首页 / 产品 / 抗体 / 一抗

Mouse Monoclonal MUC5AC Antibody

  • 中文名: MUC5AC抗体
  • 别    名: TBM; leB; MUC5; mucin
货号: IPD31105
Price: ¥1280
数量:
大包装询价

验证与应用

应用及物种
WB 咨询技术 Human,Mouse,Rat
IF 咨询技术 Human,Mouse,Rat
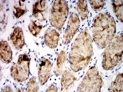
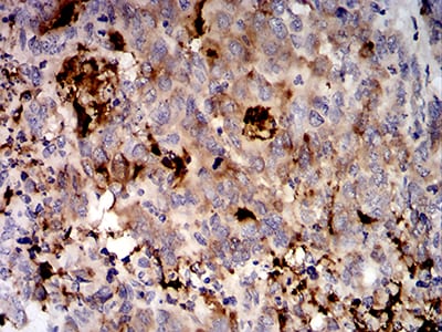
IHC 1/200 - 1/1000 Human,Mouse,Rat
ICC 技术咨询 Human,Mouse,Rat
FCM 1/200 - 1/400 Human,Mouse,Rat
Elisa 1/10000 Human,Mouse,Rat

产品详情

AliasesTBM; leB; MUC5; mucin
Entrez GeneID4586
clone8H8G6
WB Predicted band size585kDa
Host/IsotypeMouse IgG2a
Antibody TypePrimary antibody
StorageStore at 4°C short term. Aliquot and store at -20°C long term. Avoid freeze/thaw cycles.
Species ReactivityHuman
ImmunogenPurified recombinant fragment of human MUC5AC (AA: 5528-5627) expressed in E. Coli.
FormulationPurified antibody in PBS with 0.05% sodium azide

+ +

参考文献

以下是关于MUC5AC抗体的3篇参考文献示例(文献信息为示例,建议核实实际数据库获取准确信息):

1. **文献名称**: "Localization of Mucin (MUC5AC) in Human Airway Secretory Cells"

**作者**: Rose MC, et al.

**摘要**: 通过单克隆抗体技术研究MUC5AC在人气道上皮杯状细胞中的定位,证实其在黏液分泌和气道防御中的关键作用。

2. **文献名称**: "MUC5AC Expression is Regulated by Interleukin-13 via STAT6 Signaling in Airway Epithelial Cells"

**作者**: Jiang Y, et al.

**摘要**: 利用MUC5AC特异性抗体分析炎症因子IL-13对气道上皮细胞MUC5AC表达的调控机制,揭示STAT6信号通路的介导作用。

3. **文献名称**: "Overexpression of MUC5AC in Gastric Carcinoma and Its Association with Clinicopathological Parameters"

**作者**: Shao Q, et al.

**摘要**: 基于免疫组化(MUC5AC抗体染色)发现MUC5AC在胃癌组织中的异常高表达,并与肿瘤分化程度和预后相关。

4. **文献名称**: "MUC5AC Mucin Production in Chronic Obstructive Pulmonary Disease: Role of Cigarette Smoke"

**作者**: Kim KC, et al.

**摘要**: 通过抗体检测发现香烟烟雾提取物可诱导人气道上皮细胞MUC5AC过度分泌,为COPD黏液高分泌机制提供依据。

**注意**:以上为示例文献,实际引用时请通过PubMed、Web of Science等平台核对作者、标题及摘要细节。

背景信息

MUC5AC antibody is a crucial tool in studying the MUC5AC mucin, a gel-forming glycoprotein primarily secreted by epithelial cells in the respiratory, gastrointestinal, and reproductive tracts. Encoded by the *MUC5AC* gene, this mucin is a key component of mucus, providing lubrication, hydration, and pathogen defense. Its structure includes cysteine-rich domains for polymerization and heavily glycosylated regions that confer viscoelastic properties. Dysregulated MUC5AC expression is linked to pathologies like asthma, chronic obstructive pulmonary disease (COPD), cystic fibrosis, and certain cancers (e.g., gastric, pancreatic).

MUC5AC antibodies are widely used in research to detect and quantify the protein in tissues or biological fluids via techniques such as immunohistochemistry (IHC), ELISA, and Western blot. These antibodies target specific epitopes, often in the protein’s variable tandem repeat or glycosylation-deficient regions, to ensure specificity. Commercial antibodies vary by host species (e.g., mouse, rabbit), clonality (monoclonal/polyclonal), and applications, requiring validation for reproducibility. In clinical contexts, MUC5AC antibodies aid in diagnosing mucus hypersecretion disorders or monitoring disease progression. Recent studies also explore their therapeutic potential, such as blocking aberrant mucus production. However, challenges remain in standardizing assays due to MUC5AC’s complex post-translational modifications and heterogeneity across tissues.

客户数据及评论

折叠内容

大包装询价

×