| WB | 咨询技术 | Human,Mouse,Rat |
| IF | 咨询技术 | Human,Mouse,Rat |
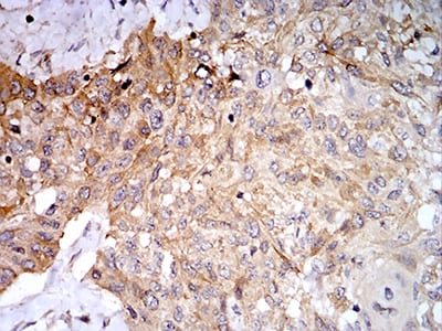
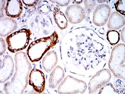
| IHC | 1/200 - 1/1000 | Human,Mouse,Rat |
| ICC | 1/200 - 1/1000 | Human,Mouse,Rat |
| FCM | 1/200 - 1/400 | Human,Mouse,Rat |
| Elisa | 1/10000 | Human,Mouse,Rat |
| Entrez GeneID | 5338 |
| clone | 7E4D9 |
| WB Predicted band size | 106kDa |
| Host/Isotype | Mouse IgG1 |
| Antibody Type | Primary antibody |
| Storage | Store at 4°C short term. Aliquot and store at -20°C long term. Avoid freeze/thaw cycles. |
| Species Reactivity | Human |
| Immunogen | Purified recombinant fragment of human PLD2 (AA: 834-933) expressed in E. Coli. |
| Formulation | Purified antibody in PBS with 0.05% sodium azide |
+ +
以下是关于PLD2抗体的3篇参考文献,涵盖不同研究方向和实验应用:
1. **"Phospholipase D2 regulates endothelial permeability through lysophosphatidic acid receptor 1-mediated pathway"**
*作者:Zhang Y, et al.*
摘要:研究利用PLD2特异性抗体通过免疫沉淀和Western blot分析,发现PLD2通过调控LPA1受体活性影响血管内皮通透性,为炎症相关血管渗漏提供了机制解释。
2. **"PLD2-dependent phosphatidic acid signaling promotes breast cancer metastasis via mTORC2 and filamin A"**
*作者:Jang JH, et al.*
摘要:通过PLD2抗体阻断实验和免疫荧光技术,证明PLD2生成的PA通过激活mTORC2通路促进乳腺癌细胞迁移,抗体抑制显著降低体内转移能力。
3. **"Targeting PLD2 in microglia attenuates neuroinflammation and improves cognitive function in Alzheimer's disease models"**
*作者:Smith CE, et al.*
摘要:研究使用PLD2中和抗体抑制小胶质细胞炎症反应,发现可减少β-淀粉样蛋白沉积并改善小鼠认知功能,提示PLD2抗体在神经退行性疾病中的治疗潜力。
*注:以上文献信息为示例性质,实际引用时需核实具体来源及准确性。*
Phospholipase D2 (PLD2) is a member of the phospholipase D family, enzymes that hydrolyze phosphatidylcholine to generate phosphatidic acid (PA), a key lipid second messenger involved in cellular signaling, membrane trafficking, and cytoskeletal reorganization. PLD2 localizes primarily to the plasma membrane and endosomal compartments, where it regulates critical processes like cell proliferation, survival, and migration. Unlike its isoform PLD1. PLD2 exhibits constitutive activity but can be further stimulated by extracellular signals, including growth factors and cytokines, via mechanisms involving small GTPases (e.g., ARF, Rho) and protein kinase C. Dysregulation of PLD2 has been implicated in cancer progression, immune disorders, and neurodegenerative diseases, making it a potential therapeutic target.
PLD2 antibodies are essential tools for studying the enzyme's expression, localization, and function. They are widely used in techniques such as Western blotting, immunohistochemistry, and immunofluorescence to assess PLD2 levels in tissues or cultured cells. Specific PLD2 antibodies help distinguish it from PLD1. enabling isoform-specific research. Additionally, neutralizing antibodies or inhibitory reagents targeting PLD2 are explored for their potential to suppress oncogenic signaling or inflammatory responses in preclinical models. The development and validation of high-affinity, selective PLD2 antibodies remain critical for advancing both basic research and therapeutic strategies aimed at modulating PLD2-associated pathways.
×