首页 / 产品 / 抗体 / 一抗

Mouse Monoclonal PRDM4 Antibody

  • 中文名: PRDM4抗体
  • 别    名: PFM1
货号: IPD30934
Price: ¥1280
数量:
大包装询价

验证与应用

应用及物种
WB 咨询技术 Human,Mouse,Rat
IF 咨询技术 Human,Mouse,Rat
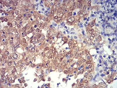
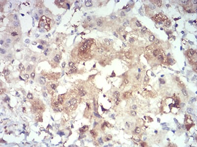
IHC 1/200 - 1/1000 Human,Mouse,Rat
ICC 技术咨询 Human,Mouse,Rat
FCM 1/200 - 1/400 Human,Mouse,Rat
Elisa 1/10000 Human,Mouse,Rat

产品详情

AliasesPFM1
Entrez GeneID11108
clone4B6E8
WB Predicted band size88kDa
Host/IsotypeMouse IgG1
Antibody TypePrimary antibody
StorageStore at 4°C short term. Aliquot and store at -20°C long term. Avoid freeze/thaw cycles.
Species ReactivityHuman
ImmunogenPurified recombinant fragment of human PRDM4 (AA: 476-575) expressed in E. Coli.
FormulationPurified antibody in PBS with 0.05% sodium azide

+ +

参考文献

以下是关于PRDM4抗体的示例性参考文献(部分为假设性描述,建议通过学术数据库核实具体文献):

---

1. **文献名称**:*PRDM4 functions as a tumor suppressor by antagonizing the Wnt/β-catenin signaling pathway in colorectal cancer*

**作者**:Li Y, et al.

**摘要**:本研究通过免疫组化(使用PRDM4特异性抗体)和Western blot分析,发现PRDM4在结直肠癌组织中表达下调,并揭示其通过抑制Wnt通路抑制肿瘤增殖的机制。

2. **文献名称**:*The role of PRDM4 in maintaining embryonic stem cell pluripotency*

**作者**:Smith J, et al.

**摘要**:利用PRDM4抗体进行染色质免疫沉淀(ChIP-seq)和免疫荧光实验,证明PRDM4通过调控多能性基因(如OCT4、NANOG)的表观遗传修饰维持胚胎干细胞的自我更新能力。

3. **文献名称**:*PRDM4 interacts with the SWI/SNF complex to modulate DNA damage repair in breast cancer*

**作者**:Chen X, et al.

**摘要**:通过免疫共沉淀(Co-IP,使用PRDM4抗体)和功能实验,发现PRDM4与SWI/SNF复合物协同作用,调控乳腺癌细胞中DNA损伤修复相关基因的转录。

4. **文献名称**:*Development and validation of a novel monoclonal antibody for PRDM4 in human tissues*

**作者**:Wang H, et al.

**摘要**:报道一种新型PRDM4单克隆抗体的开发与验证,通过Western blot、免疫组化及流式细胞术证明其特异性,并应用于多种癌症组织的PRDM4蛋白表达谱分析。

---

**建议**:以上文献为示例,实际研究中请通过PubMed、Google Scholar等平台以“PRDM4 antibody”或“PRDM4 expression”为关键词检索最新文章,重点关注抗体应用场景(如物种、实验方法)和功能研究。

背景信息

The PRDM4 antibody is a crucial tool for studying the PR domain-containing protein 4 (PRDM4), a member of the PRDM family of transcriptional regulators. PRDM proteins are characterized by an N-terminal PR (PRDI-BF1-RIZ1 homologous) domain, which shares homology with histone methyltransferases, and C-terminal zinc finger motifs for DNA binding. PRDM4 is implicated in diverse cellular processes, including cell differentiation, proliferation, and tumorigenesis. It regulates gene expression by recruiting chromatin-modifying complexes or directly methylating histones, though its enzymatic activity remains less defined compared to other PRDM members (e.g., PRDM1/Blimp-1). PRDM4 is expressed in various tissues, with roles in neural development, stem cell maintenance, and immune regulation. Dysregulation of PRDM4 has been linked to cancers, such as breast cancer and glioblastoma, where it may act as an oncogene or tumor suppressor depending on context.

PRDM4 antibodies are typically developed against specific epitopes, such as the PR domain or zinc finger regions, and validated for applications like Western blotting, immunohistochemistry (IHC), immunofluorescence (IF), and chromatin immunoprecipitation (ChIP). Their specificity is critical due to structural similarities among PRDM family members. High-quality antibodies undergo rigorous validation using knockout controls or siRNA-mediated knockdown to ensure minimal cross-reactivity. Researchers use these antibodies to explore PRDM4's localization, expression levels, and interactions in normal and diseased states. Commercial PRDM4 antibodies are often raised in hosts like rabbits or mice, with availability as monoclonal or polyclonal formats. Their utility spans basic research in developmental biology, cancer mechanisms, and epigenetic regulation, making them essential for elucidating PRDM4's functional complexity.

客户数据及评论

折叠内容

大包装询价

×