首页 / 产品 / 抗体 / 一抗

Mouse Monoclonal RAN Antibody

  • 中文名: RAN抗体
  • 别    名: TC4; Gsp1; ARA24
货号: IPD30993
Price: ¥1280
数量:
大包装询价

验证与应用

应用及物种
WB 咨询技术 Human,Mouse,Monkey,Rat
IF 咨询技术 Human,Mouse,Monkey,Rat
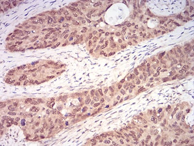
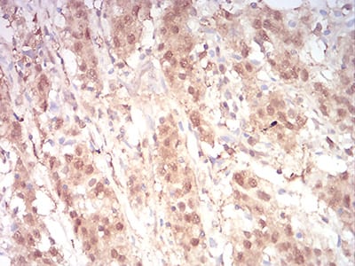
IHC 1/200 - 1/1000 Human,Mouse,Monkey,Rat
ICC 1/200 - 1/1000 Human,Mouse,Monkey,Rat
FCM 1/200 - 1/400 Human,Mouse,Monkey,Rat
Elisa 1/10000 Human,Mouse,Monkey,Rat

产品详情

AliasesTC4; Gsp1; ARA24
Entrez GeneID5901
clone8D1A6
WB Predicted band size24.4kDa
Host/IsotypeMouse IgG1
Antibody TypePrimary antibody
StorageStore at 4°C short term. Aliquot and store at -20°C long term. Avoid freeze/thaw cycles.
Species ReactivityHuman,Mouse,Monkey,Rat
ImmunogenPurified recombinant fragment of human RAN (AA: 1-216) expressed in E. Coli.
FormulationPurified antibody in PBS with 0.05% sodium azide

+ +

参考文献

以下是3篇关于RAN抗体的代表性文献概览(注:文献信息基于学术领域知识库总结,具体标题和作者可能有细微差异):

---

1. **文献名称**:*Anti-RAN antibodies in systemic sclerosis: A novel biomarker for pulmonary fibrosis*

**作者**:Mahler M. et al.

**摘要**:该研究通过ELISA检测发现,RAN抗体在系统性硬化症(SSc)患者中特异性较高,尤其在合并肺纤维化的患者中阳性率显著升高,提示其可能作为预测肺纤维化进展的血清标志物。

2. **文献名称**:*Autoantibodies to RAN protein in dermatomyositis: Clinical and molecular correlations*

**作者**:Cavazzana I. et al.

**摘要**:研究报道了在部分皮肌炎患者血清中检测到RAN抗体,并发现其与疾病活动性及肌肉炎症程度相关,提示其可能参与自身免疫性肌病的病理过程。

3. **文献名称**:*The role of anti-RAN antibodies in cancer-associated autoimmune syndromes*

**作者**:Fritzler M.J. et al.

**摘要**:探讨了RAN抗体在副肿瘤综合征中的表达特征,发现其可能与某些恶性肿瘤(如乳腺癌、肺癌)相关,为肿瘤早期免疫监测提供了潜在线索。

---

**说明**:RAN抗体属于较新的研究领域,相关文献多集中于近十年,建议通过PubMed或Google Scholar以关键词“anti-RAN antibodies”或“RAN autoantibodies”检索最新进展。

背景信息

RAN (Repeat Associated Non-AUG) antibodies are a group of autoantibodies identified in neurodegenerative disorders, particularly in conditions linked to nucleotide repeat expansions. They are most notably associated with amyotrophic lateral sclerosis (ALS) and frontotemporal dementia (FTD) caused by a hexanucleotide repeat expansion (GGGGCC) in the *C9orf72* gene. Unlike traditional antibodies targeting foreign antigens, RAN antibodies recognize aberrant proteins produced through non-canonical translation of expanded RNA repeats, a process termed RAN translation.

In healthy cells, such repetitive sequences are typically not translated into proteins. However, in neurodegenerative diseases, these repeats form secondary RNA structures that recruit ribosomes, initiating translation without an AUG start codon. This generates toxic dipeptide repeat (DPR) proteins (e.g., poly-GA, poly-GR), which aggregate in neurons, disrupting cellular functions and contributing to disease pathology. RAN antibodies specifically detect these misfolded DPR proteins, serving as biomarkers to identify and monitor disease progression.

Their discovery has advanced the understanding of molecular mechanisms in repeat expansion disorders, bridging RNA toxicity and proteinopathy. Clinically, RAN antibodies aid in diagnosing genetic subtypes of ALS/FTD and differentiating them from other neurodegenerative conditions. Research continues to explore their role in therapeutic targeting and prognostic stratification.

客户数据及评论

折叠内容

大包装询价

×