| WB | 咨询技术 | Human,Mouse,Rat |
| IF | 咨询技术 | Human,Mouse,Rat |
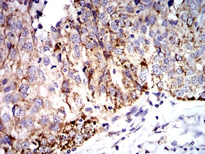
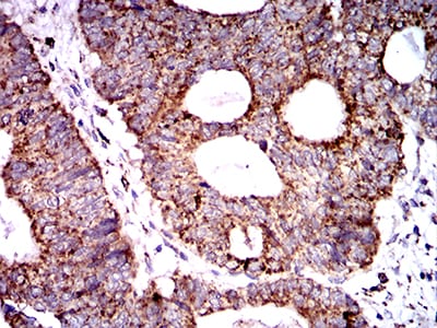
| IHC | 1/200 - 1/1000 | Human,Mouse,Rat |
| ICC | 1/50 - 1/250 | Human,Mouse,Rat |
| FCM | 1/200 - 1/400 | Human,Mouse,Rat |
| Elisa | 1/10000 | Human,Mouse,Rat |
| Aliases | IPOB; IPO-B; MNSOD; MVCD6; Mn-SOD |
| Entrez GeneID | 6648 |
| clone | 8H3D2 |
| WB Predicted band size | 24.7kDa |
| Host/Isotype | Mouse IgG1 |
| Antibody Type | Primary antibody |
| Storage | Store at 4°C short term. Aliquot and store at -20°C long term. Avoid freeze/thaw cycles. |
| Species Reactivity | Human |
| Immunogen | Purified recombinant fragment of human SOD2 (AA: 1-222) expressed in E. Coli. |
| Formulation | Purified antibody in PBS with 0.05% sodium azide |
+ +
以下是3-4条关于SOD2抗体的参考文献及其简要摘要:
---
1. **文献名称**:*"Age-related loss of mitochondrial SOD2 impairs redox homeostasis and promotes cellular senescence"*
**作者**:Holly Van Remmen 等
**摘要**:研究利用SOD2抗体检测小鼠衰老模型中SOD2蛋白表达,发现年龄相关的SOD2下调导致线粒体氧化应激加剧,加速细胞衰老,提示SOD2在维持氧化还原稳态中的关键作用。
---
2. **文献名称**:*"SOD2 deficiency promotes amyloid-beta aggregation in Alzheimer's disease models"*
**作者**:Daret St. Clair 等
**摘要**:通过SOD2抗体分析阿尔茨海默病小鼠脑组织,发现SOD2表达减少与线粒体超氧化物积累相关,促进Aβ斑块形成,表明SOD2缺失可能加剧神经退行性病变。
---
3. **文献名称**:*"SOD2-mediated antioxidant defense regulates cancer stem cell plasticity in glioblastoma"*
**作者**:Peng Huang 等
**摘要**:使用SOD2抗体研究胶质母细胞瘤细胞,发现SOD2通过调控活性氧(ROS)水平影响肿瘤干细胞的自我更新和化疗耐药性,提示靶向SOD2可能增强抗癌疗效。
---
4. **文献名称**:*"Post-translational modification of SOD2 modulates its enzymatic activity in cardiovascular disease"*
**作者**:Tohru Fukai 等
**摘要**:通过SOD2抗体结合质谱分析,揭示SOD2的乙酰化修饰在心血管疾病中影响其酶活性和抗氧化功能,为治疗氧化应激相关疾病提供新靶点。
---
这些文献覆盖了SOD2在衰老、神经疾病、癌症及心血管疾病中的功能研究,均通过SOD2抗体进行蛋白表达或定位分析,体现了其在基础与临床研究中的广泛应用。
Superoxide dismutase 2 (SOD2), also known as manganese-dependent superoxide dismutase (MnSOD), is a mitochondrial antioxidant enzyme that catalyzes the conversion of superoxide radicals into hydrogen peroxide and oxygen, protecting cells from oxidative damage. SOD2 plays a critical role in maintaining redox balance and mitochondrial function, with implications in aging, inflammation, and various diseases. Antibodies targeting SOD2 are essential tools for detecting its expression, localization, and regulation in biological systems.
SOD2 antibodies are widely used in research to study oxidative stress-related pathologies, including cancer, neurodegenerative disorders (e.g., Alzheimer’s and Parkinson’s), cardiovascular diseases, and diabetes. They enable techniques such as Western blotting, immunohistochemistry (IHC), immunofluorescence (IF), and flow cytometry to quantify SOD2 levels in tissues or cultured cells. These antibodies help elucidate SOD2's dual role in cancer—acting as a tumor suppressor in early stages but potentially promoting metastasis in advanced malignancies.
Commercial SOD2 antibodies are typically raised against specific epitopes of human or murine SOD2. with validations across species and applications. Researchers prioritize antibodies with high specificity, minimal cross-reactivity (e.g., with SOD1 or SOD3), and compatibility with formalin-fixed or frozen samples. Recent studies also explore SOD2's involvement in metabolic reprogramming and immune modulation, expanding its relevance in therapeutic targeting. Understanding SOD2 dynamics through antibody-based assays remains pivotal for advancing antioxidant therapies and precision medicine.
×