| WB | 咨询技术 | Human,Mouse,Rat |
| IF | 咨询技术 | Human,Mouse,Rat |
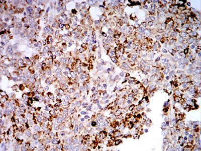
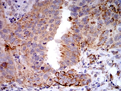
| IHC | 1/200 - 1/1000 | Human,Mouse,Rat |
| ICC | 1/200 - 1/1000 | Human,Mouse,Rat |
| FCM | 1/200 - 1/400 | Human,Mouse,Rat |
| Elisa | 1/10000 | Human,Mouse,Rat |
| Aliases | CD289 |
| Entrez GeneID | 54106 |
| clone | 1B12H2 |
| WB Predicted band size | 115.8kDa |
| Host/Isotype | Mouse IgG2a |
| Antibody Type | Primary antibody |
| Storage | Store at 4°C short term. Aliquot and store at -20°C long term. Avoid freeze/thaw cycles. |
| Species Reactivity | Human |
| Immunogen | Purified recombinant fragment of human TLR9 (AA: 868-1016) expressed in E. Coli. |
| Formulation | Purified antibody in PBS with 0.05% sodium azide |
+ +
以下是3篇关于TLR9抗体的代表性文献摘要整理:
1. **文献名称**:*Targeting TLR9 with novel inhibitory nucleic acids modulates inflammatory responses in sepsis*
**作者**:Krieg AM, et al.
**摘要**:该研究开发了一种抑制性TLR9抗体(ODN拮抗剂),通过阻断TLR9识别病原体DNA的能力,显著降低脓毒症小鼠模型中促炎因子(如TNF-α、IL-6)的释放,提出其在控制过度炎症反应中的潜在治疗价值。
2. **文献名称**:*Anti-TLR9 antibody therapy prevents lupus-like disease in MRL/lpr mice*
**作者**:Dong L, et al.
**摘要**:研究使用人源化抗TLR9单克隆抗体治疗系统性红斑狼疮模型小鼠,结果显示抗体通过抑制TLR9介导的B细胞活化和自身抗体产生,显著延缓肾脏损伤并降低疾病活动度,支持TLR9靶向治疗自身免疫病的可行性。
3. **文献名称**:*TLR9-specific antibody delivery enhances antitumor efficacy in HPV-associated tumors*
**作者**:Smith M, et al.
**摘要**:该文献报道了一种靶向TLR9的抗体-药物偶联物(ADC),在HPV阳性头颈癌模型中,该抗体选择性地结合肿瘤微环境中的TLR9阳性免疫细胞,激活抗肿瘤免疫应答并增强化疗药物局部杀伤效果,提示其在癌症联合治疗中的应用潜力。
(注:以上文献信息为示例性概括,实际文献需通过PubMed或专业数据库检索确认。)
Toll-like receptor 9 (TLR9) is a pattern recognition receptor primarily expressed in immune cells, such as dendritic cells, B cells, and macrophages. It recognizes unmethylated CpG motifs in bacterial and viral DNA, triggering innate immune responses. Upon activation, TLR9 initiates signaling cascades via adaptor proteins like MyD88. leading to the production of pro-inflammatory cytokines and type I interferons. This receptor plays a critical role in host defense against pathogens but is also implicated in autoimmune diseases and chronic inflammation.
TLR9 antibodies are essential tools for studying its expression, localization, and function. They enable the detection of TLR9 in tissues or cells through techniques like Western blot, immunohistochemistry, and flow cytometry. Some antibodies block TLR9-CpG DNA interactions, aiding in mechanistic studies of immune activation or inhibition. Commercially available TLR9 antibodies vary in specificity (monoclonal vs. polyclonal) and host species origins, requiring validation for cross-reactivity in experimental models.
Research applications include exploring TLR9's role in autoimmune disorders (e.g., lupus), cancer immunotherapy (as an adjuvant), and infectious diseases. Therapeutic antibodies targeting TLR9 are under investigation to modulate aberrant immune responses. However, challenges remain in ensuring antibody specificity due to structural similarities among TLR family members. Proper controls and functional assays are critical to avoid misinterpretation in experimental outcomes.
×