首页 / 产品 / 抗体 / 一抗

Mouse Monoclonal MIB1 Antibody

  • 中文名: MIB1抗体
  • 别    名: MIB; DIP1; ZZZ6; DIP-1; LVNC7; ZZANK2
货号: IPD31100
Price: ¥1280
数量:
大包装询价

验证与应用

应用及物种
WB 咨询技术 Human,Monkey
IF 咨询技术 Human,Monkey
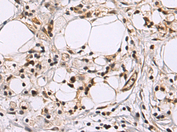
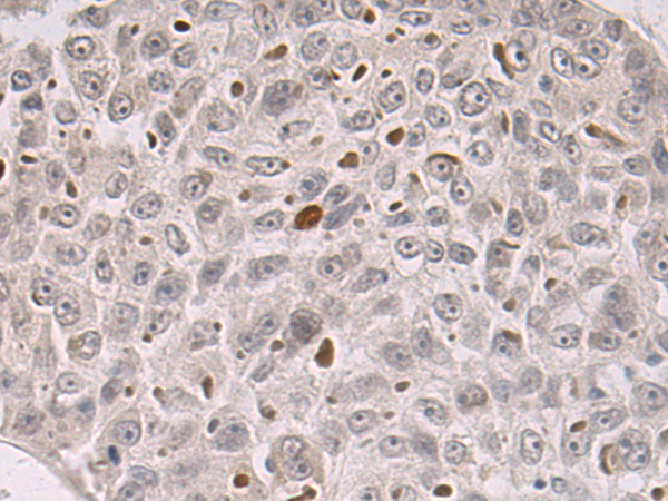
IHC 咨询技术 Human,Monkey
ICC 1/200 - 1/1000 Human,Monkey
FCM 1/200 - 1/400 Human,Monkey
Elisa 1/10000 Human,Monkey

产品详情

参考文献

以下是关于MIB1抗体的3篇参考文献及其摘要概括:

---

1. **Cattoretti, G., et al. (1992).**

*"Monoclonal antibodies against recombinant parts of the Ki-67 antigen (MIB 1 and MIB 3) detect proliferating cells in microwave-processed formalin-fixed paraffin sections."*

**摘要**:该研究首次报道了MIB1抗体的开发,解决了传统Ki-67抗体仅适用于冷冻组织的问题。通过微波抗原修复技术,MIB1可在福尔马林固定、石蜡包埋的组织中检测细胞增殖标记,极大扩展了其在临床病理学中的应用。

2. **Scholzen, T., & Gerdes, J. (2000).**

*"The Ki-67 protein: From the known and the unknown."*

**摘要**:这篇综述系统总结了Ki-67蛋白的生物学功能及其作为细胞增殖标志物的应用,重点讨论了MIB1抗体在肿瘤诊断和预后评估中的作用,同时提出了Ki-67在细胞周期调控中尚未明确的机制。

3. **Brown, D.C., & Gatter, K.C. (1990).**

*"Monoclonal antibody Ki-67: its use in histopathology."*

**摘要**:早期研究探讨了Ki-67抗体(包括MIB1克隆)在组织病理学中的价值,验证了其在多种肿瘤中标记增殖细胞的可靠性,并强调了其在评估肿瘤恶性程度和患者预后中的潜力。

---

**备注**:MIB1是Ki-67抗原的一种单克隆抗体,广泛应用于癌症研究和诊断中。上述文献涵盖其技术开发、机制综述及临床应用,可作为关键参考资料。如需更多文献,建议通过PubMed或Web of Science以“MIB1 antibody”或“Ki-67 immunohistochemistry”为关键词进一步检索。

背景信息

The MIB1 antibody is a monoclonal antibody widely used to detect the Ki-67 antigen, a nuclear protein expressed in proliferating cells during active phases of the cell cycle (G1. S, G2. and M phases) but absent in quiescent (G0) cells. The Ki-67 protein, encoded by the *MKI67* gene, is a large, highly charged molecule with multiple phosphorylation sites and conserved structural motifs, such as PPXY repeats, which mediate interactions with chromatin-associated proteins. Discovered in the 1980s, Ki-67 serves as a key biomarker for assessing cell proliferation rates in both research and clinical settings. The MIB1 clone, developed by immunizing mice with recombinant Ki-67 fragments, specifically recognizes a formalin-resistant epitope, making it suitable for immunohistochemical (IHC) staining in paraffin-embedded tissues. Clinically, MIB1 staining is pivotal in oncology for grading tumors, predicting prognosis, and evaluating therapeutic responses, as high Ki-67 indices often correlate with aggressive tumor behavior and poor outcomes. However, interpretation requires context, as proliferation rates vary across tissue types and malignancies. Despite limitations like interlaboratory variability in scoring, MIB1 remains a cornerstone tool in pathology, bridging cellular dynamics with disease management strategies.

客户数据及评论

折叠内容

大包装询价

×