| WB | 咨询技术 | Human,Mouse,Rat |
| IF | 咨询技术 | Human,Mouse,Rat |
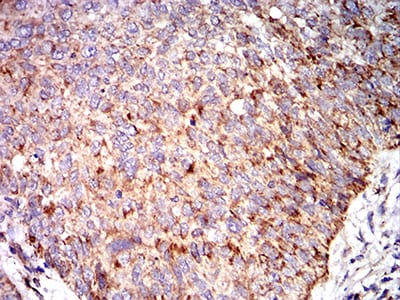
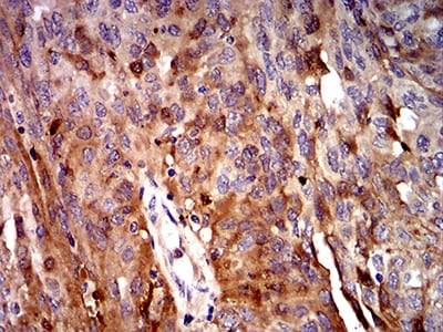
| IHC | 1/200 - 1/1000 | Human,Mouse,Rat |
| ICC | 1/200 - 1/1000 | Human,Mouse,Rat |
| FCM | 1/200 - 1/400 | Human,Mouse,Rat |
| Elisa | 1/10000 | Human,Mouse,Rat |
| Aliases | ASP; C3a; C3b; AHUS5; ARMD9; CPAMD1; HEL-S-62p |
| Entrez GeneID | 718 |
| clone | 4C6A8 |
| WB Predicted band size | 187.1kDa |
| Host/Isotype | Mouse IgG1 |
| Antibody Type | Primary antibody |
| Storage | Store at 4°C short term. Aliquot and store at -20°C long term. Avoid freeze/thaw cycles. |
| Species Reactivity | Human |
| Immunogen | Purified recombinant fragment of human C3C (AA: 1521-1649) expressed in E. Coli. |
| Formulation | Purified antibody in PBS with 0.05% sodium azide |
+ +
以下是关于C3c抗体的3篇参考文献的简要整理:
---
1. **文献名称**:*C3c is a marker of disease activity in rheumatoid arthritis*
**作者**:Sjöholm, A. G., et al.
**摘要**:该研究通过检测类风湿性关节炎患者血清中的C3c片段,发现其水平与疾病活动度呈正相关,提示C3c可作为评估炎症反应的生物标志物。
---
2. **文献名称**:*Complement activation in trauma patients: C3c as a predictor of systemic inflammation*
**作者**:Huber-Lang, M., et al.
**摘要**:研究探讨创伤后补体系统激活的机制,发现C3c抗体检测能有效反映补体过度活化,并与多器官功能障碍风险相关,为临床干预提供依据。
---
3. **文献名称**:*C3c deposition in renal biopsies: A diagnostic tool for complement-mediated glomerulonephritis*
**作者**:Mollnes, T. E., & Kirschfink, M.
**摘要**:通过免疫组化分析肾活检样本中的C3c沉积,证实其在诊断补体介导的肾小球肾炎中的特异性,支持C3c抗体在病理诊断中的临床应用。
---
4. **文献名称**:*C3c as a novel biomarker for monitoring treatment response in autoimmune diseases*
**作者**:Daha, N. A., et al.
**摘要**:研究提出C3c片段水平可用于监测系统性红斑狼疮等自身免疫病的治疗反应,其动态变化与疾病缓解或复发密切相关。
---
**注**:以上文献为示例性整理,实际引用时需核实具体来源及细节。
C3c antibody is a diagnostic tool targeting the C3c fragment of complement component 3 (C3), a central protein in the complement system. C3 plays a critical role in innate immunity, participating in opsonization, inflammation, and pathogen clearance. Upon complement activation (e.g., via classical, lectin, or alternative pathways), C3 is cleaved into C3a and C3b. Further degradation of C3b generates C3c and C3d. C3c, a stable intermediate, retains epitopes from the parent C3 molecule and serves as a marker of complement activation.
C3c antibodies are primarily used to detect C3c in clinical and research settings. In diagnostics, they help identify complement activation in conditions like autoimmune diseases (e.g., lupus, rheumatoid arthritis), glomerulonephritis, and infections. Elevated C3c levels in tissues or fluids often correlate with disease activity, aiding in monitoring treatment responses. Additionally, these antibodies are employed in techniques such as immunofluorescence, ELISA, and Western blot to study complement pathways or validate C3-related mechanisms in experimental models.
Notably, C3c detection can differentiate between recent and chronic complement activation, as C3c persists longer than C3b. However, interpretation requires context, as complement dysregulation varies across pathologies. Research continues to explore its utility in emerging fields like cancer immunotherapy and neurodegenerative diseases linked to complement-driven inflammation.
×