| WB | 咨询技术 | Human,Mouse,Rabbit |
| IF | 咨询技术 | Human,Mouse,Rabbit |
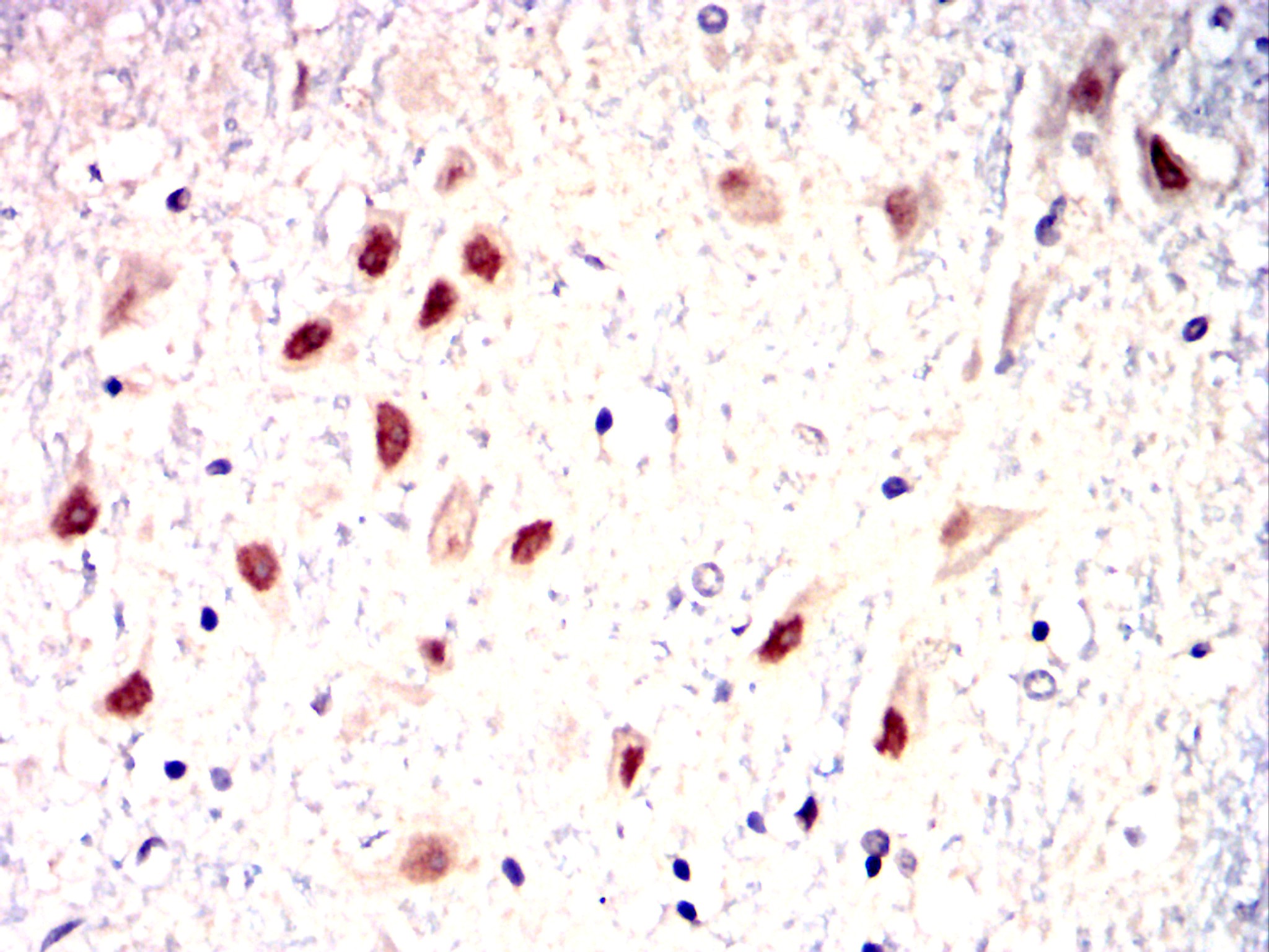
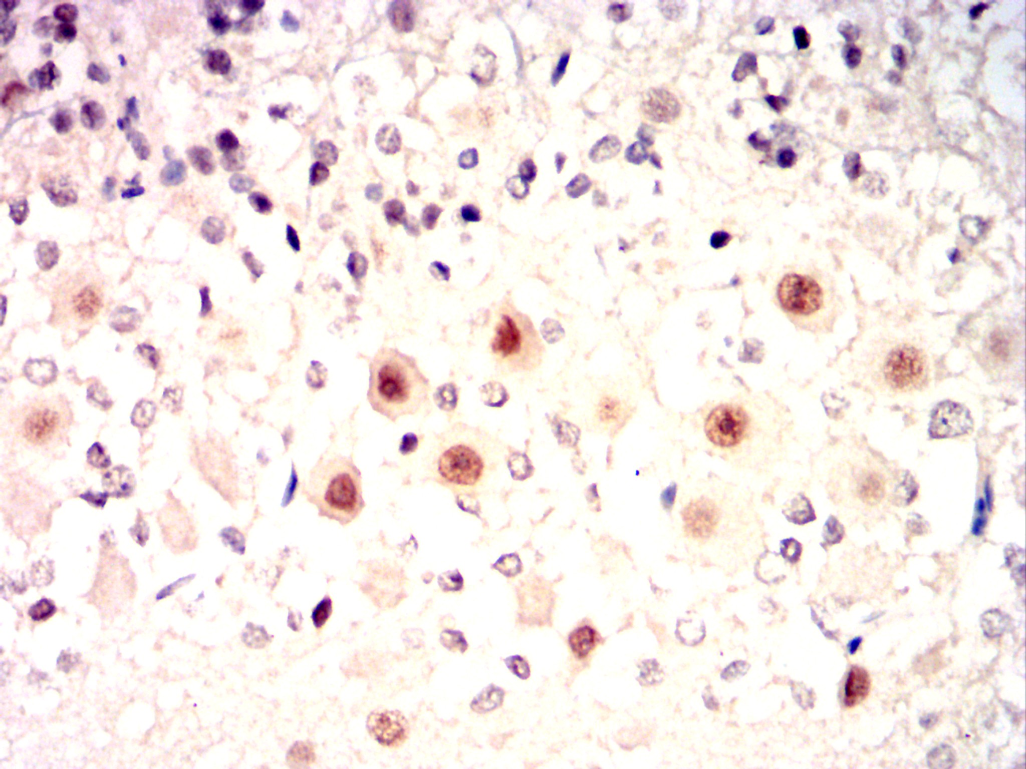
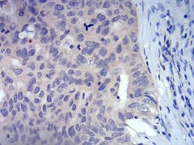
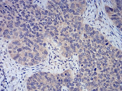
| IHC | 1/100 - 1/500 | Human,Mouse,Rabbit |
| ICC | 技术咨询 | Human,Mouse,Rabbit |
| FCM | 1/200 - 1/400 | Human,Mouse,Rabbit |
| Elisa | 1/10000 | Human,Mouse,Rabbit |
| Aliases | JM2; AIID; IPEX; PIDX; XPID; DIETER |
| Entrez GeneID | 50943 |
| clone | 4F12A2 |
| WB Predicted band size | 47.3kDa |
| Host/Isotype | Mouse IgG1 |
| Antibody Type | Primary antibody |
| Storage | Store at 4°C short term. Aliquot and store at -20°C long term. Avoid freeze/thaw cycles. |
| Species Reactivity | Human,Mouse,Rabbit |
| Immunogen | Purified recombinant fragment of human FOXP3 (AA: 297-431) expressed in E. Coli. |
| Formulation | Purified antibody in PBS with 0.05% sodium azide |
+ +
以下是关于FOXP3抗体的3篇代表性文献,按发表时间排序:
1. **文献名称**:*Control of regulatory T cell development by the transcription factor Foxp3*
**作者**:Hori, S., Nomura, T., & Sakaguchi, S.
**摘要**:该研究首次克隆了小鼠Foxp3基因,证明其在调节性T细胞(Treg)中的特异性表达,并发现Foxp3缺失会导致小鼠自身免疫疾病,为后续FOXP3抗体的开发提供了理论基础。
2. **文献名称**:*Foxp3 programs the development and function of CD4+CD25+ regulatory T cells*
**作者**:Fontenot, J.D., Gavin, M.A., & Rudensky, A.Y.
**摘要**:通过基因工程和抗体标记技术,揭示了Foxp3对Treg细胞发育和功能的关键调控作用,并验证了FOXP3抗体在流式细胞术和免疫组化中的应用价值。
3. **文献名称**:*Specificity of FOXP3 antibodies in human tissues and cells: Critical assessment for accurate Treg identification*
**作者**:Allan, S.E., et al.
**摘要**:系统评估了多种市售FOXP3抗体在人类样本中的特异性,指出部分抗体存在交叉反应性,强调了选择可靠抗体对Treg细胞精准检测的重要性。
这些文献涵盖了FOXP3的功能机制、抗体开发及实际应用中的关键技术挑战,是相关领域的基础参考资料。
