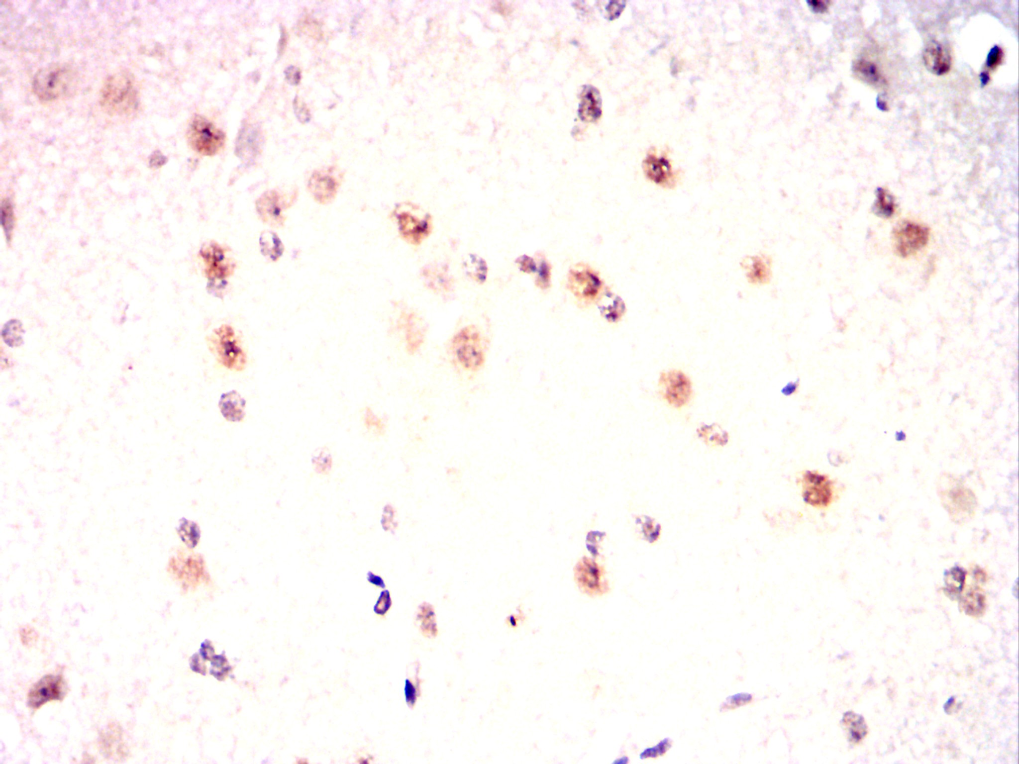
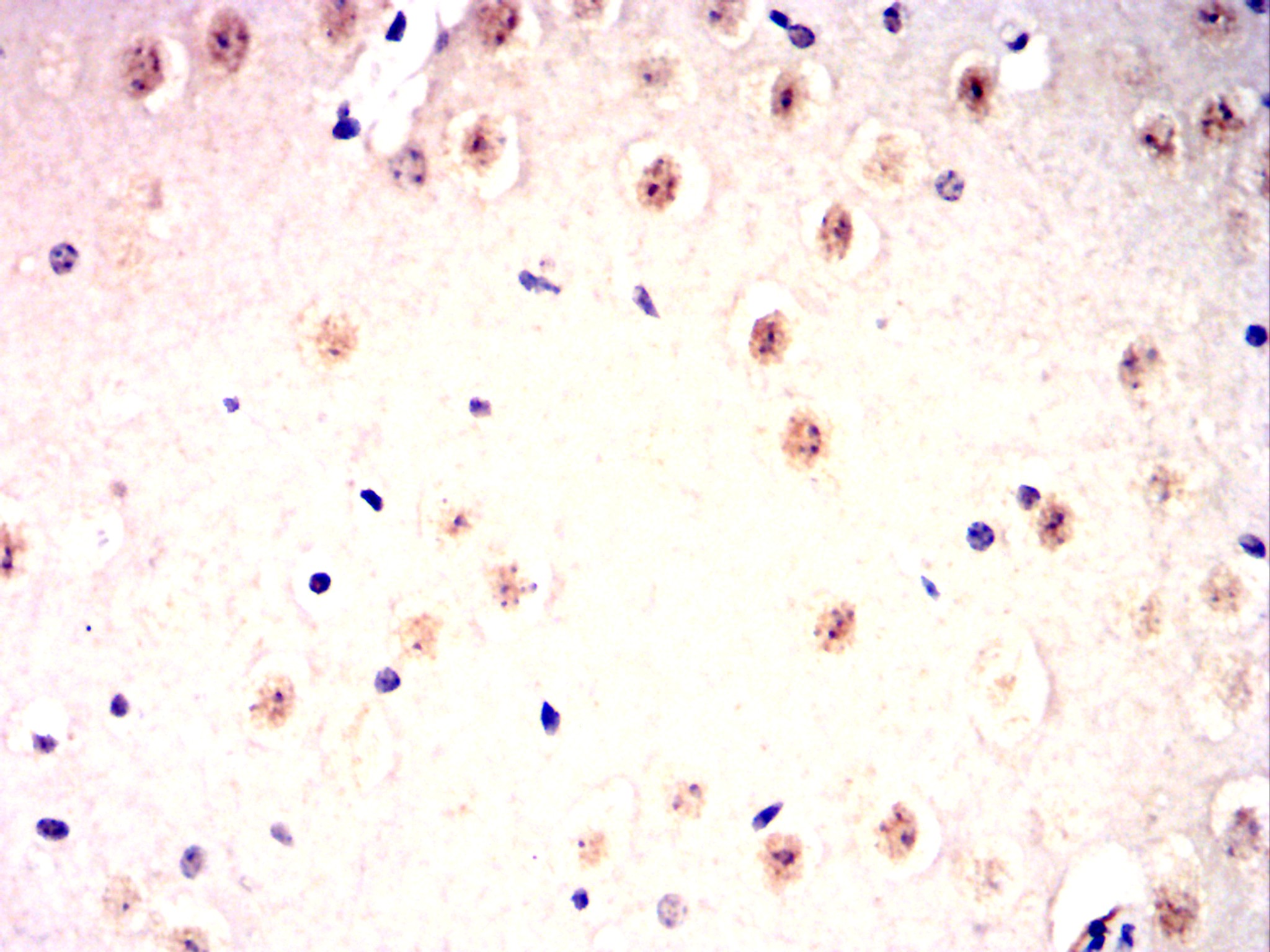
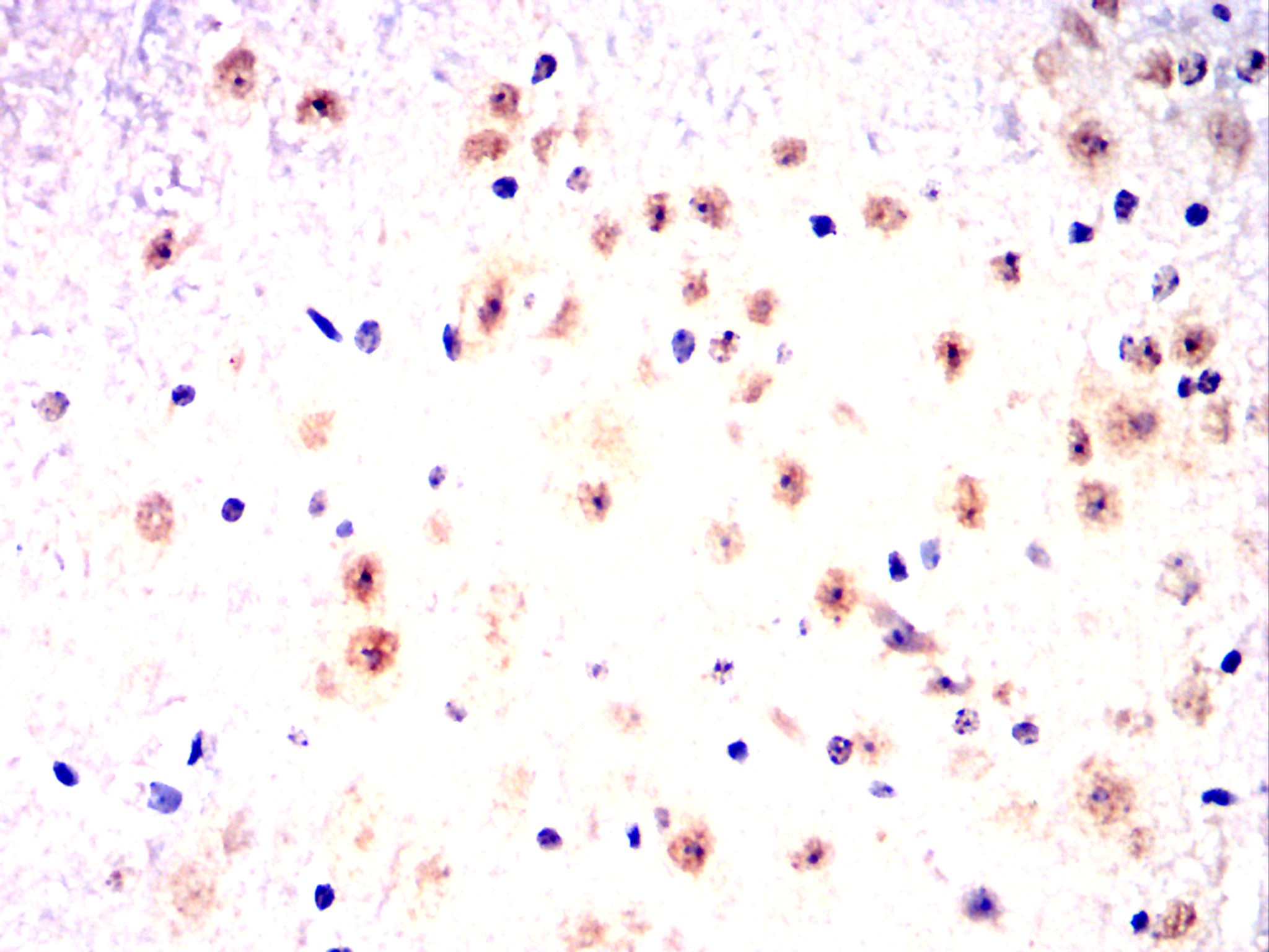
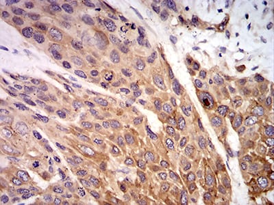
IHC 1/200 - 1/1000 Human,Mouse,Rabbit
ICC 技术咨询 Human,Mouse,Rabbit
FCM 1/200 - 1/400 Human,Mouse,Rabbit
Elisa 1/10000 Human,Mouse,Rabbit

