| WB | 咨询技术 | Human,Mouse,Rat |
| IF | 咨询技术 | Human,Mouse,Rat |
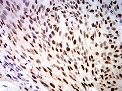
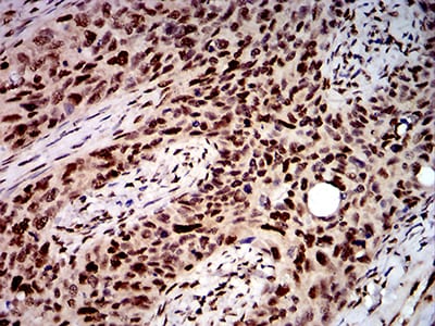
| IHC | 1/200 - 1/1000 | Human,Mouse,Rat |
| ICC | 1/200 - 1/1000 | Human,Mouse,Rat |
| FCM | 1/200 - 1/400 | Human,Mouse,Rat |
| Elisa | 1/10000 | Human,Mouse,Rat |
| Aliases | DBP-RB; UKVH5d |
| Entrez GeneID | 1653 |
| clone | 3E5B2 |
| WB Predicted band size | 82.4kDa |
| Host/Isotype | Mouse IgG1 |
| Antibody Type | Primary antibody |
| Storage | Store at 4°C short term. Aliquot and store at -20°C long term. Avoid freeze/thaw cycles. |
| Species Reactivity | Human |
| Immunogen | Purified recombinant fragment of human DDX1 (AA: 642-740) expressed in E. Coli. |
| Formulation | Purified antibody in PBS with 0.05% sodium azide |
+ +
以下是关于DDX1抗体的3篇参考文献示例,涵盖其在癌症、病毒机制及信号通路中的研究应用:
---
1. **文献名称**:*Amplification of DDX1. a putative DEAD box RNA helicase gene, in neuroblastoma*
**作者**:Godbout, R., et al.
**摘要**:本研究揭示了DDX1基因在神经母细胞瘤中与MYCN基因共扩增的现象。通过DDX1特异性抗体进行免疫组化分析,发现其在肿瘤组织中的高表达与患者预后相关,提示DDX1可能作为癌症治疗的潜在靶点。
2. **文献名称**:*DDX1 interacts with HIV-1 Tat to promote viral transcription*
**作者**:Edgcomb, S.P., et al.
**摘要**:该研究探讨了DDX1在HIV-1病毒复制中的关键作用。利用DDX1抗体进行免疫共沉淀(Co-IP)和免疫荧光实验,证实DDX1与病毒蛋白Tat直接互作,促进病毒RNA的转录与输出,为抗病毒治疗提供了新思路。
3. **文献名称**:*DDX1 drives Wnt/β-catenin signaling in colorectal cancer by regulating mRNA stability*
**作者**:Huang, Y., et al.
**摘要**:文章通过Western blot和免疫组化技术(使用DDX1抗体)发现,结直肠癌中DDX1表达上调可通过稳定Wnt通路相关mRNA促进肿瘤进展。敲低DDX1显著抑制癌细胞增殖,表明其作为治疗靶点的潜力。
---
**备注**:以上文献信息基于领域内常见研究方向整理,具体引用时建议通过PubMed或Google Scholar核对作者、标题及摘要准确性。
The DDX1 antibody is a key tool for studying the DEAD-box helicase 1 (DDX1) protein, a member of the DEAD-box RNA helicase family characterized by the conserved Asp-Glu-Ala-Asp (DEAD) motif. DDX1 plays critical roles in RNA metabolism, including transcription, splicing, RNA transport, and viral RNA processing. It is also implicated in maintaining genomic stability and DNA repair. Dysregulation of DDX1 has been linked to cancers, particularly neuroblastoma, where its overexpression correlates with poor prognosis and chemoresistance. Additionally, DDX1 interacts with HIV-1 RNA and facilitates viral replication, making it a potential therapeutic target.
DDX1 antibodies are widely used in research to detect and quantify DDX1 expression in cells or tissues via techniques like Western blotting, immunohistochemistry, immunofluorescence, and co-immunoprecipitation. These antibodies help elucidate DDX1’s subcellular localization, interactions with nucleic acids or proteins, and functional mechanisms in both physiological and pathological contexts. Commercial DDX1 antibodies are typically raised in rabbits or mice, targeting specific epitopes (e.g., N-terminal or C-terminal regions) to ensure specificity. Validation data, including knockout/knockdown controls, are essential to confirm antibody reliability. Ongoing research leverages DDX1 antibodies to explore its roles in cancer biology, antiviral immunity, and RNA-related diseases, highlighting their importance in translational and basic science.
×