The FOXP3 antibody is a crucial tool in immunology research, targeting the FOXP3 (Forkhead Box P3) protein, a transcription factor primarily expressed in regulatory T cells (Tregs). Discovered in the early 2000s, FOXP3 is a master regulator of Treg development and function, essential for maintaining immune tolerance and preventing autoimmune diseases. Mutations in the FOXP3 gene cause IPEX syndrome (Immune dysregulation, Polyendocrinopathy, Enteropathy, X-linked), highlighting its biological significance.
FOXP3 antibodies enable the identification and study of Tregs in both human and murine models. They are widely used in techniques like flow cytometry, immunohistochemistry, and Western blotting to detect FOXP3 expression, quantify Treg populations, or assess their functional status in tissues. These antibodies have advanced research in cancer immunology, autoimmune disorders (e.g., rheumatoid arthritis, type 1 diabetes), and transplantation, where Treg dysregulation plays a key role.
Commercial FOXP3 antibodies vary in specificity, targeting different epitopes (e.g., N-terminal or C-terminal regions) and showing species cross-reactivity differences. Validation is critical, as FOXP3 expression can be transient or heterogeneous in activated T cells. Additionally, FOXP3 antibodies have diagnostic potential, with clinical studies exploring Treg levels as biomarkers for disease progression or therapeutic responses. Their utility continues to grow with the development of Treg-targeted therapies and precision immunology approaches.
×