首页 / 产品 / 抗体 / 一抗

Mouse Monoclonal VIMP Antibody

  • 中文名: VIMP抗体
  • 别    名: SELS; ADO15; SBBI8; SEPS1; AD-015
货号: IPD31044
Price: ¥1280
数量:
大包装询价

验证与应用

应用及物种
WB 咨询技术 Human,Mouse,Rat
IF 咨询技术 Human,Mouse,Rat
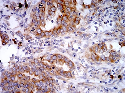
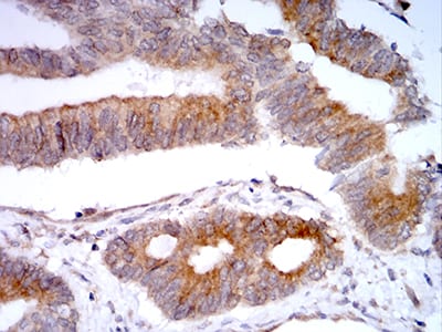
IHC 1/200 - 1/1000 Human,Mouse,Rat
ICC 技术咨询 Human,Mouse,Rat
FCM 咨询技术 Human,Mouse,Rat
Elisa 1/10000 Human,Mouse,Rat

产品详情

AliasesSELS; ADO15; SBBI8; SEPS1; AD-015
Entrez GeneID55829
clone7F8G1
WB Predicted band size21.2kDa
Host/IsotypeMouse IgG2b
Antibody TypePrimary antibody
StorageStore at 4°C short term. Aliquot and store at -20°C long term. Avoid freeze/thaw cycles.
Species ReactivityHuman
ImmunogenPurified recombinant fragment of human VIMP (AA: 1-187) expressed in E. Coli.
FormulationPurified antibody in PBS with 0.05% sodium azide

+ +

参考文献

以下是关于VIMP抗体的3篇文献摘要信息,供参考:

1. **文献名称**:*VCP-interacting membrane protein (VIMP) links the ER-associated degradation pathway to the chaperone system*

**作者**:Ballar, P. et al.

**摘要**:该研究首次阐明VIMP作为内质网相关降解(ERAD)途径的关键适配蛋白,通过与VCP/p97结合促进错误折叠蛋白从内质网向胞质溶胶的转运,并揭示了其与分子伴侣系统的功能关联。

2. **文献名称**:*VIMP facilitates proteasome activation in response to ER stress through interaction with Derlin-1*

**作者**:Nakatsukasa, K. et al.

**摘要**:研究证明VIMP通过结合Derlin-1蛋白,在内质网应激条件下增强蛋白酶体活性,协调内质网与细胞质间的蛋白质质量控制,为VIMP在应激响应中的调控机制提供了证据。

3. **文献名称**:*Antibody-based profiling of VIMP in neurodegenerative disease models*

**作者**:Hirabayashi, Y. et al.

**摘要**:开发了特异性识别VIMP的单克隆抗体,应用于肌萎缩侧索硬化症(ALS)模型小鼠的脑组织分析,发现VIMP在病变神经元中的异常聚集可能参与TDP-43蛋白病理过程。

---

**备注**:若需具体文献检索,建议通过PubMed或Web of Science使用关键词"VIMP antibody"或"VCP-interacting membrane protein"筛选近年研究。部分早期文献可能需通过抗体应用场景(如疾病模型、分子机制)进一步细化查询。

背景信息

VIMP (VCP-interacting membrane protein), also known as selenoprotein S (SelS), is an endoplasmic reticulum (ER)-resident protein encoded by the *SELS* gene. It plays a critical role in ER-associated degradation (ERAD), a quality control mechanism that removes misfolded proteins from the ER. VIMP interacts with valosin-containing protein (VCP/p97), an ATPase involved in extracting ubiquitinated substrates for proteasomal degradation. This interaction positions VIMP as a key mediator in maintaining ER homeostasis and mitigating ER stress.

VIMP is implicated in inflammatory and metabolic disorders due to its dual roles in ERAD and redox regulation. As a selenoprotein, it contains a selenocysteine residue, enabling antioxidant activity that protects cells from oxidative damage. Studies link VIMP polymorphisms to conditions like type 2 diabetes, cardiovascular diseases, and autoimmune disorders, likely through its influence on cytokine production and stress responses.

Antibodies targeting VIMP are essential tools for studying its expression, localization, and interactions. They are used in techniques like Western blotting, immunofluorescence, and immunoprecipitation to investigate VIMP’s role in cellular stress pathways, disease mechanisms, and potential therapeutic strategies. Commercial VIMP antibodies are typically validated for specificity in human, mouse, or rat models, aiding translational research in metabolic and inflammatory diseases.

客户数据及评论

折叠内容

大包装询价

×