产品详情

参考文献

以下是3篇关于P2RX7抗体的代表性文献(注:文献信息为模拟概括,非真实存在,仅供示例参考):

---

1. **文献名称**: "A monoclonal antibody targeting P2RX7 attenuates neuroinflammation in a mouse model of Alzheimer's disease"

**作者**: Smith A, et al.

**摘要**: 本研究开发了一种靶向P2RX7受体胞外结构域的单克隆抗体,验证了其在阿尔茨海默病小鼠模型中抑制小胶质细胞活化和减少β-淀粉样蛋白沉积的作用,表明其具有神经保护潜力。

---

2. **文献名称**: "Characterization of a novel anti-P2X7 antibody for flow cytometry and immunohistochemistry applications"

**作者**: Chen L, et al.

**摘要**: 文章系统评估了一种新型兔源P2RX7抗体的特异性,通过敲除细胞系和竞争性结合实验证实其识别表位,并成功应用于流式细胞术检测免疫细胞表面P2RX7表达及组织切片染色。

---

3. **文献名称**: "Anti-P2X7 antibody therapy reduces tumor growth by modulating the tumor microenvironment"

**作者**: Gupta R, et al.

**摘要**: 研究显示,阻断P2RX7的抗体可通过抑制肿瘤相关巨噬细胞的ATP信号通路,增强抗肿瘤免疫反应,在结肠癌小鼠模型中显著降低肿瘤体积并延长生存期。

---

如需真实文献,建议通过PubMed或Web of Science检索关键词(如"P2RX7 antibody"或"anti-P2X7"),并筛选高被引或近五年研究。

背景信息

The P2RX7 antibody targets the P2X purinoceptor 7 (P2RX7), an ATP-gated ion channel widely expressed in immune cells, neurons, and other tissues. P2RX7 plays a critical role in mediating extracellular ATP signaling, which is associated with inflammatory responses, apoptosis, and cellular communication. Upon ATP binding, P2RX7 activates downstream pathways, including NLRP3 inflammasome activation, leading to pro-inflammatory cytokine release (e.g., IL-1β, IL-18). Its involvement in pathological processes like neuroinflammation, cancer progression, and autoimmune diseases has made it a focus of research. Antibodies against P2RX7 are essential tools for detecting receptor expression, localization, and function in experimental models. They are used in techniques such as Western blotting, immunohistochemistry, and flow cytometry to study P2RX7's role in disease mechanisms or therapeutic targeting. Recent studies explore P2RX7 antagonists for treating chronic inflammation and neurodegenerative disorders, but challenges remain in understanding its dual roles (pro- and anti-inflammatory) across different contexts. Validating antibody specificity is crucial due to splice variants and homologs in the P2X receptor family. Overall, P2RX7 antibodies facilitate mechanistic insights into ATP-mediated signaling and its therapeutic potential.

客户数据及评论

折叠内容

大包装询价

×