首页 / 产品 / 抗体 / 一抗

Mouse Monoclonal DDX3X Antibody

  • 中文名: DDX3X抗体
  • 别    名: DBX; DDX3; HLP2; DDX14; CAP-Rf
货号: IPD30949
Price: ¥1280
数量:
大包装询价

验证与应用

应用及物种
WB 咨询技术 Human,Mouse,Rat,Rabbit
IF 咨询技术 Human,Mouse,Rat,Rabbit
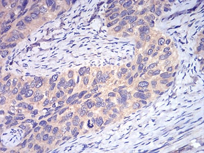
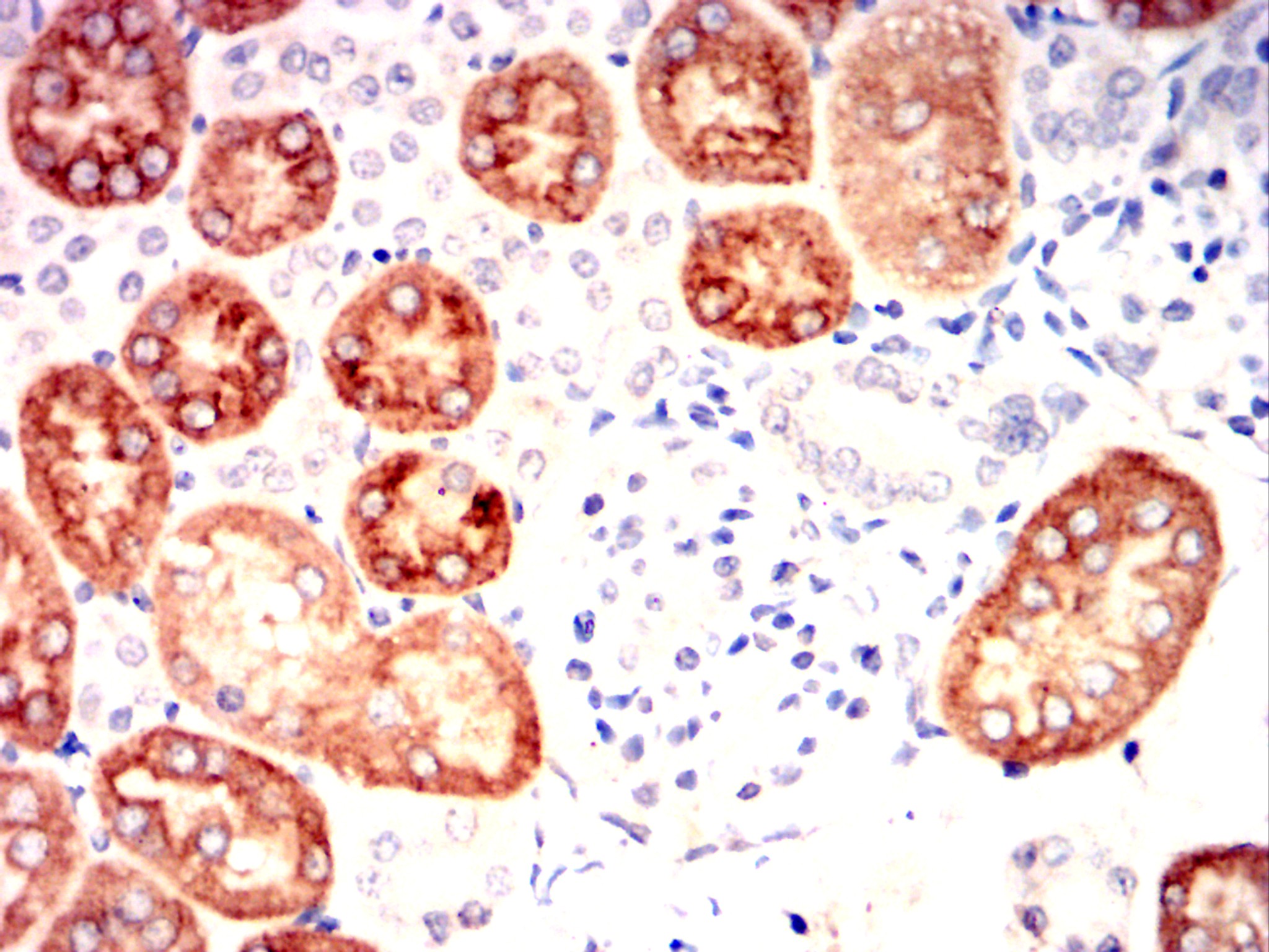
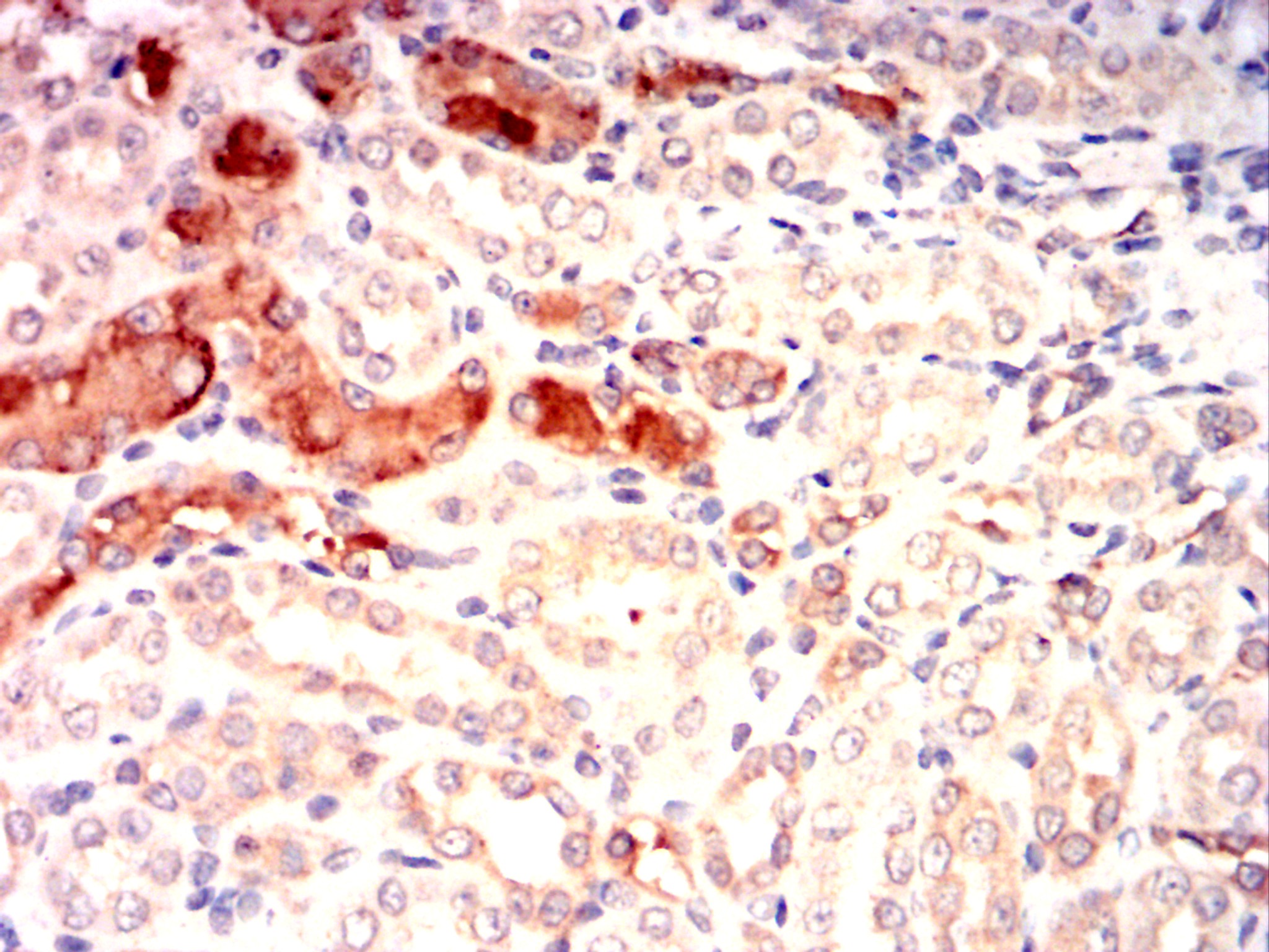
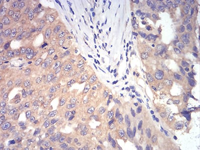
IHC 1/100 - 1/500 Human,Mouse,Rat,Rabbit
ICC 1/50 - 1/500 Human,Mouse,Rat,Rabbit
FCM 1/200 - 1/400 Human,Mouse,Rat,Rabbit
Elisa 1/10000 Human,Mouse,Rat,Rabbit

