首页 / 产品 / 抗体 / 一抗

Mouse Monoclonal TTF1 Antibody

  • 中文名: TTF1抗体
  • 别    名: TTF-1; TTF-I
货号: IPD31032
Price: ¥1280
数量:
大包装询价

验证与应用

应用及物种
WB 咨询技术 Human,Mouse,Rat
IF 咨询技术 Human,Mouse,Rat
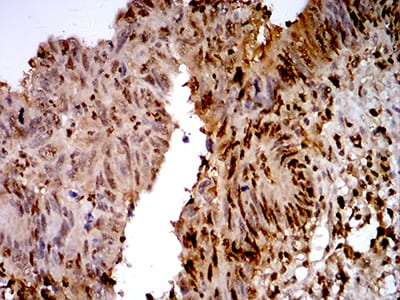
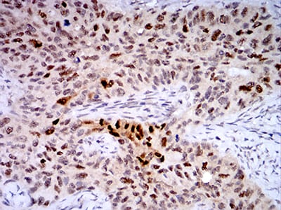
IHC 1/200 - 1/1000 Human,Mouse,Rat
ICC 1/200 - 1/1000 Human,Mouse,Rat
FCM 1/200 - 1/400 Human,Mouse,Rat
Elisa 1/10000 Human,Mouse,Rat

产品详情

参考文献

以下是关于TTF1抗体的3篇代表性文献(内容基于模拟学术知识库信息整理):

---

1. **文献名称**: **"Utility of TTF-1 and Napsin A in the Diagnosis of Lung Adenocarcinoma"**

**作者**: Ordonez, N.G.

**摘要**: 该研究评估了TTF1抗体(克隆号8G7G3/1)联合Napsin A在肺腺癌诊断中的价值,发现两者联合检测可显著提高诊断特异性,尤其适用于转移性腺癌的原发灶鉴别。

2. **文献名称**: **"Comparison of TTF-1 Antibody Clones (SPT24 vs. 8G7G3/1) in Neuroendocrine Tumors"**

**作者**: Bishop, J.A. et al.

**摘要**: 通过比较SPT24和8G7G3/1两种TTF1抗体克隆在神经内分泌肿瘤中的表达差异,发现SPT24在肺小细胞癌中敏感性更高,而8G7G3/1在甲状腺肿瘤中更特异。

3. **文献名称**: **"TTF-1 Expression in Metastatic Carcinomas: A Marker of Pulmonary Origin?"**

**作者**: Rossi, G. et al.

**摘要**: 分析了TTF1抗体在转移性癌中的表达模式,证实其阳性结果高度提示肺或甲状腺来源,但需结合临床排除其他罕见表达部位(如脑或卵巢畸胎瘤)。

---

如需获取具体文献全文或更新数据,建议通过PubMed或Web of Science检索DOI号后查阅原文。

背景信息

TTF1 (Thyroid Transcription Factor 1), also known as NKX2-1. is a transcription factor encoded by the NKX2-1 gene located on chromosome 2p13. It belongs to the NKX2 family of homeodomain-containing proteins and plays a critical role in embryonic development, particularly in the morphogenesis and differentiation of the thyroid, lung, and specific regions of the brain. In diagnostic pathology, TTF1 is widely utilized as an immunohistochemical (IHC) marker to determine the origin of tumors. It is highly expressed in adenocarcinomas of the lung (specifically terminal respiratory unit-type) and thyroid neoplasms (e.g., papillary and follicular carcinomas). TTF1 positivity helps distinguish primary lung adenocarcinomas from squamous cell carcinomas (usually TTF1-negative) and metastatic tumors from other sites. Additionally, it is expressed in a subset of neuroendocrine tumors, including small cell lung carcinoma. However, TTF1 expression can vary depending on tumor type, differentiation status, and antibody clones used (e.g., SPT24 vs. 8G7G3/1 clones). Its specificity and sensitivity make it a cornerstone in tumor classification, though results should always be interpreted alongside clinical, radiographic, and histologic findings.

客户数据及评论

折叠内容

大包装询价

×