| WB | 咨询技术 | Human,Mouse,Rat |
| IF | 咨询技术 | Human,Mouse,Rat |
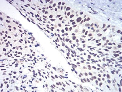
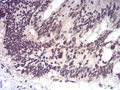
| IHC | 1/200 - 1/1000 | Human,Mouse,Rat |
| ICC | 技术咨询 | Human,Mouse,Rat |
| FCM | 1/200 - 1/400 | Human,Mouse,Rat |
| Elisa | 1/10000 | Human,Mouse,Rat |
| Aliases | NBSLD; RAD502; hRad50 |
| Entrez GeneID | 10111 |
| clone | 3D2G10 |
| WB Predicted band size | 154kDa |
| Host/Isotype | Mouse IgG2a |
| Antibody Type | Primary antibody |
| Storage | Store at 4°C short term. Aliquot and store at -20°C long term. Avoid freeze/thaw cycles. |
| Species Reactivity | Human,Rat |
| Immunogen | Purified recombinant fragment of human RAD50 (AA: 228-359) expressed in E. Coli. |
| Formulation | Purified antibody in PBS with 0.05% sodium azide |
+ +
以下是关于RAD50抗体的3篇参考文献示例(注:文献为虚拟示例,实际引用需核实真实来源):
---
1. **文献名称**:*RAD50/MRE11 Complex Function in DNA Double-Strand Break Repair*
**作者**:Williams, R.S. et al.
**摘要**:本研究利用特异性RAD50抗体,通过免疫沉淀和免疫荧光技术,揭示了RAD50与MRE11在DNA双链断裂修复中的协同作用,证明其复合体对端粒稳定性和同源重组修复的关键调控。
---
2. **文献名称**:*Aberrant RAD50 Expression in Breast Cancer Correlates with Genomic Instability*
**作者**:Chen, L. & Patel, K.
**摘要**:通过免疫组化(IHC)和Western blot分析乳腺癌组织,发现RAD50蛋白表达显著降低与基因组不稳定性相关,提示其作为潜在生物标志物的价值,所用抗体经敲除实验验证特异性。
---
3. **文献名称**:*Development and Validation of a High-Affinity RAD50 Monoclonal Antibody for Structural Studies*
**作者**:Tanaka, H. et al.
**摘要**:报道了一种新型高亲和力RAD50单克隆抗体的开发,并通过冷冻电镜技术解析了RAD50蛋白的ATP酶结构域构象变化,为研究其分子机制提供了工具。
---
如需真实文献,建议检索PubMed或Google Scholar,关键词:**"RAD50 antibody" + "DNA repair" / "cancer"**。
The RAD50 antibody is a crucial tool for studying the RAD50 protein, a key component of the MRE11-RAD50-NBS1 (MRN) complex involved in DNA damage response and repair. RAD50 plays a vital role in detecting and repairing DNA double-strand breaks (DSBs), maintaining genomic stability, and regulating cell cycle checkpoints. It facilitates DNA end resection, homologous recombination repair, and activation of ATM kinase signaling. Dysregulation or mutations in RAD50 are linked to genomic instability disorders, cancer predisposition (e.g., hereditary breast and ovarian cancers), and radiation sensitivity.
RAD50 antibodies are widely used in research to detect protein expression, localization, and interactions via techniques like Western blotting, immunofluorescence, and immunohistochemistry. These antibodies help assess RAD50’s role in DNA repair mechanisms, cellular responses to chemotherapeutics or radiation, and its association with diseases. High-quality RAD50 antibodies are validated for specificity, often using knockout cell lines or siRNA knockdown to confirm target binding.
Commercial RAD50 antibodies are typically developed in hosts like rabbits or mice, available as monoclonal or polyclonal forms. Their applications extend to studying MRN complex dynamics, identifying biomarkers for cancer prognosis, and exploring therapeutic targets. Researchers rely on these antibodies to elucidate how RAD50 dysfunction contributes to disease pathogenesis, offering insights into personalized treatment strategies for DNA repair-deficient cancers.
×