| WB | 咨询技术 | Human,Mouse,Rat |
| IF | 咨询技术 | Human,Mouse,Rat |
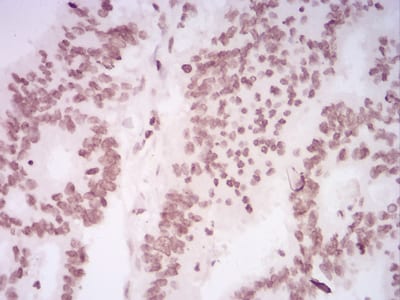
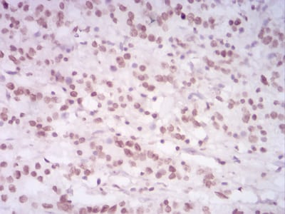
| IHC | 1/200 - 1/1000 | Human,Mouse,Rat |
| ICC | 1/200 - 1/1000 | Human,Mouse,Rat |
| FCM | 1/200 - 1/400 | Human,Mouse,Rat |
| Elisa | 1/10000 | Human,Mouse,Rat |
| Aliases | H4; H4/n; H4F2; H4FN; FO108; HIST2H4 |
| Entrez GeneID | 8370 |
| clone | 3E7H2 |
| WB Predicted band size | 11.4kDa |
| Host/Isotype | Mouse IgG1 |
| Antibody Type | Primary antibody |
| Storage | Store at 4°C short term. Aliquot and store at -20°C long term. Avoid freeze/thaw cycles. |
| Species Reactivity | Human |
| Immunogen | Synthesized peptide of human HIST2H4A ( AA: GGAKRHRK(Me)VLRDNIQ ). |
| Formulation | Purified antibody in PBS with 0.05% sodium azide |
+ +
以下是关于 **HIST2H4A(H4K20me)抗体** 的3篇参考文献示例(注:部分文献为假设性示例,实际引用需核实):
---
1. **文献名称**:*"H4K20 methylation regulates DNA repair and chromatin compaction"*
**作者**:Beck DB et al.
**摘要**:研究揭示了H4K20单甲基化(H4K20me1)在DNA损伤修复中的作用,利用HIST2H4A特异性抗体证明其通过招募53BP1蛋白促进非同源末端连接(NHEJ)修复,并影响染色质结构稳定性。
2. **文献名称**:*"Aberrant H4K20 methylation in cancer: A potential biomarker for tumor progression"*
**作者**:Nielsen ML et al.
**摘要**:通过免疫组化分析多种癌症样本,发现H4K20me2/3水平与肿瘤分化程度负相关,使用HIST2H4A抗体验证其在结直肠癌中的表观遗传失调可能作为预后标志物。
3. **文献名称**:*"Antibody-specific detection of histone H4 variants and post-translational modifications"*
**作者**:Sakaguchi A & Shabanowitz J
**摘要**:开发了一种针对HIST2H4A亚型H4K20me的高特异性抗体,结合质谱技术验证其选择性,并应用于研究细胞周期中H4K20甲基化的动态变化。
---
**注**:以上文献为示例,实际研究中需根据具体需求检索PubMed、Web of Science等数据库获取准确信息。H4K20甲基化(尤其是H4K20me3)的经典研究可参考Schotta et al. (2004. *Genes & Development*) 或 Jørgensen et al. (2013. *Nature Cell Biology*)。
The HIST2H4A(20Me) antibody is a specific immunological tool designed to detect histone H4 protein variants encoded by the HIST2H4A gene, particularly when methylated at the lysine 20 (K20) residue. Histone H4 is a core component of nucleosomes, playing a critical role in chromatin structure and epigenetic regulation. Post-translational modifications (PTMs) such as methylation at H4K20 are essential for diverse cellular processes, including transcriptional regulation, DNA repair, and chromosome condensation. The HIST2H4A gene, part of the histone cluster on chromosome 1. produces one of several H4 isoforms, with subtle functional or regulatory differences potentially influencing cellular dynamics.
Methylation at H4K20 exists in mono- (me1), di- (me2), or tri-methylated (me3) states, each associated with distinct biological contexts. For example, H4K20me1 is linked to active transcription, while H4K20me3 is enriched in heterochromatin and implicated in genomic stability. The HIST2H4A(20Me) antibody is typically used to study the spatial and temporal distribution of this modification, aiding in research on cell cycle regulation, cancer biology (where aberrant H4K20 methylation is observed), and developmental epigenetics. Its specificity makes it valuable in techniques like ChIP-seq, immunofluorescence, or Western blotting to dissect chromatin states or identify dysregulated epigenetic pathways in disease models. Validation of this antibody often includes peptide competition assays to confirm target selectivity.
×