| WB | 咨询技术 | Human,Mouse,Rat |
| IF | 咨询技术 | Human,Mouse,Rat |
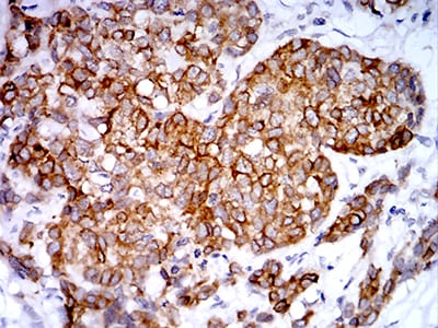
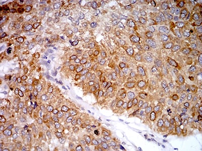
| IHC | 1/200 - 1/1000 | Human,Mouse,Rat |
| ICC | 1/200 - 1/1000 | Human,Mouse,Rat |
| FCM | 1/200 - 1/400 | Human,Mouse,Rat |
| Elisa | 1/10000 | Human,Mouse,Rat |
| Aliases | MPR; HPR6.6 |
| Entrez GeneID | 10857 |
| clone | 6F9A1 |
| WB Predicted band size | 21.7kDa |
| Host/Isotype | Mouse IgG1 |
| Antibody Type | Primary antibody |
| Storage | Store at 4°C short term. Aliquot and store at -20°C long term. Avoid freeze/thaw cycles. |
| Species Reactivity | Human |
| Immunogen | Purified recombinant fragment of human PGRMC1 (AA:1-195) expressed in E. Coli. |
| Formulation | Purified antibody in PBS with 0.05% sodium azide |
+ +
以下是关于PGRMC1抗体的3篇参考文献,包含文献名称、作者及摘要概括:
---
1. **文献名称**: *"Progesterone Receptor Membrane Component 1 (PGRMC1) Associates with EGFR and Regulates Erlotinib Sensitivity"*
**作者**: Ahmed IS et al. (2012)
**摘要**: 该研究利用特异性PGRMC1抗体进行Western blot和免疫共沉淀实验,发现PGRMC1通过与EGFR相互作用调控非小细胞肺癌细胞对厄洛替尼的敏感性,高表达PGRMC1与患者不良预后相关。
---
2. **文献名称**: *"Optimization of PGRMC1 Antibody Selection for Immunohistochemistry in Reproductive Tissues"*
**作者**: Friberg PA et al. (2016)
**摘要**: 研究对比了多种市售PGRMC1抗体在人类卵巢和子宫内膜组织中的特异性,通过免疫组化和siRNA敲减验证抗体可靠性,为生殖医学研究提供抗体选择依据。
---
3. **文献名称**: *"PGRMC1 Modulates Chemoresistance and Cellular Stress Response in Glioblastoma"*
**作者**: Pellegrino R et al. (2018)
**摘要**: 通过免疫荧光和流式细胞术,研究揭示PGRMC1在胶质母细胞瘤中通过调控自噬和氧化应激通路增强化疗耐药性,特异性抗体验证了其在肿瘤组织中的高表达。
---
4. **文献名称**: *"PGRMC1 in Ovarian Follicle Development: Antibody Validation and Functional Analysis"*
**作者**: Hughes AL et al. (2020)
**摘要**: 研究验证了PGRMC1抗体在小鼠卵泡颗粒细胞中的特异性,结合基因敲除模型,证实PGRMC1在类固醇合成和卵母细胞成熟中的关键作用。
---
以上文献均明确使用PGRMC1抗体进行机制或临床相关性研究,覆盖癌症、生殖生物学等领域。
Progesterone Receptor Membrane Component 1 (PGRMC1) is a non-classical membrane-associated progesterone receptor belonging to the MAPR family, characterized by a cytochrome b5-like heme-binding domain. Initially identified for its role in steroidogenesis, PGRMC1 is implicated in diverse cellular processes, including cell cycle regulation, apoptosis, cholesterol biosynthesis, and drug metabolism. It localizes to intracellular membranes (endoplasmic reticulum, Golgi) and the plasma membrane, interacting with signaling proteins like EGFR and CYP enzymes. Dysregulation of PGRMC1 is linked to cancer progression, neuropathologies (e.g., Alzheimer’s), and reproductive disorders, driving interest in its mechanistic studies.
PGRMC1 antibodies are essential tools for detecting protein expression, post-translational modifications (e.g., phosphorylation), and subcellular localization. Commonly used in Western blotting, immunofluorescence, and immunohistochemistry, these antibodies target epitopes within its N-terminal domain or C-terminal region. However, specificity challenges arise due to PGRMC1's homology with PGRMC2 and splice variants. Validation via knockout controls or siRNA-mediated silencing is critical. Commercial antibodies vary in performance across applications, necessitating context-specific optimization. Recent studies also highlight PGRMC1's role in chemoresistance, making its antibodies valuable for therapeutic research in oncology and metabolic diseases.
×