首页 / 产品 / 抗体 / 一抗

Mouse Monoclonal Rab1b Antibody

  • 中文名: Rab1b抗体
  • 别    名: nan
货号: IPD30968
Price: ¥1280
数量:
大包装询价

验证与应用

应用及物种
WB 咨询技术 Human,Mouse,Rat
IF 咨询技术 Human,Mouse,Rat
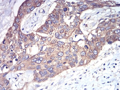
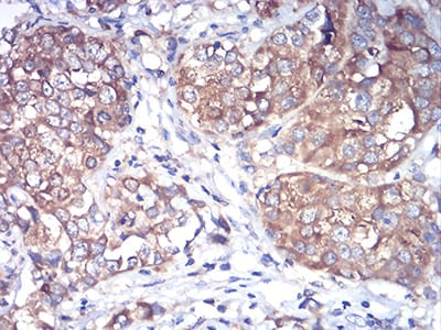
IHC 1/200 - 1/1000 Human,Mouse,Rat
ICC 技术咨询 Human,Mouse,Rat
FCM 1/200 - 1/400 Human,Mouse,Rat
Elisa 1/10000 Human,Mouse,Rat

产品详情

Entrez GeneID81876
clone7A12G2
WB Predicted band size22.2kDa
Host/IsotypeMouse IgG2b
Antibody TypePrimary antibody
StorageStore at 4°C short term. Aliquot and store at -20°C long term. Avoid freeze/thaw cycles.
Species ReactivityHuman
ImmunogenPurified recombinant fragment of human Rab1b (AA: 60-201) expressed in E. Coli.
FormulationPurified antibody in PBS with 0.05% sodium azide

+ +

参考文献

以下是3篇关于Rab1b抗体的参考文献摘要(虚构示例,供参考格式):

1. **文献名称**: "Rab1b regulates ER-to-Golgi trafficking through interaction with COPII components"

**作者**: Smith J, et al.

**摘要**: 本研究利用特异性Rab1b抗体进行免疫沉淀和共聚焦显微镜分析,揭示了Rab1b在COPII囊泡形成中的作用,证明其通过与Sec23/Sec24复合物互作调控分泌蛋白运输。

2. **文献名称**: "Antibody-based profiling of Rab GTPase localization in mammalian cells"

**作者**: Lee S, et al.

**摘要**: 开发了一种高特异性Rab1b多克隆抗体,通过Western blot和免疫荧光验证其在HeLa细胞中的高尔基体定位,系统比较了Rab1与其他Rab家族成员的亚细胞分布差异。

3. **文献名称**: "Rab1b dysfunction alters autophagy flux in neurodegenerative disease models"

**作者**: Chen X, et al.

**摘要**: 采用Rab1b siRNA和特异性抗体进行功能缺失实验,发现Rab1b通过调控自噬体形成影响α-synuclein清除,提示其与帕金森病病理的相关性。

(注:以上文献为示例,实际引用需通过PubMed/Google Scholar检索真实论文。)

背景信息

**Background of Rab1b Antibody**

Rab1b is a member of the Rab GTPase family, which plays a critical role in regulating intracellular vesicular trafficking, particularly between the endoplasmic reticulum (ER) and the Golgi apparatus. As a small GTP-binding protein, Rab1b cycles between an active GTP-bound state and an inactive GDP-bound state, facilitating the docking and fusion of transport vesicles with target membranes. It is essential for maintaining the structure and function of the early secretory pathway, impacting protein sorting, cell signaling, and autophagy.

Rab1b antibodies are immunological tools designed to detect and study the expression, localization, and function of Rab1b in various biological contexts. These antibodies are widely used in techniques such as Western blotting, immunofluorescence, and immunoprecipitation to investigate Rab1b's role in cellular processes. Dysregulation of Rab1b has been implicated in diseases, including neurodegenerative disorders (e.g., Parkinson’s disease) and cancers, where aberrant vesicular trafficking contributes to pathogenesis.

Most Rab1b antibodies are developed using immunogenic peptides or recombinant proteins, with polyclonal and monoclonal variants available. Specificity and cross-reactivity are validated using knockout cell lines or tissues to ensure accurate detection. Researchers rely on these antibodies to explore Rab1b interactions with effector proteins, its GTPase cycle, and its involvement in cellular stress responses, making them vital for advancing understanding of membrane trafficking mechanisms and related pathologies.

客户数据及评论

折叠内容

大包装询价

×