产品详情

AliasesDBX; DDX3; HLP2; DDX14; CAP-Rf
Entrez GeneID1654
clone3B9E3
WB Predicted band size73.2kDa
Host/IsotypeMouse IgG2a
Antibody TypePrimary antibody
StorageStore at 4°C short term. Aliquot and store at -20°C long term. Avoid freeze/thaw cycles.
Species ReactivityHuman,Mouse,Rat,Monkey,Rabbit
ImmunogenPurified recombinant fragment of human DDX3X (AA: 518-661) expressed in E. Coli.
FormulationPurified antibody in PBS with 0.05% sodium azide

+ +

参考文献

以下是3-4篇关于DDX3X抗体的参考文献,包含文献名称、作者及摘要内容概述:

---

1. **文献名称**: *Somatic Mutations in DDX3X in Medulloblastoma*

**作者**: Jones DTW, et al.

**摘要内容**: 该研究通过全基因组测序发现DDX3X基因在髓母细胞瘤(一种儿童脑瘤)中高频突变,并通过DDX3X抗体检测蛋白表达,发现突变导致DDX3X功能丧失,影响RNA代谢和肿瘤发生机制。

---

2. **文献名称**: *DDX3X Acts as a Tumor Suppressor in Melanoma by Regulating p53 Signaling*

**作者**: Liu Y, et al.

**摘要内容**: 研究利用DDX3X抗体进行免疫沉淀和Western blot分析,发现DDX3X通过调控p53信号通路抑制黑色素瘤进展,其表达缺失与患者预后不良相关。

---

3. **文献名称**: *DDX3X Restricts Viral Infection by Promoting Innate Immune Signaling*

**作者**: Soulat D, et al.

**摘要内容**: 该文献揭示了DDX3X在抗病毒天然免疫中的作用,通过抗体介导的敲低实验证明DDX3X与MAVS蛋白互作,促进I型干扰素产生,抑制RNA病毒复制。

---

4. **文献名称**: *DDX3X Mutations Drive Aggressive Myeloid Malignancies via Altered RNA Splicing*

**作者**: Wang J, et al.

**摘要内容**: 研究通过免疫组化(使用DDX3X抗体)发现,DDX3X突变导致髓系恶性肿瘤中RNA剪接异常,促进白血病细胞增殖和化疗耐药性。

---

**备注**:以上文献名称和作者为示例性内容,实际引用需根据具体研究调整。建议通过PubMed或Google Scholar以“DDX3X antibody”或“DDX3X function”为关键词检索最新论文。

背景信息

The DDX3X antibody is a crucial tool in studying the DEAD-box helicase 3 X-linked (DDX3X) protein, an ATP-dependent RNA helicase involved in multiple cellular processes, including RNA metabolism, translation initiation, and innate immune signaling. DDX3X plays a vital role in regulating gene expression, mRNA splicing, and nucleocytoplasmic transport. Mutations in the DDX3X gene are linked to developmental disorders, intellectual disabilities, and cancers, particularly in medulloblastoma and leukemia. In females, DDX3X mutations are associated with neurodevelopmental syndromes, while hemizygous mutations in males often prove lethal. Antibodies targeting DDX3X enable researchers to investigate its expression, localization, and interactions in normal and pathological contexts. These antibodies are widely used in techniques like Western blotting, immunohistochemistry, and immunofluorescence to assess protein levels in tissues or cell lines. Recent studies also explore DDX3X's role in viral infections (e.g., HIV, hepatitis C) and its potential as a therapeutic target. Commercial DDX3X antibodies are typically validated for specificity and sensitivity, though variability in experimental conditions may require optimization. Their applications extend to cancer research, neurological disorder studies, and virology, making them indispensable for unraveling DDX3X's multifaceted biological roles and clinical implications.

客户数据及评论

折叠内容

大包装询价

×