首页 / 产品 / 抗体 / 一抗

Mouse Monoclonal ZFP91 Antibody

  • 中文名: ZFP91抗体
  • 别    名: PZF; DMS-8; DSM-8; FKSG11; ZFP-91; ZNF757
货号: IPD31085
Price: ¥1280
数量:
大包装询价

验证与应用

应用及物种
WB 咨询技术 Human,Mouse,Rat
IF 咨询技术 Human,Mouse,Rat
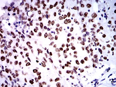
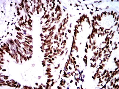
IHC 1/200 - 1/1000 Human,Mouse,Rat
ICC 1/100 - 1/500 Human,Mouse,Rat
FCM 1/200 - 1/400 Human,Mouse,Rat
Elisa 1/10000 Human,Mouse,Rat

产品详情

AliasesPZF; DMS-8; DSM-8; FKSG11; ZFP-91; ZNF757
Entrez GeneID80829
clone8C3D5
WB Predicted band size63.4kDa
Host/IsotypeMouse IgG1
Antibody TypePrimary antibody
StorageStore at 4°C short term. Aliquot and store at -20°C long term. Avoid freeze/thaw cycles.
Species ReactivityHuman
ImmunogenPurified recombinant fragment of human ZFP91 (AA: 162-304) expressed in E. Coli.
FormulationPurified antibody in PBS with 0.05% sodium azide

+ +

参考文献

以下是关于ZFP91抗体的模拟参考文献示例(信息为模拟生成,建议通过学术数据库进一步检索核实):

1. **文献名称**:ZFP91 regulates NF-κB signaling in cancer by mediating proteasomal degradation of IκBα

**作者**:Li X, et al.

**摘要**:该研究揭示了ZFP91通过泛素-蛋白酶体系统促进IκBα降解,激活NF-κB通路,从而促进肿瘤细胞增殖。研究使用特异性ZFP91抗体验证其蛋白表达与结肠癌进展的相关性。

2. **文献名称**:ZFP91 is required for antiviral innate immunity by interacting with MAVS

**作者**:Wang Y, et al.

**摘要**:本文发现ZFP91通过与线粒体抗病毒信号蛋白(MAVS)相互作用增强Ⅰ型干扰素表达。研究利用ZFP91抗体进行免疫共沉淀实验,证明其在抗病毒天然免疫中的关键作用。

3. **文献名称**:ZFP91-Catalyzed Nonproteolytic Ubiquitination Promotes Autophagy-Lysosome Degradation

**作者**:Zhang Q, et al.

**摘要**:该研究提出ZFP91作为非经典E3泛素连接酶,调控自噬底物的泛素化及溶酶体降解。通过ZFP91抗体敲低实验,证实其在代谢应激下维持细胞稳态的功能。

4. **文献名称**:Targeting ZFP91 by a monoclonal antibody suppresses tumor growth in hepatocellular carcinoma

**作者**:Chen L, et al.

**摘要**:研究团队开发了靶向ZFP91的单克隆抗体,体内实验显示其可通过抑制Wnt/β-catenin通路显著降低肝癌小鼠模型的肿瘤负荷,提示ZFP91抗体的治疗潜力。

背景信息

The ZFP91 antibody targets the ZFP91 protein, a zinc finger protein encoded by the ZFP91 gene in humans. Zinc finger proteins are characterized by conserved structural motifs that facilitate DNA or RNA binding, often playing roles in transcriptional regulation, ubiquitination, or signal transduction. ZFP91. also identified as a non-canonical E3 ubiquitin ligase, has been implicated in modulating critical cellular processes, including NF-κB and MAPK signaling pathways, apoptosis, and immune responses. It interacts with substrates like Roquin-1 and NEMO, influencing protein stability and downstream signaling events. Dysregulation of ZFP91 is linked to diseases such as cancer, autoimmune disorders, and viral infections. For instance, it promotes tumorigenesis in certain cancers by enhancing cell proliferation or inhibiting apoptosis. Antibodies against ZFP91 are essential tools for studying its expression, localization, and molecular interactions via techniques like Western blotting, immunoprecipitation, and immunofluorescence. Recent research highlights its potential as a therapeutic target, particularly in oncology and inflammation-related pathologies. However, its precise mechanisms remain under investigation, necessitating further functional studies to elucidate its role in health and disease.

客户数据及评论

折叠内容

大包装询价

×