首页 / 产品 / 抗体 / 一抗

Mouse Monoclonal SIRT7 Antibody

  • 中文名: SIRT7抗体
  • 别    名: SIR2L7
货号: IPD30893
Price: ¥1280
数量:
大包装询价

验证与应用

应用及物种
WB 咨询技术 Human,Mouse,Rat
IF 咨询技术 Human,Mouse,Rat
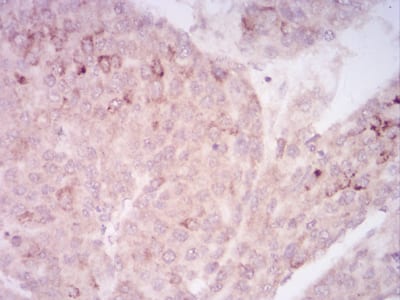
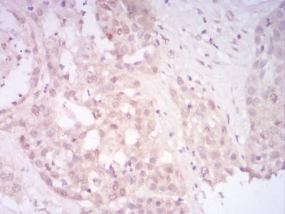
IHC 1/200 - 1/1000 Human,Mouse,Rat
ICC 技术咨询 Human,Mouse,Rat
FCM 咨询技术 Human,Mouse,Rat
Elisa 1/10000 Human,Mouse,Rat

产品详情

AliasesSIR2L7
Entrez GeneID51547
clone1E2G10
WB Predicted band size44.9kDa
Host/IsotypeMouse IgG1
Antibody TypePrimary antibody
StorageStore at 4°C short term. Aliquot and store at -20°C long term. Avoid freeze/thaw cycles.
Species ReactivityHuman
ImmunogenPurified recombinant fragment of human SIRT7 (AA: 1-105) expressed in E. Coli.
FormulationPurified antibody in PBS with 0.05% sodium azide

+ +

参考文献

以下是3篇关于SIRT7抗体的参考文献及其摘要内容概括:

1. **文献名称**: "SIRT7 links H3K18 deacetylation to maintenance of oncogenic transformation"

**作者**: Chini CC, et al.

**摘要**: 本研究揭示SIRT7通过特异性去乙酰化组蛋白H3K18.调控致癌基因沉默和肿瘤形成。使用SIRT7抗体进行染色质免疫沉淀(ChIP)实验,发现其缺失导致H3K18乙酰化水平升高,抑制癌细胞增殖。

2. **文献名称**: "SIRT7-dependent deacetylation of CDK9 activates RNA polymerase II transcription"

**作者**: Ryerson R, et al.

**摘要**: 文章发现SIRT7通过去乙酰化CDK9激酶,调控RNA聚合酶II介导的转录。利用SIRT7抗体进行蛋白质互作分析,证明其在染色质压缩和核糖体DNA(rDNA)转录中的关键作用。

3. **文献名称**: "SIRT7 antagonizes human stem cell aging as a mitochondrial strutin"

**作者**: Mohrin M, et al.

**摘要**: 研究显示SIRT7通过维持线粒体功能和减少氧化应激延缓造血干细胞衰老。通过SIRT7抗体的免疫荧光和Western blot分析,证实其在应激条件下调控核仁与线粒体间的信号传导。

4. **文献名称**: "SIRT7 regulates genomic stability and modulates cellular senescence pathways"

**作者**: Vazquez BN, et al.

**摘要**: 该研究利用SIRT7抗体进行亚细胞定位分析,发现SIRT7通过调控DNA损伤修复和抑制p53通路,维持基因组稳定性,其缺失加速细胞衰老和代谢紊乱。

这些研究均通过SIRT7抗体验证其在染色质修饰、转录调控及衰老中的功能,强调其作为潜在治疗靶点的重要性。

背景信息

**Background of SIRT7 Antibody**

Sirtuin 7 (SIRT7) is a member of the sirtuin family of NAD⁺-dependent protein deacetylases, primarily localized in the nucleolus. It plays critical roles in regulating ribosomal DNA (rDNA) transcription, chromatin remodeling, and cellular stress responses. SIRT7 is implicated in aging, cancer, and metabolic diseases due to its involvement in maintaining genomic stability, modulating DNA repair, and influencing metabolic pathways.

SIRT7 antibodies are essential tools for studying its expression, localization, and function. These antibodies are commonly used in techniques like Western blotting, immunoprecipitation, and immunofluorescence to detect SIRT7 in various biological samples. Polyclonal or monoclonal SIRT7 antibodies are generated using immunogenic peptides or recombinant protein fragments, with specificity validated via knockout cell lines or siRNA-mediated silencing.

Research applications include investigating SIRT7’s role in tumor progression, where it can act as both an oncogene and tumor suppressor depending on context. Its interaction with targets like H3K18ac (a histone modification site) and RNA polymerase I underscores its regulatory role in transcription and genome integrity. Cross-reactivity with SIRT7 orthologs in model organisms (e.g., mice, rats) is often assessed to ensure experimental relevance.

Overall, SIRT7 antibodies are pivotal in elucidating the protein’s contribution to cellular homeostasis and disease mechanisms, aiding therapeutic discovery for age-related and metabolic disorders.

客户数据及评论

折叠内容

大包装询价

×