首页 / 产品 / 抗体 / 一抗

Mouse Monoclonal KDM1A Antibody

  • 中文名: KDM1A抗体
  • 别    名: AOF2; CPRF; KDM1; LSD1; BHC110
货号: IPD31022
Price: ¥1280
数量:
大包装询价

验证与应用

应用及物种
WB 咨询技术 Human,Mouse,Rat
IF 咨询技术 Human,Mouse,Rat
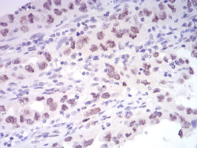
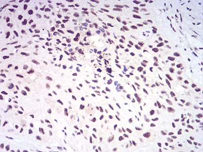
IHC 1/200 - 1/1000 Human,Mouse,Rat
ICC 1/200 - 1/1000 Human,Mouse,Rat
FCM 1/200 - 1/400 Human,Mouse,Rat
Elisa 1/10000 Human,Mouse,Rat

产品详情

AliasesAOF2; CPRF; KDM1; LSD1; BHC110
Entrez GeneID23028
clone3F9D2
WB Predicted band size93kDa
Host/IsotypeMouse IgG1
Antibody TypePrimary antibody
StorageStore at 4°C short term. Aliquot and store at -20°C long term. Avoid freeze/thaw cycles.
Species ReactivityHuman
ImmunogenPurified recombinant fragment of human KDM1A (AA: 55-263) expressed in E. Coli.
FormulationPurified antibody in PBS with 0.05% sodium azide

+ +

参考文献

以下是关于KDM1A抗体的3篇代表性文献摘要,涵盖其功能研究及抗体应用方向:

---

1. **文献名称**:*Selective inhibition of LSD1 by small molecules attenuates leukemia stem cell frequency*

**作者**:Schenk T, et al.

**摘要**:该研究通过开发特异性KDM1A/LSD1抗体,验证了其在急性髓系白血病(AML)干细胞中的高表达,并证明抑制KDM1A可降低白血病干细胞的自我更新能力,为靶向治疗提供了依据。

---

2. **文献名称**:*A covalent inhibitor of KDM1A induces differentiation of acute myeloid leukemia cells*

**作者**:Maiques-Diaz A, et al.

**摘要**:研究者利用KDM1A抗体进行蛋白质互作分析,发现其与转录抑制复合物的结合在AML分化阻滞中起关键作用,并通过共价抑制剂联合抗体检测,证实靶向KDM1A可诱导癌细胞分化。

---

3. **文献名称**:*KDM1A maintains oncogenic integrity of MYCN-driven neuroblastoma*

**作者**:Wang J, et al.

**摘要**:通过免疫沉淀(ChIP-seq)结合KDM1A抗体,揭示了KDM1A在神经母细胞瘤中调控MYCN靶基因的去甲基化机制,抑制其活性可显著抑制肿瘤生长。

---

**扩展方向**:KDM1A抗体常用于表观遗传学机制研究(如染色质修饰、基因沉默)、癌症靶向治疗(如小分子抑制剂开发)及疾病诊断标志物筛选。近期研究还关注其与免疫微环境互作(如调节T细胞功能)。

背景信息

The KDM1A antibody is a crucial tool in epigenetic research, targeting the lysine-specific demethylase 1A (KDM1A/LSD1), a flavin-dependent enzyme that removes methyl groups from histone H3 lysine 4 (H3K4) and lysine 9 (H3K9). Discovered in 2004. KDM1A regulates gene expression by modifying chromatin structure, playing roles in cell differentiation, proliferation, and oncogenesis. It interacts with transcriptional repressors (e.g., CoREST) and activators, enabling context-dependent gene silencing or activation. Dysregulation of KDM1A is linked to cancers, neurological disorders, and developmental defects, making it a therapeutic target.

KDM1A antibodies are widely used in techniques like Western blotting, immunohistochemistry, ChIP-seq, and immunofluorescence to study its expression, localization, and molecular interactions. High-quality antibodies must demonstrate specificity, as KDM1A shares structural homology with other amine oxidases. Validated antibodies help explore its role in stem cell biology, cancer metastasis, and neurodegenerative diseases. Recent studies also highlight its involvement in immune regulation and metabolic pathways.

Commercial KDM1A antibodies are typically raised against epitopes in its N-terminal SWIRM domain, C-terminal amine oxidase domain, or unique peptide sequences. Researchers prioritize antibodies verified in knockout models or siRNA-treated cells to avoid cross-reactivity. As KDM1A inhibitors enter clinical trials, reliable antibodies remain essential for biomarker analysis and mechanistic studies, underscoring their significance in both basic research and translational medicine.

客户数据及评论

折叠内容

大包装询价

×