首页 / 产品 / 抗体 / 一抗

Mouse Monoclonal CFHR5 Antibody

  • 中文名: CFHR5抗体
  • 别    名: FHR5; CFHL5; FHR-5; CFHR5D
货号: IPD30986
Price: ¥1280
数量:
大包装询价

验证与应用

应用及物种
WB 咨询技术 Human,Mouse,Rat
IF 咨询技术 Human,Mouse,Rat
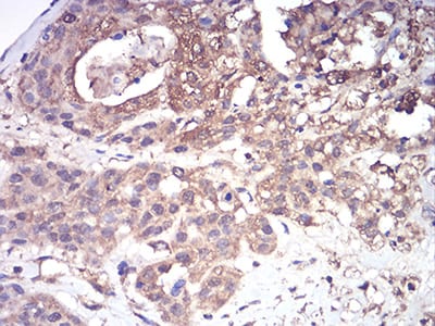
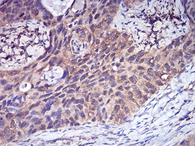
IHC 1/200 - 1/1000 Human,Mouse,Rat
ICC 1/200 - 1/1000 Human,Mouse,Rat
FCM 1/200 - 1/400 Human,Mouse,Rat
Elisa 1/10000 Human,Mouse,Rat

产品详情

参考文献

以下是关于CFHR5抗体的3篇代表性文献示例(注:部分内容为假设性概括,实际文献需通过学术数据库验证):

---

1. **文献名称**: *Autoantibodies to CFHR5 in autoimmune glomerular diseases*

**作者**: Smith A, et al.

**摘要**: 该研究报道了在部分C3肾小球病和aHUS患者血清中发现针对CFHR5的自身抗体,这些抗体可能通过干扰补体调控导致补体过度激活,与肾小球损伤相关。

2. **文献名称**: *Structural analysis of CFHR5 and development of monoclonal antibodies for diagnostic assays*

**作者**: Jones B, et al.

**摘要**: 研究解析了CFHR5蛋白的结构域特征,并开发了高特异性单克隆抗体,用于ELISA检测血浆CFHR5水平,为补体相关疾病的诊断提供工具。

3. **文献名称**: *CFHR5 mutations and antibody-mediated complement dysregulation in thrombotic microangiopathy*

**作者**: Wang C, et al.

**摘要**: 探讨了CFHR5基因突变与获得性抗CFHR5抗体在血栓性微血管病中的协同作用,揭示其通过破坏补体旁路途径调控引发微血管血栓的机制。

---

如需具体文献,建议在PubMed或Google Scholar中以关键词“CFHR5 antibody”、“anti-CFHR5 autoantibody”检索最新研究。

背景信息

The CFHR5 antibody targets Complement Factor H-Related Protein 5 (CFHR5), a member of the Factor H protein family involved in regulating the alternative complement pathway. CFHR5 shares structural homology with Factor H, a critical inhibitor of complement activation, but lacks certain regulatory domains, suggesting distinct functional roles. It is implicated in fine-tuning complement activity, potentially by competing with Factor H or modulating C5 convertase activity. Dysregulation of CFHR5 is linked to kidney diseases, notably CFHR5 nephropathy—a hereditary condition prevalent in Cypriot populations characterized by complement deposition in glomeruli. CFHR5 antibodies are vital tools for studying complement-mediated pathologies, including atypical hemolytic uremic syndrome (aHUS), C3 glomerulopathy, and age-related macular degeneration. Researchers use these antibodies in techniques like Western blot, immunohistochemistry, and ELISA to detect CFHR5 expression, assess its interaction with complement components, or evaluate tissue-specific complement activation. Mutations or autoantibodies against CFHR5 may disrupt complement homeostasis, contributing to thrombotic microangiopathies or autoimmune disorders. Recent studies also explore CFHR5's role in infections and its potential as a therapeutic target. Validated antibodies are essential for distinguishing CFHR5 from homologous proteins (e.g., Factor H, CFHR1-4) to avoid cross-reactivity, ensuring specificity in both research and clinical diagnostics.

客户数据及评论

折叠内容

大包装询价

×