首页 / 产品 / 抗体 / 一抗

Mouse Monoclonal SERPINA1 Antibody

  • 中文名: SERPINA1抗体
  • 别    名: PI; A1A; AAT; PI1; A1AT; PRO2275; alpha1AT
货号: IPD30982
Price: ¥1280
数量:
大包装询价

验证与应用

应用及物种
WB 咨询技术 Human,Mouse,Rat
IF 咨询技术 Human,Mouse,Rat
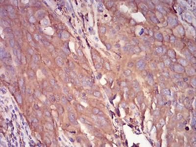
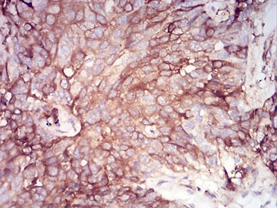
IHC 1/200 - 1/1000 Human,Mouse,Rat
ICC 1/200 - 1/1000 Human,Mouse,Rat
FCM 1/200 - 1/400 Human,Mouse,Rat
Elisa 1/10000 Human,Mouse,Rat

产品详情

参考文献

以下是3篇关于SERPINA1(α1-抗胰蛋白酶,AAT)抗体的代表性文献摘要:

---

1. **文献名称**:*Autoantibodies to SerpinA1 in Patients with Chronic Obstructive Pulmonary Disease*

**作者**:Kalsheker N, et al.

**摘要**:研究报道COPD患者血清中存在针对SERPINA1蛋白的自身抗体,通过ELISA和Western blot验证抗体特异性,提示其可能与AAT功能异常导致的肺部炎症进展相关。

---

2. **文献名称**:*Alpha-1 Antitrypsin Deficiency Detection Using a Novel Monoclonal Antibody-Based Immunoassay*

**作者**:Greene CM, et al.

**摘要**:开发了一种基于单克隆抗体的高灵敏度免疫检测方法,用于诊断SERPINA1基因突变引起的AAT缺乏症,验证了抗体在区分突变型和野生型AAT中的特异性。

---

3. **文献名称**:*Immunohistochemical Analysis of SERPINA1 in Liver Fibrosis: Correlation with Disease Severity*

**作者**:Fregonese L, et al.

**摘要**:利用SERPINA1多克隆抗体对肝组织进行免疫组化分析,发现AAT在肝纤维化患者中异常聚集,且表达水平与纤维化严重程度呈正相关,提示其在肝病中的病理作用。

---

这些文献涵盖了SERPINA1抗体在疾病机制研究、诊断技术开发及病理分析中的应用。如需具体文章,建议通过PubMed或期刊数据库检索标题获取全文。

背景信息

The SERPINA1 gene encodes alpha-1 antitrypsin (AAT), a serine protease inhibitor primarily synthesized in the liver and released into the bloodstream. AAT plays a critical role in protecting tissues, particularly the lungs, from damage caused by neutrophil-derived enzymes like elastase. SERPINA1 antibodies are tools used to detect and study this protein in research and diagnostic contexts. Inherited mutations in SERPINA1 can lead to alpha-1 antitrypsin deficiency (AATD), a condition associated with reduced AAT levels or dysfunctional protein. This deficiency predisposes individuals to lung diseases (e.g., emphysema) and liver disorders due to uncontrolled protease activity or toxic protein aggregation in hepatocytes. SERPINA1 antibodies are essential for diagnosing AATD through immunoassays, monitoring AAT levels in replacement therapies, and investigating disease mechanisms. They also aid in studying AAT's broader roles, including its anti-inflammatory, immunomodulatory, and antimicrobial properties, which are relevant to conditions like chronic obstructive pulmonary disease (COPD), liver cirrhosis, and autoimmune disorders. Additionally, these antibodies support research into AAT's potential therapeutic applications beyond AATD, such as in diabetes or ischemia-reperfusion injury. Commercial SERPINA1 antibodies vary in specificity, targeting different epitopes or post-translational modifications.

客户数据及评论

折叠内容

大包装询价

×