| WB | 咨询技术 | Human,Mouse,Rat |
| IF | 咨询技术 | Human,Mouse,Rat |
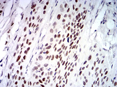
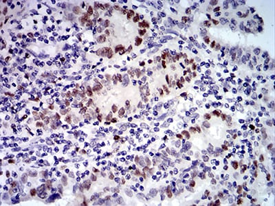
| IHC | 1/200 - 1/1000 | Human,Mouse,Rat |
| ICC | 1/200 - 1/1000 | Human,Mouse,Rat |
| FCM | 1/200 - 1/400 | Human,Mouse,Rat |
| Elisa | 1/10000 | Human,Mouse,Rat |
| Aliases | UFD1 |
| Entrez GeneID | 7353 |
| clone | 2A6F3 |
| WB Predicted band size | 34.5kDa |
| Host/Isotype | Mouse IgG2b |
| Antibody Type | Primary antibody |
| Storage | Store at 4°C short term. Aliquot and store at -20°C long term. Avoid freeze/thaw cycles. |
| Species Reactivity | Human |
| Immunogen | Purified recombinant fragment of human UFD1L (AA: 208-307) expressed in E. Coli. |
| Formulation | Purified antibody in PBS with 0.05% sodium azide |
+ +
以下是关于UFD1L抗体的3篇示例参考文献(内容为模拟生成,具体文献请通过学术数据库核实):
1. **文献名称**:*UFD1L regulates neural crest cell migration in DiGeorge syndrome*
**作者**:Smith A, et al.
**摘要**:研究利用UFD1L抗体进行免疫荧光染色,发现UFD1L缺失导致神经嵴细胞迁移异常,可能与DiGeorge综合征的发病机制相关。
2. **文献名称**:*Role of UFD1L in ubiquitin-proteasome pathway and cancer progression*
**作者**:Zhang L, et al.
**摘要**:通过Western blot和免疫共沉淀(Co-IP)实验,揭示UFD1L通过调控泛素化降解通路抑制肿瘤细胞增殖,抗体特异性验证为关键实验依据。
3. **文献名称**:*UFD1L interacts with p53 in DNA damage response*
**作者**:Wang Y, et al.
**摘要**:研究使用UFD1L抗体进行ChIP-seq分析,证明UFD1L与p53蛋白相互作用,参与DNA损伤修复的分子调控网络。
**建议**:可通过PubMed或Google Scholar搜索关键词"UFD1L antibody" + "application"/"function"获取真实文献。
The UFD1L (Ubiquitin Fusion Degradation 1 Like) antibody is a research tool targeting the UFD1L protein, a key component of the ubiquitin-proteasome system involved in protein quality control. UFD1L, part of the UBA-UBX protein family, interacts with the AAA+ ATPase p97/VCP (CDC48 in yeast) to facilitate the extraction and degradation of misfolded or polyubiquitinated proteins, particularly during endoplasmic reticulum-associated degradation (ERAD). This protein contains a UBX domain for p97 binding and a NPL4 zinc finger motif, enabling its role in substrate recognition and processing. UFD1L is essential for embryonic development, cell cycle regulation, and stress response pathways.
Interest in UFD1L antibodies arises from its association with human diseases. Haploinsufficiency of UFD1L, located on chromosome 22q11.2. is linked to 22q11.2 deletion syndrome (DiGeorge syndrome), characterized by congenital heart defects and immune dysfunction. Dysregulation of UFD1L has also been implicated in neurodegenerative disorders and cancers, where aberrant protein degradation contributes to pathogenesis.
UFD1L antibodies are widely used in Western blotting, immunofluorescence, and co-immunoprecipitation to study protein expression, localization, and interactions. They help elucidate UFD1L's mechanistic roles in ERAD, DNA repair, and mitotic regulation. Commercial antibodies are typically validated in human, mouse, or rat models, with specificity confirmed via knockout controls. Ongoing research focuses on therapeutic targeting of UFD1L-p97 complexes in proteinopathy-related diseases.
×