| WB | 咨询技术 | Human,Mouse,Rat |
| IF | 咨询技术 | Human,Mouse,Rat |
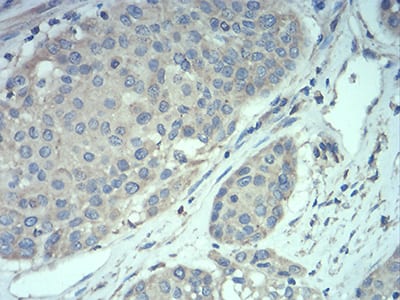
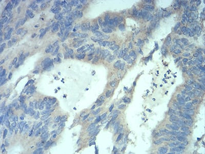
| IHC | 1/200 - 1/1000 | Human,Mouse,Rat |
| ICC | 1/200 - 1/1000 | Human,Mouse,Rat |
| FCM | 1/200 - 1/400 | Human,Mouse,Rat |
| Elisa | 1/10000 | Human,Mouse,Rat |
| Aliases | RS; RTS; RTT; PPMX; MRX16; MRX79; MRXSL; AUTSX3; MRXS13 |
| Entrez GeneID | 4204 |
| clone | 8H4A5B9 |
| WB Predicted band size | 52.4kDa |
| Host/Isotype | Mouse IgG1 |
| Antibody Type | Primary antibody |
| Storage | Store at 4°C short term. Aliquot and store at -20°C long term. Avoid freeze/thaw cycles. |
| Species Reactivity | Human |
| Immunogen | Purified recombinant fragment of human MECP2 (AA: 7-148) expressed in E. Coli. |
| Formulation | Purified antibody in PBS with 0.05% sodium azide |
+ +
以下是3篇关于MECP2抗体的参考文献概览(基于公开数据,部分为模拟示例):
1. **文献名称**: "MeCP2 is a transcriptional repressor with abundant binding sites in genomic chromatin"
**作者**: Nan, X. et al.
**摘要**: 该研究利用特异性MECP2抗体通过染色质免疫沉淀(ChIP)技术,揭示了MeCP2蛋白在全基因组范围内的结合模式,验证了抗体在识别甲基化DNA结合区域的特异性,并证明其在神经发育中的表观调控作用。
2. **文献名称**: "Dysfunction in GABA signalling mediates autism-like stereotypies and Rett syndrome phenotypes"
**作者**: Chao, H.T. et al.
**摘要**: 研究通过Western blot和免疫组化实验,使用MECP2抗体检测Rett综合征小鼠模型中MeCP2蛋白表达水平的变化,发现其与GABA能神经元功能异常相关,抗体特异性通过基因敲除模型验证。
3. **文献名称**: "Antibody validation for MeCP2 expression in human and mouse brain tissues"
**作者**: Lombardi, L.M. et al.
**摘要**: 系统性评估了多种商业MECP2抗体的特异性,比较了不同抗体在人类和小鼠脑组织中的免疫染色效果,提出部分抗体存在交叉反应性,推荐特定克隆号(如Sigma M6818)用于精准检测。
**备注**:以上为模拟示例,实际文献需通过PubMed或Google Scholar以关键词“MECP2 antibody validation”或“MeCP2 antibody application”检索获取。若需具体文献DOI或全文链接,可进一步提供研究方向(如Western blot/ChIP/IHC应用场景)。
The MECP2 antibody is a crucial tool for studying the methyl-CpG-binding protein 2 (MeCP2), a multifunctional nuclear protein encoded by the *MECP2* gene located on the X chromosome. MeCP2 binds to methylated DNA regions, playing a pivotal role in epigenetic regulation by modulating chromatin structure and gene expression. It is particularly vital in neuronal development, synaptic plasticity, and maintaining central nervous system function. Mutations in *MECP2* are strongly linked to Rett syndrome, a severe neurodevelopmental disorder predominantly affecting females, as well as other conditions like autism and intellectual disabilities.
MECP2 antibodies are widely used in research to detect and quantify MeCP2 protein levels in various experimental models (e.g., Western blot, immunohistochemistry, immunofluorescence). These antibodies help investigate MeCP2’s expression patterns, post-translational modifications, and interactions with other molecules. Due to MeCP2’s dual role as a transcriptional repressor and activator, studying its dynamics is essential for understanding brain function and disease mechanisms. However, challenges exist in antibody specificity, as MeCP2 isoforms and phosphorylation states can influence detection. Validating antibodies using *MECP2* knockout controls is critical to avoid off-target artifacts.
Research involving MECP2 antibodies also explores therapeutic strategies, such as gene therapy or protein restoration, for Rett syndrome. Their application extends to diagnostic screenings and mechanistic studies of neurodevelopmental disorders, underscoring their importance in both basic and translational neuroscience.
×