| WB | 咨询技术 | Human,Mouse,Rat |
| IF | 咨询技术 | Human,Mouse,Rat |
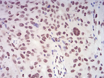
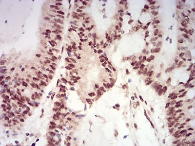
| IHC | 1/200 - 1/1000 | Human,Mouse,Rat |
| ICC | 技术咨询 | Human,Mouse,Rat |
| FCM | 咨询技术 | Human,Mouse,Rat |
| Elisa | 1/10000 | Human,Mouse,Rat |
| Entrez GeneID | 22803 |
| clone | 7C5B10 |
| WB Predicted band size | 108.5kDa |
| Host/Isotype | Mouse IgG1 |
| Antibody Type | Primary antibody |
| Storage | Store at 4°C short term. Aliquot and store at -20°C long term. Avoid freeze/thaw cycles. |
| Species Reactivity | Human |
| Immunogen | Purified recombinant fragment of human XRN2 (AA: 398-547) expressed in E. Coli. |
| Formulation | Purified antibody in PBS with 0.05% sodium azide |
+ +
以下是关于XRN2抗体的3篇代表性文献的简要总结(文献名称、作者及摘要内容):
---
1. **文献名称**:*Human 5'→3' Exonuclease XRN2 Regulates Transcription Termination on Poll II Genes*
**作者**:West S, Gromak N, Proudfoot NJ
**摘要**:该研究利用XRN2特异性抗体进行染色质免疫沉淀(ChIP)和RNA分析,发现XRN2通过降解转录过程中产生的下游RNA,促进RNA聚合酶II的转录终止,揭示了XRN2在基因表达调控中的关键作用。
---
2. **文献名称**:*XRN2 links RNA:DNA hybrid resolution to double-strand break repair pathway choice*
**作者**:Herrera-Moyano E, Mergui X, García-Rubio ML, et al.
**摘要**:通过XRN2抗体进行蛋白质相互作用分析,研究发现XRN2通过解析R环(RNA:DNA hybrids)影响DNA双链断裂修复的路径选择,强调了XRN2在维持基因组稳定性中的功能。
---
3. **文献名称**:*Herpesvirus RNA Decay-promoting Factor ICP27 Bridges XRN2 to Viral RNA to Promote Degradation*
**作者**:Izumi T, Gaglia MM, Wagner R
**摘要**:该研究使用XRN2抗体进行免疫共沉淀和Western blot分析,证明疱疹病毒蛋白ICP27招募宿主外切酶XRN2降解病毒RNA,揭示了病毒劫持宿主RNA降解机制的策略。
---
**备注**:以上文献均为XRN2功能研究的典型案例,涉及抗体在机制探索中的应用。如需具体发表年份或期刊,可进一步补充检索。
The XRN2 antibody is a tool used to study XRN2 (5’-3’ exoribonuclease 2), a conserved eukaryotic enzyme critical for RNA metabolism. XRN2. a member of the XRN family, facilitates 5’-3’ degradation of uncapped RNAs and processes ribosomal RNA precursors. It plays roles in transcription termination, mRNA turnover, and quality control pathways like No-Go Decay. Structurally, XRN2 contains an N-terminal catalytic domain essential for its exonuclease activity and a C-terminal region involved in substrate recognition or cellular localization.
Antibodies targeting XRN2 enable researchers to investigate its expression, localization, and interactions in diverse biological contexts. They are widely used in techniques such as Western blotting, immunoprecipitation, and immunofluorescence to explore XRN2's role in nuclear RNA processing, transcription-coupled decay, and genome stability. Specificity validation, often via knockout cell lines or siRNA knockdown, is critical due to potential cross-reactivity with related proteins like XRN1.
XRN2 dysregulation has been linked to cancer, neurodegenerative diseases, and viral infections, where disrupted RNA homeostasis contributes to pathogenesis. Studies using XRN2 antibodies have shed light on its interplay with RNA polymerase II, helicases, and RNA surveillance complexes. Recent research also implicates XRN2 in resolving R-loops and maintaining telomere integrity, expanding its relevance in DNA repair and aging. The antibody remains vital for unraveling XRN2's multifunctional roles in gene expression and disease mechanisms.
×