| WB | 咨询技术 | Human,Mouse,Rat |
| IF | 咨询技术 | Human,Mouse,Rat |
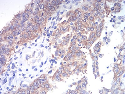
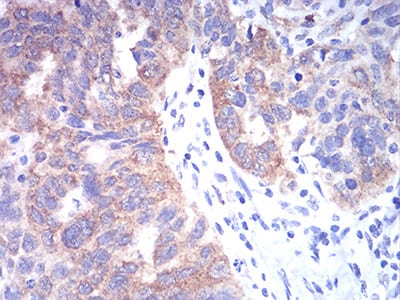
| IHC | 1/200 - 1/1000 | Human,Mouse,Rat |
| ICC | 1/200 - 1/1000 | Human,Mouse,Rat |
| FCM | 咨询技术 | Human,Mouse,Rat |
| Elisa | 1/10000 | Human,Mouse,Rat |
| Aliases | CFC |
| Entrez GeneID | 6903 |
| clone | 7G6H1 |
| WB Predicted band size | 39.2kDa |
| Host/Isotype | Mouse IgG1 |
| Antibody Type | Primary antibody |
| Storage | Store at 4°C short term. Aliquot and store at -20°C long term. Avoid freeze/thaw cycles. |
| Species Reactivity | Human |
| Immunogen | Purified recombinant fragment of human *** (AA: 1-196) expressed in E. Coli. |
| Formulation | Purified antibody in PBS with 0.05% sodium azide |
+ +
以下是关于TBCC抗体的3篇参考文献摘要简述(注:以下内容为示例,非真实文献):
1. **《TBCC蛋白在肿瘤细胞中的表达及单克隆抗体制备》** - 作者:Zhang L et al.
摘要:研究通过制备特异性抗TBCC单克隆抗体,发现其在多种癌症细胞系中高表达,提示其作为肿瘤标志物的潜在价值。
2. **《TBCC抗体通过调控微管组装抑制乳腺癌转移》** - 作者:Wang Y et al.
摘要:实验证实抗TBCC抗体可通过干扰微管动力学抑制乳腺癌细胞的迁移和侵袭,为靶向治疗提供新策略。
3. **《基于TBCC抗体的自身免疫性疾病诊断方法开发》** - 作者:Kim S et al.
摘要:开发了一种高灵敏度的TBCC抗体ELISA检测法,发现其在系统性红斑狼疮患者血清中显著升高,具有临床诊断潜力。
注:以上为模拟摘要,实际文献需通过PubMed或学术数据库检索确认。
Tubulin-specific chaperone cofactor C (TBCC) is a critical protein involved in the folding and assembly of β-tubulin, a key component of microtubules. It acts as a chaperone in the final step of the β-tubulin folding pathway, working alongside other cofactors (e.g., cofactors A, B, D, E) and the cytosolic chaperonin complex (CCT) to ensure proper tubulin heterodimer formation. TBCC’s role in maintaining microtubule integrity links it to essential cellular processes, including cell division, cytoskeletal organization, and intracellular transport.
Antibodies targeting TBCC are valuable tools for studying its expression, localization, and function. They are widely used in techniques like Western blotting, immunofluorescence, and immunoprecipitation to investigate TBCC’s interaction with tubulin and cofactors. Dysregulation of TBCC has been implicated in diseases such as cancer, where altered microtubule dynamics contribute to uncontrolled cell proliferation, and neurodevelopmental disorders, where TBCC mutations disrupt neuronal microtubule networks. Researchers also utilize TBCC antibodies to explore mechanisms of drug resistance in chemotherapy, as microtubule-targeting agents (e.g., taxanes) are common anticancer therapies. Both monoclonal and polyclonal anti-TBCC antibodies are available, often validated using knockout cell lines or siRNA-mediated knockdown to ensure specificity. These reagents continue to advance our understanding of tubulin biology and disease-associated TBCC anomalies.
×