| WB | 咨询技术 | Human,Mouse,Rat |
| IF | 咨询技术 | Human,Mouse,Rat |
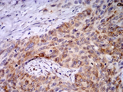
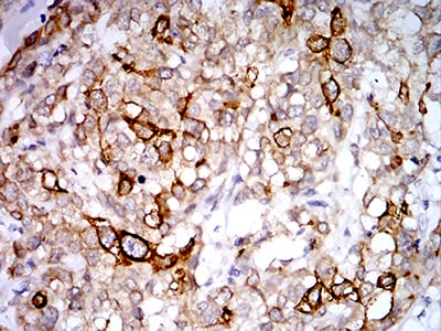
| IHC | 1/200 - 1/1000 | Human,Mouse,Rat |
| ICC | 1/200 - 1/1000 | Human,Mouse,Rat |
| FCM | 1/200 - 1/400 | Human,Mouse,Rat |
| Elisa | 1/10000 | Human,Mouse,Rat |
| Aliases | MPR; HPR6.6 |
| Entrez GeneID | 10857 |
| clone | 7G11G8 |
| WB Predicted band size | 21.7kDa |
| Host/Isotype | Mouse IgG1 |
| Antibody Type | Primary antibody |
| Storage | Store at 4°C short term. Aliquot and store at -20°C long term. Avoid freeze/thaw cycles. |
| Species Reactivity | Human |
| Immunogen | Purified recombinant fragment of human PGRMC1 (AA: 1-195) expressed in E. Coli. |
| Formulation | Purified antibody in PBS with 0.05% sodium azide |
+ +
以下是关于PGRMC1抗体的3篇参考文献,涵盖其功能研究和应用场景:
---
1. **文献名称**: *Progesterone Receptor Membrane Component 1 (PGRMC1) Regulates Ovarian Cancer Proliferation and Motility*
**作者**: Peluso, J.J. et al.
**摘要**: 该研究通过Western blot和免疫组化技术验证了PGRMC1抗体在卵巢癌细胞系中的特异性,发现PGRMC1通过调控细胞周期蛋白影响肿瘤增殖和迁移,抗体应用确认了其在癌症中的高表达。
2. **文献名称**: *PGRMC1 Modulates Chemoresistance and Lipid Metabolism in Breast Cancer Cells*
**作者**: Ahmed, I.S. et al.
**摘要**: 研究利用PGRMC1抗体进行基因敲除验证,证明PGRMC1通过调节脂质代谢通路增强乳腺癌细胞对化疗药物的抵抗,抗体特异性在沉默实验中得到确认。
3. **文献名称**: *PGRMC1 Interaction with Cytochrome P450: Implications for Neurosteroid Synthesis*
**作者**: Cahill, M.A. et al.
**摘要**: 通过免疫共沉淀和免疫荧光技术,研究揭示了PGRMC1与细胞色素P450酶的结合机制,抗体应用证实其在神经类固醇合成中的关键作用,并验证了抗体在脑组织中的反应性。
---
这些文献展示了PGRMC1抗体在癌症、代谢及神经生物学研究中的应用,涵盖Western blot、免疫组化、基因功能验证等场景。
Progesterone Receptor Membrane Component 1 (PGRMC1) is a 21-28 kDa protein belonging to the membrane-associated progesterone receptor (MAPR) family. Initially identified for its role in binding progesterone, PGRMC1 is now recognized as a multifunctional protein involved in diverse cellular processes, including steroidogenesis, cell cycle regulation, apoptosis, and autophagy. It contains a cytochrome b5-like heme-binding domain and interacts with various signaling molecules, such as epidermal growth factor receptor (EGFR) and insulin receptor, influencing cancer progression, drug resistance, and metabolic pathways.
PGRMC1 antibodies are essential tools for studying its expression, localization, and function in both normal and pathological conditions. These antibodies are widely used in techniques like Western blotting, immunohistochemistry (IHC), and immunofluorescence (IF) to detect PGRMC1 in tissues and cell lines. Commercial antibodies are often raised against specific epitopes, such as the N-terminal region (e.g., Sigma-Aldrich's 1D2 clone) or internal sequences (e.g., Abcam's EPR9204). However, variability in antibody specificity has been reported, emphasizing the need for proper validation using knockout controls or siRNA-based silencing.
Elevated PGRMC1 expression is linked to cancers (e.g., breast, ovarian), neurodegenerative diseases, and reproductive disorders, making it a potential therapeutic target. Research using PGRMC1 antibodies continues to unravel its roles in disease mechanisms and cellular homeostasis.
×