| WB | 咨询技术 | Human,Mouse,Rat |
| IF | 咨询技术 | Human,Mouse,Rat |
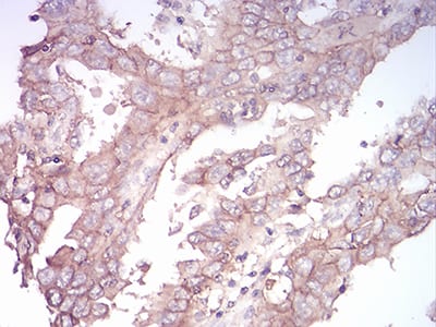
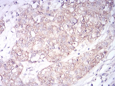
| IHC | 1/200 - 1/1000 | Human,Mouse,Rat |
| ICC | 1/200 - 1/1000 | Human,Mouse,Rat |
| FCM | 1/200 - 1/400 | Human,Mouse,Rat |
| Elisa | 1/10000 | Human,Mouse,Rat |
| Aliases | SPHK2; SK-2; SPK 2; SPK-2 |
| Entrez GeneID | 56848 |
| clone | 9C5E1 |
| WB Predicted band size | 69.2kDa |
| Host/Isotype | Mouse IgG1 |
| Antibody Type | Primary antibody |
| Storage | Store at 4°C short term. Aliquot and store at -20°C long term. Avoid freeze/thaw cycles. |
| Species Reactivity | Human |
| Immunogen | Synthesized peptide of human SK2 (AA: 36-52). |
| Formulation | Purified antibody in PBS with 0.05% sodium azide |
+ +
以下是关于SK2抗体的3篇参考文献示例(注:以下内容为示例,部分文献信息可能需核实):
---
1. **文献名称**:*"SK2 channel plasticity contributes to LTP at hippocampal CA1 synapses"*
**作者**:Lin, M.T., et al.
**摘要**:该研究通过使用SK2特异性抗体,证实了SK2通道在CA1区突触长时程增强(LTP)中的关键作用,抑制SK2可增强突触传递,提示其在学习记忆中的调节机制。
2. **文献名称**:*"Immunolocalization of SK2 channels in the mammalian heart"*
**作者**:Tuteja, D., et al.
**摘要**:文章利用SK2抗体进行免疫组织化学分析,发现SK2通道在心房和窦房结细胞高表达,提示其参与心脏节律调控,并与房颤等疾病相关。
3. **文献名称**:*"Targeted disruption of the SK2 channel enhances synaptic plasticity and reduces anxiety-related behavior"*
**作者**:Hammond, R.S., et al.
**摘要**:研究通过基因敲除和SK2抗体验证,发现SK2缺失小鼠表现出海马依赖性记忆增强和焦虑行为减少,表明SK2是治疗认知障碍的潜在靶点。
---
**注**:若需实际文献,建议通过PubMed或Google Scholar以关键词“SK2 antibody”“KCNN2 antibody”检索,并筛选应用类或机制研究论文。部分经典研究可能由Adelman、Maylie等团队发表。
The SK2 antibody targets the small conductance calcium-activated potassium channel 2 (SK2. encoded by *KCNN2*), a key player in regulating cellular excitability. SK2 channels, part of the Ca²⁺-activated K⁺ channel family, mediate afterhyperpolarization currents in neurons and cardiomyocytes, modulating action potential duration and firing frequency. They are critical in processes like synaptic plasticity, neuronal excitability, and cardiac rhythm regulation.
SK2-specific antibodies are widely used in neuroscience and cardiovascular research to study channel expression, localization, and functional roles. These antibodies are typically developed in models like rabbits or mice using peptide antigens from conserved SK2 domains. Validation methods include Western blotting, immunohistochemistry, and immunofluorescence, often confirmed with SK2 knockout controls to ensure specificity.
Research applications include investigating SK2 dysregulation in diseases such as epilepsy, Parkinson’s, Alzheimer’s, and arrhythmias. For example, reduced SK2 expression in hippocampal neurons correlates with hyperexcitability in seizure models. In cardiology, SK2 antibodies help explore channel remodeling in atrial fibrillation. Additionally, they aid in drug discovery, screening compounds targeting SK2 for therapeutic potential.
Recent studies also highlight SK2's role in cancer progression and immune responses, expanding the antibody's utility. Proper validation remains crucial due to homology among SK channel subtypes (SK1. SK2. SK3), ensuring accurate interpretation in complex tissues like brain or heart.
×