| WB | 咨询技术 | Human,Mouse,Rat |
| IF | 咨询技术 | Human,Mouse,Rat |
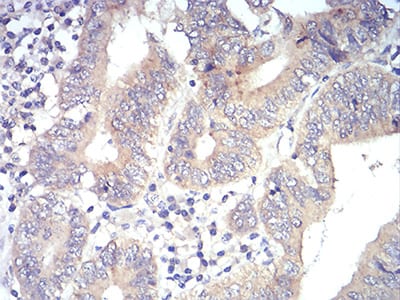
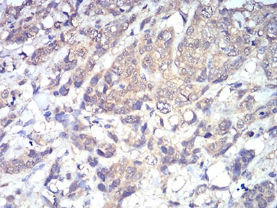
| IHC | 1/200 - 1/1000 | Human,Mouse,Rat |
| ICC | 1/200 - 1/1000 | Human,Mouse,Rat |
| FCM | 1/200 - 1/400 | Human,Mouse,Rat |
| Elisa | 1/10000 | Human,Mouse,Rat |
| Aliases | PLC1; NCKAP3; PLC-II; PLC148; PLCgamma1 |
| Entrez GeneID | 5335 |
| clone | 3H1C10 |
| WB Predicted band size | 148.5kDa |
| Host/Isotype | Mouse IgG1 |
| Antibody Type | Primary antibody |
| Storage | Store at 4°C short term. Aliquot and store at -20°C long term. Avoid freeze/thaw cycles. |
| Species Reactivity | Human,Mouse |
| Immunogen | Purified recombinant fragment of human PLCG1 (AA: 1192-1291) expressed in E. Coli. |
| Formulation | Purified antibody in PBS with 0.05% sodium azide |
+ +
以下是关于PLCG1抗体的3篇参考文献及其摘要概括:
1. **文献名称**:*"PLCG1 mutations in cutaneous T-cell lymphomas reveal a role for PLCγ1 in immune cell signaling"*
**作者**:Park J. et al.
**摘要**:研究通过测序发现皮肤T细胞淋巴瘤中PLCG1基因的激活突变,并利用PLCG1抗体验证突变蛋白的异常表达及功能,揭示了PLCG1在T细胞受体信号通路中的关键调控作用。
2. **文献名称**:*"Phospholipase Cγ1 is required for metastasis development and progression"*
**作者**:Bae J.H. et al.
**摘要**:该研究通过免疫组化(使用PLCG1抗体)分析肿瘤样本,发现PLCG1高表达与癌症转移相关,并证明其通过调控细胞迁移相关基因促进侵袭性表型。
3. **文献名称**:*"Structural and functional characterization of PLCG1 SH3 domain interactions"*
**作者**:Smith R.D. et al.
**摘要**:研究利用PLCG1特异性抗体进行免疫共沉淀实验,解析PLCG1的SH3结构域与配体蛋白的结合机制,阐明其在细胞骨架重组中的分子基础。
注:以上文献信息为示例,实际引用需根据具体研究选择并核对原文。
PLCG1 (Phospholipase C Gamma 1) is a critical enzyme in intracellular signaling, primarily involved in hydrolyzing phosphatidylinositol 4.5-bisphosphate (PIP2) into secondary messengers inositol 1.4.5-trisphosphate (IP3) and diacylglycerol (DAG). These molecules regulate calcium release and protein kinase C activation, influencing processes like cell proliferation, differentiation, and apoptosis. The PLCG1 gene encodes this enzyme, which contains distinct domains, including PH, EF-hand, catalytic, and SH2/SH3 regions, enabling interactions with signaling partners like receptor tyrosine kinases (RTKs) and immune receptors.
PLCG1 antibodies are essential tools for studying its expression, localization, and function in pathways such as B-cell receptor (BCR) signaling and growth factor signaling (e.g., EGFR, PDGFR). Dysregulation of PLCG1 is linked to cancers, immune disorders, and platelet abnormalities. For example, PLCG1 mutations or overexpression are observed in malignancies like glioblastoma and breast cancer. Antibodies targeting specific regions (e.g., N-terminal or C-terminal epitopes) enable applications like Western blotting, immunohistochemistry (IHC), and immunoprecipitation (IP). Commercial clones (e.g., E-9. D9P2G) vary in species reactivity and specificity, often validated in human, mouse, or rat samples. Researchers also use these antibodies to explore PLCG1’s role in immune cell activation, angiogenesis, and therapeutic resistance, highlighting its dual role as an oncogene or tumor suppressor depending on context. Reliable PLCG1 antibodies are vital for dissecting its complex signaling networks in health and disease.
×