| WB | 咨询技术 | Human,Mouse,Rat |
| IF | 咨询技术 | Human,Mouse,Rat |
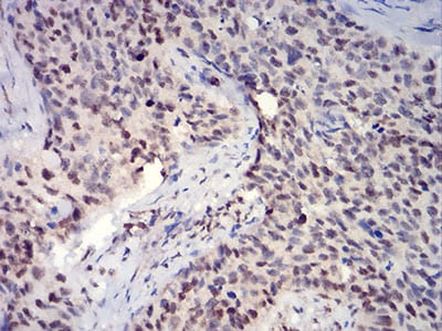
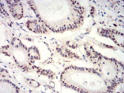
| IHC | 1/200 - 1/1000 | Human,Mouse,Rat |
| ICC | 技术咨询 | Human,Mouse,Rat |
| FCM | 1/200 - 1/400 | Human,Mouse,Rat |
| Elisa | 1/10000 | Human,Mouse,Rat |
| Aliases | H3; H3.2; H3/M; H3F2; H3FM; H3FN |
| Entrez GeneID | 126961 |
| clone | 6E7A9 |
| WB Predicted band size | 15.4kDa |
| Host/Isotype | Mouse IgG1 |
| Antibody Type | Primary antibody |
| Storage | Store at 4°C short term. Aliquot and store at -20°C long term. Avoid freeze/thaw cycles. |
| Species Reactivity | Human |
| Immunogen | Synthesized peptide of human HIST2H3C (AA: ATKAARK(Ac)SAPATGGV). |
| Formulation | Purified antibody in PBS with 0.05% sodium azide |
+ +
以下是关于H3K27ac抗体(可能与HIST2H3C相关)的3篇代表性文献,简要概括如下:
---
1. **文献名称**:Histone modifications at human enhancers reflect global cell-type-specific gene expression
**作者**:Heintzman, N.D. et al.
**摘要**:本研究利用H3K27ac抗体进行ChIP-seq分析,揭示了增强子区域的组蛋白乙酰化修饰与细胞类型特异性基因表达的关系,证实H3K27ac是活性增强子的重要标志。
2. **文献名称**:Master transcription factors and mediator establish super-enhancers at key cell identity genes
**作者**:Whyte, W.A. et al.
**摘要**:通过H3K27ac抗体标记,研究者鉴定了“超级增强子”区域,发现这些区域在维持细胞身份基因表达中的核心作用,为癌症和干细胞分化研究提供了新视角。
3. **文献名称**:The selection and function of cell type-specific enhancers
**作者**:Creyghton, M.P. et al.
**摘要**:利用H3K27ac抗体进行全基因组分析,证明增强子的动态乙酰化修饰与细胞分化过程密切相关,并开发了基于此修饰的增强子预测方法。
---
**说明**:
- 通常研究中提到的“H3K27ac”指组蛋白H3第27位赖氨酸的乙酰化修饰,而非特定亚型HIST2H3C。若需针对HIST2H3C亚型的文献,建议进一步结合具体实验背景或抗体说明书确认。
- 以上文献均发表于《Nature》或《Cell》等顶级期刊,是表观遗传学领域的经典研究。
The HIST2H3C(27Ac) antibody specifically detects histone H3.2 (encoded by the HIST2H3C gene) acetylated at lysine 27 (H3K27ac), a post-translational modification linked to transcriptional regulation. Histone H3 is a core component of nucleosomes, playing a critical role in chromatin structure and gene expression. Acetylation at lysine residues, including K27. reduces histone-DNA electrostatic interactions, loosening chromatin to facilitate transcription factor access. H3K27ac is enriched at active enhancers and promoters, serving as a key epigenetic marker for identifying regulatory genomic regions.
The HIST2H3C(27Ac) antibody is widely used in chromatin immunoprecipitation (ChIP) assays, immunofluorescence, and Western blotting to study histone modification dynamics in processes like cell differentiation, oncogenesis, and epigenetic reprogramming. Its specificity for H3.2 (one of several H3 variants) distinguishes it from pan-H3K27ac antibodies, making it valuable for isoform-specific research. Validation typically includes peptide competition assays and knockout cell line controls to ensure minimal cross-reactivity with other acetylated histones. Dysregulation of H3K27ac has been implicated in cancers, neurological disorders, and developmental abnormalities, underscoring its biological relevance. Researchers rely on this antibody to explore chromatin-state alterations in disease models and therapeutic interventions targeting epigenetic machinery.
×