首页 / 产品 / 抗体 / 一抗

Mouse Monoclonal KDM1A Antibody

  • 中文名: KDM1A抗体
  • 别    名: AOF2; CPRF; KDM1; LSD1; BHC110
货号: IPD31034
Price: ¥1280
数量:
大包装询价

验证与应用

应用及物种
WB 咨询技术 Human,Monkey
IF 咨询技术 Human,Monkey
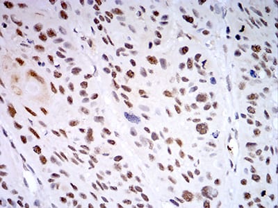
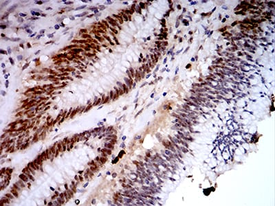
IHC 1/200 - 1/1000 Human,Monkey
ICC 1/200 - 1/1000 Human,Monkey
FCM 1/200 - 1/400 Human,Monkey
Elisa 1/10000 Human,Monkey

产品详情

参考文献

以下是关于KDM1A抗体的3篇参考文献示例(文献名称、作者及摘要概括):

---

1. **文献名称**:*KDM1A/LSD1 regulates the differentiation and maintenance of trophoblast stem cells*

**作者**:Wang, J., et al.

**摘要**:本研究利用KDM1A特异性抗体进行染色质免疫沉淀(ChIP)和Western blot分析,揭示了KDM1A在小鼠滋养层干细胞分化中的关键作用,证明其通过调控组蛋白H3K4me2水平维持干细胞多能性。

---

2. **文献名称**:*Targeting KDM1A in cancer: Pharmacological inhibition and therapeutic potential*

**作者**:Hsu, C.C., & Huang, Y.

**摘要**:通过免疫组织化学(IHC)和流式细胞术结合KDM1A抗体,研究发现KDM1A在多种肿瘤中高表达,并验证了其抑制剂在癌症模型中的抗增殖效果,为靶向治疗提供依据。

---

3. **文献名称**:*Characterization of KDM1A antibody specificity in epigenetic profiling*

**作者**:Smith, K.T., et al.

**摘要**:本文系统评估了多种KDM1A抗体的特异性,通过敲除细胞系和肽段竞争实验验证了抗体在免疫沉淀(IP)和免疫荧光(IF)中的可靠性,为表观遗传研究提供工具选择指南。

---

如果需要更多文献或特定研究方向的扩展,请补充说明!

背景信息

The KDM1A antibody is a crucial tool in epigenetic research, targeting the lysine-specific histone demethylase 1A (KDM1A/LSD1), an enzyme pivotal in regulating gene expression. KDM1A, a member of the flavin-dependent amine oxidase family, removes methyl groups from mono- or dimethylated histone H3 at lysine 4 (H3K4me1/2), repressing transcription. It interacts with corepressor complexes like CoREST, influencing cellular processes such as differentiation, proliferation, and apoptosis. Dysregulation of KDM1A is linked to cancers (e.g., leukemia, breast cancer), neurological disorders (e.g., Alzheimer’s), and other diseases, making it a potential therapeutic target. KDM1A antibodies enable detection and quantification of the protein in techniques like Western blotting, immunohistochemistry, and ChIP-seq, aiding studies on its expression, localization, and functional roles. They also support drug development by validating KDM1A inhibitors in preclinical models. As research advances, these antibodies remain vital for unraveling KDM1A's complex regulatory networks and its implications in disease mechanisms, highlighting their dual role as both research tools and assets in therapeutic innovation.

客户数据及评论

折叠内容

大包装询价

×