| WB | 咨询技术 | Human,Mouse,Rat |
| IF | 咨询技术 | Human,Mouse,Rat |
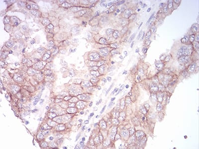
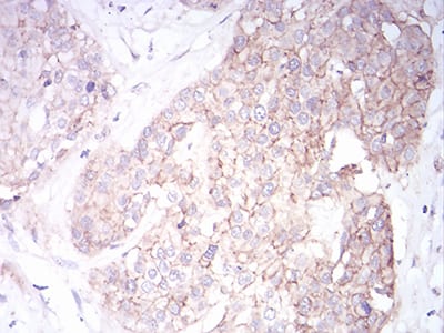
| IHC | 1/200 - 1/1000 | Human,Mouse,Rat |
| ICC | 1/200 - 1/1000 | Human,Mouse,Rat |
| FCM | 1/200 - 1/400 | Human,Mouse,Rat |
| Elisa | 1/10000 | Human,Mouse,Rat |
| Aliases | SPHK2; SK-2; SPK 2; SPK-2 |
| Entrez GeneID | 56848 |
| clone | 3C8D3 |
| WB Predicted band size | 69.2kDa |
| Host/Isotype | Mouse IgG1 |
| Antibody Type | Primary antibody |
| Storage | Store at 4°C short term. Aliquot and store at -20°C long term. Avoid freeze/thaw cycles. |
| Species Reactivity | Human |
| Immunogen | Synthesized peptide of human SK2 (AA: 36-52). |
| Formulation | Purified antibody in PBS with 0.05% sodium azide |
+ +
以下是关于SK2抗体的3篇参考文献及其摘要概括:
1. **文献名称**: "Small-conductance calcium-activated potassium channels: insights into their roles in cardiovascular disease"
**作者**: Bond, C.T., et al.
**摘要**: 该研究利用特异性SK2抗体,在小鼠心脏和脑组织中定位SK2通道蛋白,发现其在调节神经元兴奋性和心脏节律中起关键作用,抗体应用证实了SK2在心肌细胞中的高表达。
2. **文献名称**: "SK2 channel regulation of neuronal excitability and behavior in learning and memory"
**作者**: Allen, D., et al.
**摘要**: 通过SK2抗体进行免疫组化和Western blot分析,研究发现海马区SK2通道通过调控突触后电流影响突触可塑性,抗体实验显示SK2缺失导致小鼠空间记忆能力下降。
3. **文献名称**: "Pharmacological modulation of SK2 channels alters dendritic excitability and synaptic plasticity"
**作者**: Lin, M.T., et al.
**摘要**: 该文献使用SK2抗体阻断实验,证明SK2通道在树突信号整合中的作用,抗体介导的功能抑制揭示了其对长时程增强(LTP)的调节机制。
以上研究均通过SK2抗体实现了蛋白定位、功能验证或病理机制探索。
**Background of SK2 Antibody**
The SK2 antibody targets the small conductance calcium-activated potassium channel protein 2 (SK2. KCa2.2), encoded by the *KCNN2* gene. SK2 channels are voltage-independent potassium channels activated by intracellular calcium, playing critical roles in regulating neuronal excitability, synaptic plasticity, and cardiac rhythmicity. They are predominantly expressed in the brain, particularly in regions like the hippocampus, cortex, and cerebellum, where they modulate afterhyperpolarization currents (IAHP) to influence firing patterns and synaptic transmission. Dysregulation of SK2 channels is implicated in neurological disorders, including epilepsy, ataxia, and cognitive deficits, as well as cardiac arrhythmias.
SK2 antibodies are widely used in neuroscience and cardiovascular research to study channel expression, localization, and function. They enable detection via techniques like Western blot, immunohistochemistry, and immunofluorescence. Studies utilizing SK2 antibodies have revealed its interaction with calmodulin for calcium sensing and its role in diseases, such as spinocerebellar ataxia and atrial fibrillation. Additionally, SK2 channels are explored as therapeutic targets, with modulators under investigation for treating cognitive impairment or arrhythmias. The development of specific SK2 antibodies has been pivotal in advancing understanding of its physiological and pathological mechanisms.
×