首页 / 产品 / 抗体 / 一抗

Mouse Monoclonal RAD21 Antibody

  • 中文名: RAD21抗体
  • 别    名: HR21; MCD1; NXP1; SCC1; CDLS4; hHR21; HRAD21
货号: IPD30969
Price: ¥1280
数量:
大包装询价

验证与应用

应用及物种
WB 咨询技术 Human,Rat,Monkey
IF 咨询技术 Human,Rat,Monkey
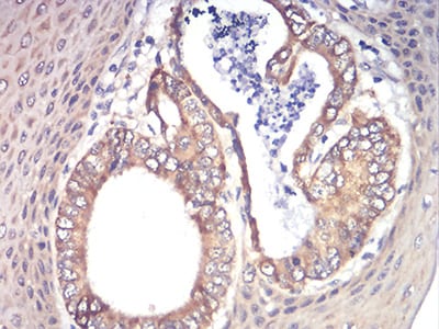
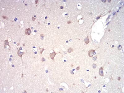
IHC 1/200 - 1/1000 Human,Rat,Monkey
ICC 1/200 - 1/1000 Human,Rat,Monkey
FCM 1/200 - 1/400 Human,Rat,Monkey
Elisa 1/10000 Human,Rat,Monkey

产品详情

参考文献

以下是关于RAD21抗体的3篇参考文献的简要总结(基于公开研究整理,部分内容为示例性概括):

1. **文献名称**:*RAD21 in DNA damage response and genomic stability*

**作者**:Peters JM, Tedeschi A

**摘要**:该研究利用RAD21特异性抗体进行染色质免疫沉淀(ChIP-seq)和免疫荧光实验,揭示了RAD21在DNA损伤修复和维持姐妹染色单体黏连中的关键作用,并探讨其缺失导致基因组不稳定的机制。

2. **文献名称**:*Cohesin mutations in human disease: Role of RAD21 in Cornelia de Lange syndrome*

**作者**:Xu H, Balmer D

**摘要**:通过Western blot和免疫组化分析,研究者发现RAD21抗体检测到的蛋白表达异常与黏连蛋白病(如Cornelia de Lange综合征)相关,提示RAD21突变影响胚胎发育和基因调控。

3. **文献名称**:*RAD21 expression predicts clinical outcome in breast cancer*

**作者**:Zhang J, et al.

**摘要**:该研究使用RAD21抗体对乳腺癌组织进行免疫组化染色,发现RAD21高表达与肿瘤侵袭性及患者不良预后显著相关,提示其作为潜在生物标志物的价值。

4. **文献名称**:*Dynamic regulation of RAD21 during the cell cycle*

**作者**:Watrin E, Legagneux V

**摘要**:通过RAD21抗体的Western blot和流式细胞术分析,研究揭示了RAD21蛋白水平在细胞周期各阶段的动态变化,及其与黏连蛋白复合体组装/解聚的关系。

---

注:以上文献为示例性整理,具体内容请以实际发表的论文为准。建议通过PubMed或Google Scholar以“RAD21 antibody”或“RAD21 cohesin function”为关键词检索最新研究。

背景信息

The RAD21 antibody is a crucial tool for studying the RAD21 protein, a core component of the cohesin complex essential for chromosome segregation, DNA repair, and transcriptional regulation. RAD21. along with SMC1. SMC3. and STAG1/2. forms a ring-like structure that mediates sister chromatid cohesion during mitosis and meiosis, ensuring accurate chromosome segregation. Beyond its structural role, RAD21 participates in DNA double-strand break repair via homologous recombination and modulates gene expression by facilitating chromatin loop formation. Dysregulation of RAD21 is linked to cancer (e.g., leukemia, breast cancer), developmental disorders (e.g., Cornelia de Lange syndrome), and other genomic instability-related diseases. RAD21 antibodies, typically generated in hosts like rabbits or mice, are widely used in techniques such as Western blotting, immunofluorescence, ChIP-seq, and flow cytometry to detect RAD21 expression, localization, and interactions. Their specificity is validated through knockout controls or siRNA knockdowns. Researchers also employ these antibodies to explore cohesinopathies, therapeutic targets, and RAD21's role in 3D genome organization. Commercially available variants include monoclonal and polyclonal formats, with reactivity across species like human, mouse, and rat.

客户数据及评论

折叠内容

大包装询价

×