| WB | 咨询技术 | Human,Mouse,Rat |
| IF | 咨询技术 | Human,Mouse,Rat |
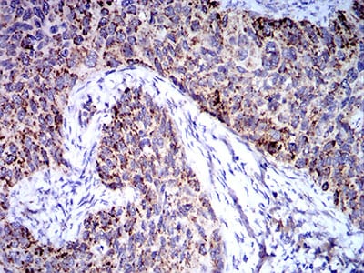
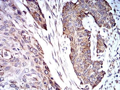
| IHC | 1/200 - 1/1000 | Human,Mouse,Rat |
| ICC | 1/50 - 1/250 | Human,Mouse,Rat |
| FCM | 1/200 - 1/400 | Human,Mouse,Rat |
| Elisa | 1/10000 | Human,Mouse,Rat |
| Aliases | EFP; Z147; RNF147; ZNF147 |
| Entrez GeneID | 7706 |
| clone | 5B5B10 |
| WB Predicted band size | 71kDa |
| Host/Isotype | Mouse IgG2b |
| Antibody Type | Primary antibody |
| Storage | Store at 4°C short term. Aliquot and store at -20°C long term. Avoid freeze/thaw cycles. |
| Species Reactivity | Human |
| Immunogen | Purified recombinant fragment of human TRIM25 (AA: 211-360) expressed in E. Coli. |
| Formulation | Purified antibody in PBS with 0.05% sodium azide |
+ +
以下是3篇与TRIM25抗体相关的参考文献,按研究领域分类简要概括:
1. **文献名称**:*TRIM25 RING-Finger E3 Ubiquitin Ligase is Essential for RIG-I-Mediated Antiviral Activity*
**作者**:Gack MU et al.
**摘要**:该研究首次阐明TRIM25通过其E3泛素连接酶活性,介导RIG-I的K63泛素化修饰,从而激活抗病毒天然免疫信号通路。文中使用TRIM25抗体验证了其在病毒感染后与RIG-I的相互作用及亚细胞定位。
2. **文献名称**:*TRIM25 promotes cell proliferation and invasion in colorectal cancer via activating Wnt/β-catenin signaling*
**作者**:Zhang Y et al.
**摘要**:研究通过免疫组化(使用TRIM25抗体)发现TRIM25在结直肠癌组织中高表达,并通过激活Wnt/β-catenin通路促进肿瘤细胞增殖和转移,提示其作为潜在治疗靶点的可能性。
3. **文献名称**:*Structural basis of TRIM25 ubiquitin ligase activation for RIG-I targeting*
**作者**:Sanchez JG et al.
**摘要**:利用冷冻电镜和X射线晶体学解析了TRIM25的SPRY结构域与RIG-I复合物的三维结构,并通过Western blot(使用TRIM25特异性抗体)验证了关键结构域突变对泛素化功能的影响。
---
**注**:以上文献均涉及TRIM25抗体的应用(如Western blot、免疫共沉淀或免疫组化),研究领域覆盖抗病毒免疫、肿瘤机制及蛋白质结构功能。如需具体实验抗体货号或详细方法,可进一步补充文献中的实验部分细节。
TRIM25 (Tripartite Motif-containing protein 25), also known as E3 ubiquitin-protein ligase TRIM25. is a member of the TRIM family characterized by RING, B-box, and coiled-coil domains. It plays a critical role in innate immunity, particularly in antiviral responses. TRIM25 is best known for its interaction with RIG-I (Retinoic acid-Inducible Gene I), where it catalyzes K63-linked ubiquitination of RIG-I’s caspase activation and recruitment domains (CARDs), a step essential for initiating downstream signaling to produce type I interferons (IFNs) against viral infections. Beyond immune regulation, TRIM25 is implicated in diverse cellular processes, including RNA binding, protein stability, and post-translational modifications, often through its E3 ubiquitin ligase activity.
Antibodies targeting TRIM25 are widely used in research to study its expression, localization, and molecular interactions. These antibodies enable techniques like Western blotting, immunoprecipitation, and immunofluorescence, helping to elucidate TRIM25’s role in viral pathogenesis (e.g., influenza, Zika, SARS-CoV-2), cancer (as an oncogene or tumor suppressor in various contexts), and autoimmune disorders. Commercial TRIM25 antibodies are typically raised against specific epitopes, such as the N-terminal or C-terminal regions, and validated for cross-reactivity across species like human, mouse, and rat. Dysregulation of TRIM25 has been linked to diseases, making its antibodies valuable tools for diagnostic exploration and therapeutic targeting. Ongoing research continues to uncover its complex regulatory networks and context-dependent functions.
×