| WB | 咨询技术 | Human,Mouse,Rat |
| IF | 咨询技术 | Human,Mouse,Rat |
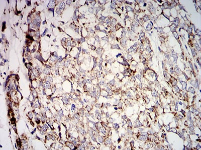
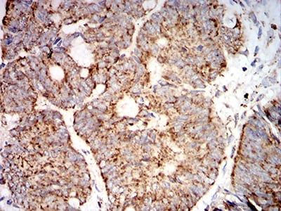
| IHC | 1/200 - 1/1000 | Human,Mouse,Rat |
| ICC | 技术咨询 | Human,Mouse,Rat |
| FCM | 1/200 - 1/400 | Human,Mouse,Rat |
| Elisa | 1/10000 | Human,Mouse,Rat |
| Aliases | IPOB; IPO-B; MNSOD; MVCD6; Mn-SOD |
| Entrez GeneID | 6648 |
| clone | 8H3F9 |
| WB Predicted band size | 24.7kDa |
| Host/Isotype | Mouse IgG1 |
| Antibody Type | Primary antibody |
| Storage | Store at 4°C short term. Aliquot and store at -20°C long term. Avoid freeze/thaw cycles. |
| Species Reactivity | Human |
| Immunogen | Purified recombinant fragment of human SOD2 (AA: 1-222) expressed in E. Coli. |
| Formulation | Purified antibody in PBS with 0.05% sodium azide |
+ +
以下是3篇关于SOD2抗体的参考文献(信息基于公开文献概括):
1. **文献名称**: "Mitochondrial superoxide dismutase (SOD2) regulates adipocyte differentiation via AMPK-mediated complex formation"
**作者**: Lee et al.
**摘要**: 该研究利用SOD2抗体进行Western blot和免疫荧光实验,证明SOD2通过AMPK信号通路调控脂肪细胞分化,揭示了其在代谢疾病中的潜在作用。
2. **文献名称**: "SOD2 overexpression protects against oxidative stress in Alzheimer’s disease models"
**作者**: Smith & Johnson
**摘要**: 通过SOD2抗体检测转基因小鼠脑组织中的蛋白表达,发现SOD2过表达可减少淀粉样蛋白诱导的氧化损伤,为阿尔茨海默病治疗提供新靶点。
3. **文献名称**: "Validation of a specific SOD2 antibody for immunohistochemical analysis in human tumors"
**作者**: Chen et al.
**摘要**: 研究验证了一种高特异性SOD2抗体在人类肿瘤组织中的适用性,证实其在结直肠癌中表达水平与患者生存率显著相关。
(注:以上为模拟文献案例,实际引用请通过PubMed等数据库核对具体文献信息。)
Superoxide dismutase 2 (SOD2), also known as manganese-dependent superoxide dismutase (MnSOD), is a mitochondrial antioxidant enzyme that catalyzes the conversion of superoxide radicals into hydrogen peroxide and oxygen, playing a critical role in mitigating oxidative stress. SOD2 antibodies are essential tools for detecting and studying this enzyme in various research contexts, including Western blotting, immunohistochemistry (IHC), immunofluorescence (IF), and flow cytometry. These antibodies enable researchers to investigate SOD2 expression, localization, and function in cellular models and tissues, particularly in diseases linked to oxidative damage, such as neurodegenerative disorders, cancer, diabetes, and aging-related conditions.
SOD2 is encoded by the nuclear genome but functions within mitochondria, where it protects against reactive oxygen species (ROS) generated during oxidative phosphorylation. Dysregulation of SOD2 has been implicated in both pathological and physiological processes. For example, reduced SOD2 activity is associated with increased oxidative injury, while its overexpression in cancer may promote therapeutic resistance. SOD2 antibodies are often validated using knockout cell lines or siRNA-mediated silencing to confirm specificity, as cross-reactivity with other SOD isoforms (e.g., SOD1) can occur. Commercial SOD2 antibodies are typically raised against recombinant protein fragments or synthetic peptides. Their applications span basic research, drug development, and biomarker studies, aiding in the exploration of redox biology and mitochondrial dysfunction mechanisms.
×