| WB | 咨询技术 | Human,Rat,Monkey |
| IF | 咨询技术 | Human,Rat,Monkey |
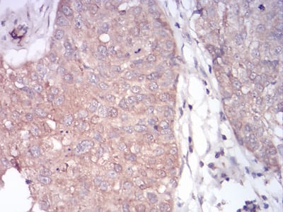
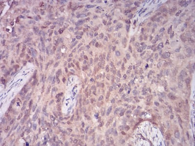
| IHC | 1/200 - 1/1000 | Human,Rat,Monkey |
| ICC | 1/200 - 1/1000 | Human,Rat,Monkey |
| FCM | 1/200 - 1/400 | Human,Rat,Monkey |
| Elisa | 1/10000 | Human,Rat,Monkey |
| Aliases | PLC1; NCKAP3; PLC-II; PLC148; PLCgamma1 |
| Entrez GeneID | 5335 |
| clone | 3C2D11 |
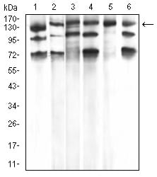
| WB Predicted band size | 148.5kDa |
| Host/Isotype | Mouse IgG1 |
| Antibody Type | Primary antibody |
| Storage | Store at 4°C short term. Aliquot and store at -20°C long term. Avoid freeze/thaw cycles. |
| Species Reactivity | Human,Rat,Monkey |
| Immunogen | Purified recombinant fragment of human PLCG1 (AA: 1192-1291) expressed in E. Coli. |
| Formulation | Purified antibody in PBS with 0.05% sodium azide |
+ +
以下是关于PLCG1抗体的3篇参考文献,涵盖其在不同研究中的应用及发现:
1. **文献名称**: *"PLCG1 mutations in cutaneous T-cell lymphomas reveal a role for this enzyme in tumor cell viability"*
**作者**: Park J. et al.
**摘要**: 该研究通过PLCG1抗体检测发现,皮肤T细胞淋巴瘤中PLCG1基因突变导致酶活性增强,促进肿瘤细胞存活,提示PLCG1可能成为治疗靶点。
2. **文献名称**: *"Antibody-based profiling of PLCG1 expression in hepatocellular carcinoma"*
**作者**: Li Y. et al.
**摘要**: 研究利用PLCG1特异性抗体分析肝癌组织,发现PLCG1蛋白高表达与患者预后不良相关,并揭示其通过激活MAPK通路促进肿瘤侵袭。
3. **文献名称**: *"PLCG1-dependent signaling in B-cell receptor-mediated antigen internalization"*
**作者**: Smith R. et al.
**摘要**: 通过PLCG1抗体阻断实验,证实PLCG1在B细胞受体介导的抗原内吞中起关键作用,影响下游免疫应答调控。
这些研究展示了PLCG1抗体在机制探索、疾病标志物筛选及治疗靶点验证中的多样化应用。
PLCG1 (Phospholipase C Gamma 1) is a critical enzyme in intracellular signaling, primarily involved in hydrolyzing phosphatidylinositol 4.5-bisphosphate (PIP2) into secondary messengers inositol 1.4.5-trisphosphate (IP3) and diacylglycerol (DAG). These molecules regulate diverse cellular processes, including calcium mobilization, protein kinase C (PKC) activation, and cell proliferation. PLCG1 is activated by receptor tyrosine kinases (RTKs) and immune receptors (e.g., T-cell/B-cell receptors) through tyrosine phosphorylation, particularly at residues like Y783 and Y1254. enabling its role in growth factor signaling and immune cell activation.
PLCG1 antibodies are essential tools for studying its expression, activation, and interactions in pathways linked to cancer, inflammation, and immune disorders. They are widely used in techniques such as Western blotting, immunoprecipitation, and immunofluorescence to detect PLCG1 levels, phosphorylation status, or subcellular localization. Dysregulation of PLCG1 is implicated in malignancies (e.g., breast cancer, glioblastoma) and autoimmune diseases, making these antibodies valuable for mechanistic and therapeutic research. Commercial PLCG1 antibodies are typically raised against specific epitopes, with validation emphasizing specificity for human, mouse, or rat isoforms. Researchers must select antibodies validated for particular applications or post-translational modifications to ensure accurate experimental outcomes.
×