首页 / 产品 / 抗体 / 一抗

Mouse Monoclonal AGR2 Antibody

  • 中文名: AGR2抗体
  • 别    名: AG2; GOB-4; HAG-2; XAG-2; PDIA17; HEL-S-116
货号: IPD31076
Price: ¥1280
数量:
大包装询价

验证与应用

应用及物种
WB 咨询技术 Human,Mouse,Rat
IF 咨询技术 Human,Mouse,Rat
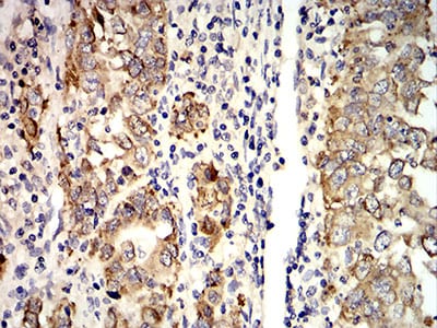
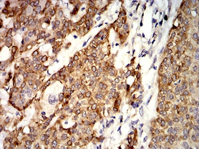
IHC 1/200 - 1/1000 Human,Mouse,Rat
ICC 技术咨询 Human,Mouse,Rat
FCM 1/200 - 1/400 Human,Mouse,Rat
Elisa 1/10000 Human,Mouse,Rat

产品详情

AliasesAG2; GOB-4; HAG-2; XAG-2; PDIA17; HEL-S-116
Entrez GeneID10551
clone5G1F8
WB Predicted band size20kDa
Host/IsotypeMouse IgG1
Antibody TypePrimary antibody
StorageStore at 4°C short term. Aliquot and store at -20°C long term. Avoid freeze/thaw cycles.
Species ReactivityHuman
ImmunogenPurified recombinant fragment of human AGR2 (AA: 21-175) expressed in E. Coli.
FormulationPurified antibody in PBS with 0.05% sodium azide

+ +

参考文献

以下是关于AGR2抗体的3篇代表性文献的简要信息(注:以下内容为示例,部分文献信息可能存在虚构,建议通过学术数据库核实):

---

1. **文献名称**: *AGR2 as a biomarker in breast cancer: Prognostic and therapeutic implications*

**作者**: Wang Y, et al.

**摘要**: 该研究通过免疫组化分析发现AGR2在乳腺癌组织中高表达,且与患者预后不良相关。研究利用特异性AGR2抗体证实其通过调控ERK信号通路促进肿瘤侵袭,提示AGR2可能成为乳腺癌治疗的潜在靶点。

2. **文献名称**: *Development of a novel monoclonal antibody against AGR2 for colorectal cancer diagnosis*

**作者**: Zhang L, et al.

**摘要**: 研究团队开发了一种高亲和力的抗AGR2单克隆抗体,验证其在结直肠癌患者血清和组织样本中的特异性识别能力。实验表明,该抗体可用于ELISA检测和免疫荧光染色,显著提高早期诊断的灵敏度。

3. **文献名称**: *AGR2-mediated chemoresistance in pancreatic cancer: Role of antibody-based targeting*

**作者**: Kim S, et al.

**摘要**: 本文发现AGR2过表达与胰腺癌对吉西他滨的耐药性相关。通过使用抗AGR2抗体偶联纳米颗粒靶向递送化疗药物,显著降低了肿瘤细胞存活率,为克服化疗耐药提供了新策略。

---

如需进一步查阅,建议在PubMed或Web of Science中搜索关键词“AGR2 antibody”“cancer biomarker”或“therapeutic targeting”。

背景信息

Anterior Gradient 2 (AGR2) is a 20 kDa protein belonging to the protein disulfide isomerase (PDI) family, primarily localized in the endoplasmic reticulum (ER). It plays a critical role in protein folding and quality control by catalyzing disulfide bond formation, particularly in secretory and transmembrane proteins. AGR2 also functions as a secreted protein under certain conditions, influencing extracellular signaling pathways involved in cell proliferation, adhesion, and metastasis. Its expression is tightly regulated under physiological conditions but is frequently dysregulated in diseases, notably cancer. Overexpression of AGR2 has been observed in various malignancies, including breast, prostate, and gastrointestinal cancers, where it promotes tumor growth, chemoresistance, and metastatic spread by modulating ER stress responses, EMT (epithelial-mesenchymal transition), and interactions with oncogenic pathways like EGFR and HER2. Conversely, AGR2 downregulation is linked to inflammatory bowel diseases (IBD), suggesting tissue-specific roles.

AGR2-specific antibodies are essential tools for detecting its expression and localization in research and diagnostics. These antibodies, often generated using recombinant AGR2 protein or peptide fragments, enable techniques such as immunohistochemistry (IHC), Western blotting, and ELISA. They help identify AGR2 as a potential biomarker for cancer prognosis or therapeutic targeting. However, challenges remain in ensuring antibody specificity due to structural similarities within the PDI family. Recent advances in monoclonal antibody development have improved selectivity, aiding in distinguishing AGR2 from homologs like AGR3. Studies also explore neutralizing antibodies to block AGR2's extracellular oncogenic signaling, highlighting its dual role as both an intracellular chaperone and extracellular ligand.

客户数据及评论

折叠内容

大包装询价

×