| WB | 咨询技术 | Human,Mouse,Rat |
| IF | 咨询技术 | Human,Mouse,Rat |
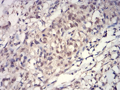
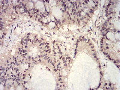
| IHC | 1/200 - 1/1000 | Human,Mouse,Rat |
| ICC | 技术咨询 | Human,Mouse,Rat |
| FCM | 1/200 - 1/400 | Human,Mouse,Rat |
| Elisa | 1/10000 | Human,Mouse,Rat |
| Aliases | H3; H3.2; H3/M; H3F2; H3FM; H3FN |
| Entrez GeneID | 126961 |
| clone | 2D7B3 |
| WB Predicted band size | 15.4kDa |
| Host/Isotype | Mouse IgG1 |
| Antibody Type | Primary antibody |
| Storage | Store at 4°C short term. Aliquot and store at -20°C long term. Avoid freeze/thaw cycles. |
| Species Reactivity | Human |
| Immunogen | Synthesized peptide of human HIST2H3C (AA: ATKAARK(Ac)SAPATGGV) . |
| Formulation | Purified antibody in PBS with 0.05% sodium azide |
+ +
以下是3篇涉及H3K27ac(可能与HIST2H3C相关)的经典文献摘要信息:
---
1. **文献名称**:*Histone H3K27ac separates active from poised enhancers and predicts developmental state*
**作者**:Creyghton, M.P. et al.
**摘要**:该研究利用H3K27ac抗体进行ChIP-seq分析,发现H3K27ac修饰可作为活性增强子的标志物,与胚胎干细胞分化过程中基因激活密切相关。
---
2. **文献名称**:*Histone modifications at human enhancers reflect global cell-type-specific gene expression*
**作者**:Heintzman, N.D. et al.
**摘要**:通过H3K27ac等组蛋白修饰的ChIP-seq数据,证明增强子区域的乙酰化修饰(如H3K27ac)能预测细胞类型特异性基因表达模式,尤其在疾病模型中具有诊断价值。
---
3. **文献名称**:*Enhancer hijacking activates oncogenic transcription factor NR4A3 in acral melanoma*
**作者**:Mao, X. et al.
**摘要**:研究利用H3K27ac抗体鉴定黑色素瘤中的异常增强子激活,揭示H3K27ac动态变化驱动致癌基因表达,为表观遗传治疗提供靶点。
---
**注**:HIST2H3C是组蛋白H3家族成员之一,其27位赖氨酸乙酰化(H3K27ac)常通过商业化抗体(如CST公司的#8173)检测。上述文献虽未直接提及HIST2H3C亚型,但均聚焦于H3K27ac的生物学功能,相关实验方法可参考抗体说明书或补充材料。
The HIST2H3C(27Ac) antibody specifically targets the acetylated form of lysine 27 on histone H3 variant H3C2 (encoded by the HIST2H3C gene). Histone acetylation, including H3K27ac, is a key post-translational modification associated with transcriptional activation. Acetylation at lysine 27 neutralizes the positive charge of histones, reducing their affinity for negatively charged DNA and loosening chromatin structure. This facilitates access for transcriptional machinery, promoting gene expression. H3K27ac is predominantly enriched at active enhancers and promoters, serving as a critical epigenetic marker for identifying regulatory elements in genomic studies.
The HIST2H3C(27Ac) antibody is widely used in chromatin immunoprecipitation (ChIP) assays, immunofluorescence, and Western blotting to study dynamic chromatin states and gene regulation mechanisms. Dysregulation of H3K27ac has been implicated in cancers, developmental disorders, and neurological diseases, making this antibody a valuable tool for exploring disease-associated epigenetic alterations. Its specificity for the H3C2 variant distinguishes it from pan-H3K27ac antibodies, allowing researchers to investigate variant-specific roles in chromatin remodeling. Validation of the antibody typically includes peptide competition assays and correlation with known H3K27ac genomic profiles to ensure precision in detecting this epigenetically significant modification.
×