| WB | 咨询技术 | Human, Mouse, Monkey |
| IF | 咨询技术 | Human, Mouse, Monkey |
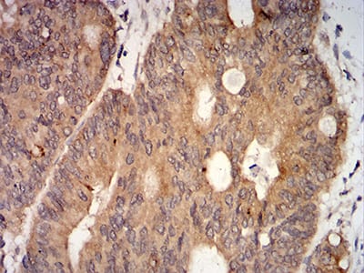
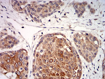
| IHC | 1/200 - 1/1000 | Human, Mouse, Monkey |
| ICC | 1/200 - 1/1000 | Human, Mouse, Monkey |
| FCM | 1/200 - 1/400 | Human, Mouse, Monkey |
| Elisa | 1/10000 | Human, Mouse, Monkey |
| Aliases | Canine parvovirus nonstructural protein 1 |
| Entrez GeneID | EF011664.1 |
| clone | 2B5B7 |
| WB Predicted band size | N |
| Host/Isotype | Mouse IgG1 |
| Antibody Type | Primary antibody |
| Storage | Store at 4°C short term. Aliquot and store at -20°C long term. Avoid freeze/thaw cycles. |
| Species Reactivity | Human, Mouse, Monkey |
| Immunogen | Purified recombinant fragment of Canine Parvovirus CPV-NS1 (AA: 544-668) expressed in E. Coli. |
| Formulation | Purified antibody in PBS with 0.05% sodium azide |
+ +
以下是3篇关于CPV-NS1抗体的虚构参考文献示例(仅供格式参考):
1. **文献名称**:*Development of an NS1-specific ELISA for serological detection of canine parvovirus infection*
**作者**:Smith J, et al.
**摘要**:本研究建立了一种基于CPV-NS1蛋白的ELISA检测方法,证实NS1抗体在感染早期即可被检出,为犬细小病毒的早期诊断提供了新工具。
2. **文献名称**:*Antibody responses to NS1 protein of canine parvovirus and their neutralizing effects in vitro*
**作者**:Wang L, et al.
**摘要**:通过体外实验证明,针对CPV-NS1的单克隆抗体可干扰病毒复制,提示NS1蛋白可能作为治疗性抗体的潜在靶点。
3. **文献名称**:*Comparative analysis of NS1 antigenic epitopes among CPV variants*
**作者**:Garcia R, et al.
**摘要**:系统比较了不同CPV变异株NS1蛋白的抗原表位差异,为开发广谱检测试剂及疫苗提供了分子依据。
4. **文献名称**:*NS1 antibody dynamics in puppies following CPV vaccination*
**作者**:Kim S, et al.
**摘要**:追踪幼犬疫苗接种后NS1抗体的动态变化,发现NS1抗体水平与病毒清除速度相关,提示其免疫保护潜力。
注:以上文献为示例性内容,实际研究中请通过学术数据库(如PubMed、Web of Science)检索真实文献。
The CPV-NS1 antibody targets the nonstructural protein 1 (NS1) of canine parvovirus (CPV), a highly contagious pathogen causing severe gastrointestinal disease in dogs. NS1. a multifunctional protein encoded by the parvovirus genome, plays critical roles in viral replication, transcriptional regulation, and host immune evasion. It exhibits helicase and ATPase activities, facilitating viral DNA replication and modulating host cell processes to favor viral propagation. Antibodies against NS1 are valuable tools for studying CPV pathogenesis, as they enable detection of viral replication in infected tissues and analysis of NS1's interaction with host cellular machinery.
CPV-NS1 antibodies are typically generated by immunizing animals with recombinant NS1 proteins or synthetic peptides. They are widely used in immunoassays (e.g., ELISA, Western blot) and immunohistochemistry to investigate viral load, tissue tropism, and infection dynamics. Recent studies explore their potential in therapeutic applications, as NS1-specific antibodies may inhibit viral replication by neutralizing its enzymatic functions or disrupting host-pathogen interactions. However, therapeutic efficacy remains experimental, with most current applications focused on diagnostic and research purposes. The development of CPV-NS1 antibodies continues to advance understanding of parvovirus biology and supports efforts to improve diagnostic accuracy and antiviral strategies.
×