首页 / 产品 / 抗体 / 一抗

Mouse Monoclonal C1QA Antibody

  • 中文名: C1QA抗体
  • 别    名: nan
货号: IPD31108
Price: ¥1280
数量:
大包装询价

验证与应用

应用及物种
WB 咨询技术 Human,Mouse,Rat
IF 咨询技术 Human,Mouse,Rat
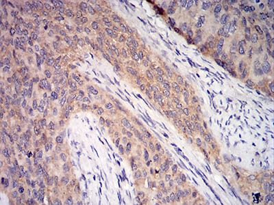
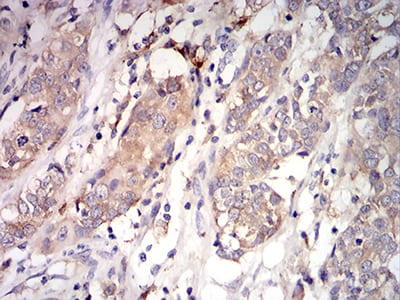
IHC 1/200 - 1/1000 Human,Mouse,Rat
ICC 技术咨询 Human,Mouse,Rat
FCM 1/200 - 1/400 Human,Mouse,Rat
Elisa 1/10000 Human,Mouse,Rat

产品详情

Entrez GeneID712
clone8B5B1
WB Predicted band size26kDa
Host/IsotypeMouse IgG2a
Antibody TypePrimary antibody
StorageStore at 4°C short term. Aliquot and store at -20°C long term. Avoid freeze/thaw cycles.
Species ReactivityHuman
ImmunogenPurified recombinant fragment of human C1QA (AA: 23-167) expressed in E. Coli.
FormulationPurified antibody in PBS with 0.05% sodium azide

+ +

参考文献

以下是3篇关于C1QA抗体的代表性文献及其摘要概括:

---

1. **文献名称**:*Autoantibodies against C1q in systemic lupus erythematosus*

**作者**:Trendelenburg M, et al.

**摘要**:研究分析了系统性红斑狼疮(SLE)患者中抗C1QA自身抗体的存在及其临床意义,发现其与肾脏损伤(狼疮性肾炎)及疾病活动度显著相关,提示其可作为SLE的生物标志物。

---

2. **文献名称**:*C1qA is a novel regulator of neural stem cells differentiation through STAT3 signaling*

**作者**:Benoit ME, et al.

**摘要**:通过动物模型和体外实验,揭示了C1QA抗体在调控神经干细胞分化的作用,发现其通过STAT3信号通路影响神经再生,为神经退行性疾病治疗提供新靶点。

---

3. **文献名称**:*Complement C1qA enhances tumor cell clearance by myeloid-derived suppressor cells in the tumor microenvironment*

**作者**:Wang Y, et al.

**摘要**:探讨了C1QA抗体在肿瘤免疫微环境中的作用,发现其通过增强髓系抑制细胞(MDSCs)的吞噬功能抑制肿瘤生长,为癌症免疫治疗策略提供理论依据。

---

如需具体文献DOI或发表年份,可进一步补充关键词缩小范围。

背景信息

C1qA antibody targets the C1QA protein, a key component of the C1 complex in the complement system. The C1 complex, part of the classical complement pathway, initiates immune responses by recognizing pathogens or apoptotic cells. C1q, composed of six heterotrimeric subunits (C1qA, C1qB, and C1qC), binds to antibodies or pathogen surfaces, triggering proteolytic cascades that enhance opsonization, inflammation, and pathogen clearance. C1QA encodes the A-chain of C1q, critical for structural integrity and functional interactions.

C1qA antibodies are essential tools in studying complement-mediated diseases. Deficiencies or mutations in C1QA are linked to autoimmune disorders like systemic lupus erythematosus (SLE), where impaired immune complex clearance promotes autoantibody production. These antibodies also help investigate C1q's role in neurodegenerative diseases, as C1q accumulates in Alzheimer’s brain plaques, suggesting complement involvement in neuroinflammation.

In research, C1qA antibodies are used in immunoassays (e.g., ELISA, Western blot) to quantify C1q levels, assess complement activation, or detect autoimmune-related C1q abnormalities. Therapeutic applications include exploring strategies to modulate complement activity in conditions like autoimmune diseases or ischemia-reperfusion injury. Overall, C1qA antibodies provide critical insights into complement biology and its dual role in protection and pathology.

客户数据及评论

折叠内容

大包装询价

×