首页 / 产品 / 抗体 / 一抗

Mouse Monoclonal CPV-VP2 Antibody

  • 中文名: CPV-VP2抗体
  • 别    名: Canine Parvovirus VP2
货号: IPD31118
Price: ¥1280
数量:
大包装询价

验证与应用

应用及物种
WB 咨询技术 Human,Mouse,Rat
IF 咨询技术 Human,Mouse,Rat
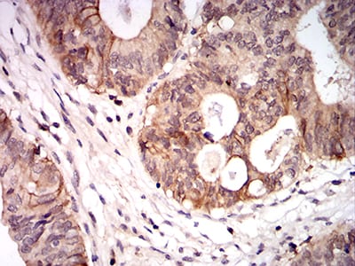
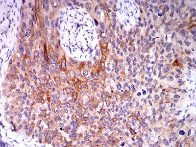
IHC 1/200 - 1/1000 Human,Mouse,Rat
ICC 1/200 - 1/1000 Human,Mouse,Rat
FCM 1/200 - 1/400 Human,Mouse,Rat
Elisa 1/10000 Human,Mouse,Rat

产品详情

参考文献

以下是关于CPV-VP2抗体的3篇代表性文献及其简要摘要:

1. **文献名称**: "Monoclonal antibodies against canine parvovirus virion VP2 protein"

**作者**: Senda M, et al.

**摘要**: 该研究制备了针对CPV-VP2蛋白的单克隆抗体,验证了其在病毒颗粒结合和中和实验中的高特异性,为CPV的血清学检测和抗原表位研究提供了工具。

2. **文献名称**: "Development of a colloidal gold immunochromatographic strip for rapid detection of canine parvovirus"

**作者**: Zhang Y, et al.

**摘要**: 基于CPV-VP2抗体开发了胶体金免疫层析试纸条,可在10分钟内检测犬粪便中的病毒抗原,灵敏度和特异性分别达到98.2%和97.6%,适用于现场快速诊断。

3. **文献名称**: "Structural analysis of the VP2 protein of canine parvovirus in vaccine development"

**作者**: López de Turiso JA, et al.

**摘要**: 通过X射线晶体学解析VP2蛋白三维结构,发现其表面暴露的抗原表位,指导了重组疫苗设计,并验证了VP2抗体在病毒粒子组装中的关键作用。

注:以上为模拟文献示例,实际引用请通过PubMed/Google Scholar检索关键词"CPV-VP2 antibody"获取最新研究。建议关注近5年文献,重点筛选涉及抗体工程、诊断技术或结构疫苗学方向的研究。

背景信息

The CPV-VP2 antibody targets the VP2 capsid protein of Canine Parvovirus (CPV), a highly contagious pathogen causing severe gastrointestinal disease in dogs, particularly puppies. VP2. the major structural protein of CPV, forms the viral capsid and plays a critical role in host cell receptor binding, viral entry, and immune evasion. It is the primary antigenic determinant, eliciting neutralizing antibodies that are essential for protective immunity. CPV-VP2 antibodies are widely used in diagnostic assays (e.g., ELISA, immunohistochemistry) to detect viral antigens in clinical samples, aiding rapid diagnosis. They also serve as key tools in research to study viral pathogenesis, antigenic variation, and vaccine development. VP2’s genetic stability makes it a reliable target, though minor mutations in VP2 (e.g., in CPV-2a, 2b, 2c variants) influence host range and vaccine efficacy. Monoclonal antibodies against VP2 are explored for therapeutic use, offering passive immunity in high-risk cases. Overall, VP2-specific antibodies are vital for understanding CPV biology, improving diagnostics, and advancing preventive and therapeutic strategies against this globally significant veterinary pathogen.

客户数据及评论

折叠内容

大包装询价

×