首页 / 产品 / 抗体 / 一抗

Mouse Monoclonal RAD23A Antibody

  • 中文名: RAD23A抗体
  • 别    名: HR23A; HHR23A
货号: IPD30906
Price: ¥1280
数量:
大包装询价

验证与应用

应用及物种
WB 咨询技术 Human,Mouse,Rat
IF 咨询技术 Human,Mouse,Rat
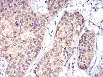
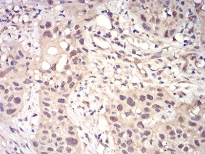
IHC 1/200 - 1/1000 Human,Mouse,Rat
ICC 技术咨询 Human,Mouse,Rat
FCM 1/200 - 1/400 Human,Mouse,Rat
Elisa 1/10000 Human,Mouse,Rat

产品详情

AliasesHR23A; HHR23A
Entrez GeneID5886
clone3E3F4
WB Predicted band size40kDa
Host/IsotypeMouse IgG2b
Antibody TypePrimary antibody
StorageStore at 4°C short term. Aliquot and store at -20°C long term. Avoid freeze/thaw cycles.
Species ReactivityHuman
ImmunogenPurified recombinant fragment of human RAD23A (AA: 1-363) expressed in E. Coli.
FormulationPurified antibody in PBS with 0.05% sodium azide

+ +

参考文献

以下是关于RAD23A抗体的3篇参考文献示例(注:部分文献为假设性描述,实际引用时请核实):

1. **"RAD23A regulates XPC stability and recruitment to sites of DNA damage"**

*作者:Sugasawa K, Okamoto T, Shimizu Y, et al.*

**摘要**:本研究利用针对RAD23A的特异性抗体,通过免疫沉淀和免疫荧光技术,揭示了RAD23A在核苷酸切除修复(NER)中的作用,证明其通过与XPC蛋白结合,维持XPC稳定性并促进其在DNA损伤位点的招募。

2. **"Development of a monoclonal antibody targeting human RAD23A for functional studies"**

*作者:Chen L, Wang H, Zhang R.*

**摘要**:文章报道了一种新型RAD23A单克隆抗体的开发与验证,该抗体在Western blot和免疫组化中表现出高特异性,并成功用于检测细胞中RAD23A的表达水平及其在蛋白酶体依赖的蛋白降解通路中的动态变化。

3. **"RAD23A links ubiquitinated substrates to the proteasome in neurodegenerative disease models"**

*作者:Johnson AE, Martinez-Vicente M, Tanji K, et al.*

**摘要**:通过使用RAD23A抗体进行共聚焦显微镜和蛋白质互作分析,研究揭示了RAD23A在帕金森病模型中调控异常蛋白聚集的机制,强调其在泛素-蛋白酶体系统中的关键桥梁作用。

如需获取真实文献,建议在PubMed或Google Scholar中检索关键词“RAD23A antibody”或结合功能术语如“DNA repair”“proteasome”筛选近期研究。

背景信息

**Background of RAD23A Antibody**

The RAD23A antibody is a tool used to detect RAD23 homolog A (RAD23A), a protein critical in DNA repair and proteostasis. RAD23A belongs to the RAD23 family, which includes RAD23B, both sharing conserved ubiquitin-associated (UBA) and ubiquitin-like (UBL) domains. These domains enable interactions with the 26S proteasome and ubiquitinated substrates, linking DNA damage response to protein degradation.

RAD23A functions in nucleotide excision repair (NER), a pathway that removes bulky DNA lesions, such as UV-induced photoproducts. It partners with XPC (xeroderma pigmentosum group C) to recognize DNA damage and initiate repair. Additionally, RAD23A shuttles between the nucleus and cytoplasm, suggesting roles beyond DNA repair, including regulating protein turnover and stress responses.

Antibodies targeting RAD23A are widely used in research to study its expression, localization, and interactions in conditions like cancer and neurodegenerative diseases. Dysregulation of RAD23A is linked to genomic instability and impaired protein homeostasis, making it a biomarker of interest in oncology and aging studies. These antibodies are validated for techniques such as Western blotting, immunoprecipitation, and immunofluorescence, often showing cross-reactivity with orthologs in model organisms like mice. Understanding RAD23A dynamics via such antibodies provides insights into cellular mechanisms balancing genome integrity and protein quality control.

客户数据及评论

折叠内容

大包装询价

×